Telefon:
+49 (0)241 95 163 153
Fax:
+49 (0)241 95 163 155
E-Mail:
orders@antikoerper-online.de

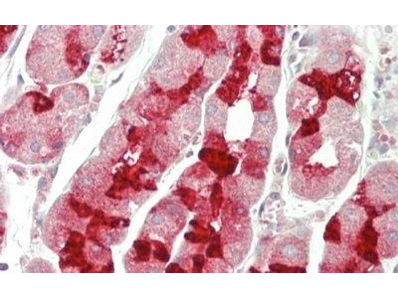
MUC6 Antikörper (AA 2338-2439)

Dieser Kaninchen Polyklonal Antikörper detektiert spezifisch MUC6 in IHC, WB, IP und ICC. Es zeigt Reaktivität gegenüber Proben von Human.
Produktnummer ABIN7429010
298,22 €
Zzgl. Versandkosten 20,00 € und MwSt
Lieferung nach: Deutschland
Lieferung in 11 bis 15 Werktagen

Kurzübersicht für MUC6 Antikörper (AA 2338-2439) (ABIN7429010)

Target

Alle MUC6 Antikörper anzeigen
MUC6 (Mucin 6, Oligomeric Mucus/gel-Forming (MUC6))

Reaktivität

  • 60
  • 3
  • 1
Human

Wirt

  • 30
  • 30
Kaninchen

Klonalität

  • 44
  • 16
Polyklonal

Konjugat

  • 24
  • 6
  • 3
  • 3
  • 3
  • 3
  • 3
  • 3
  • 2
  • 2
  • 2
  • 1
  • 1
  • 1
  • 1
  • 1
  • 1
Dieser MUC6 Antikörper ist unkonjugiert

Applikation

  • 26
  • 20
  • 20
  • 19
  • 17
  • 9
  • 6
  • 5
  • 4
  • 4
  • 3
  • 1
  • 1
  • 1
Immunohistochemistry (IHC), Western Blotting (WB), Immunoprecipitation (IP), Immunocytochemistry (ICC)
  • Bindungsspezifität

    • 2
    • 1
    • 1
    • 1
    • 1
    • 1
    AA 2338-2439

    Verwendungszweck

    Polyclonal Antibody to Mucin 6 (MUC6)

    Spezifität

    The antibody is a rabbit polyclonal antibody raised against MUC6. It has been selected for its ability to recognize MUC6 in immunohistochemical staining and western blotting.

    Aufreinigung

    Antigen-specific affinity chromatography followed by Protein A affinity chromatography

    Immunogen

    Recombinant Mucin 6 (MUC6) corresdonding to Leu2338~Asp2439 with N-terminal His and GST Tag

    Isotyp

    IgG
  • Applikationshinweise

    Western blotting: 0.5-2 μg/mL,Immunohistochemistry: 5-20 μg/mL,Immunocytochemistry: 5-20 μg/mL,Optimal working dilutions must be determined by end user.

    Kommentare

    The thermal stability is described by the loss rate. The loss rate was determined by accelerated thermal degradation test, that is, incubate the protein at 37°C for 48h, and no obvious degradation and precipitation were observed. The loss rate is less than 5% within the expiration date under appropriate storage condition.

    Beschränkungen

    Nur für Forschungszwecke einsetzbar
  • Format

    Liquid

    Konzentration

    0.5 mg/mL

    Buffer

    PBS, pH 7.4, containing 0.02 % Sodium azide, 50 % glycerol.

    Konservierungsmittel

    ProClin, Sodium azide

    Vorsichtsmaßnahmen

    This product contains ProClin and Sodium azide: POISONOUS AND HAZARDOUS SUBSTANCES which should be handled by trained staff only.

    Lagerung

    4 °C,-20 °C

    Informationen zur Lagerung

    Store at 4°C for frequent use. Stored at -20°C in a manual defrost freezer for two year without detectable loss of activity. Avoid repeated freeze-thaw cycles.

    Haltbarkeit

    24 months
  • Target

    MUC6 (Mucin 6, Oligomeric Mucus/gel-Forming (MUC6))

    Andere Bezeichnung

    MUC6

    Hintergrund

    Mucin 6,Gastric, Oligomeric Mucus/Gel-Forming

    UniProt

    Q6W4X9
Sie sind hier:
Chat with us!