Telefon:
+49 (0)241 95 163 153
Fax:
+49 (0)241 95 163 155
E-Mail:
orders@antikoerper-online.de

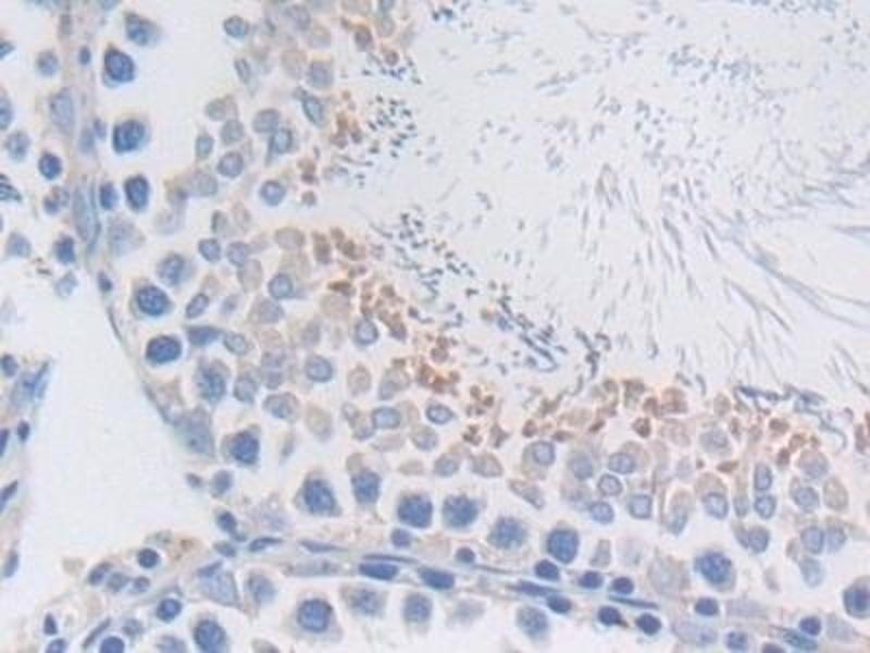
MFGE8 Antikörper (AA 73-421)

Der Kaninchen Polyklonal anti-MFGE8 Antikörper wird verwendet zum Nachweis von MFGE8 in Proben von Ratte. Er wurde validiert für WB, IHC, IP und ICC.
Produktnummer ABIN7440548
318,25 €
Zzgl. Versandkosten 20,00 € und MwSt
Lieferung nach: Deutschland
Lieferung in 11 bis 15 Werktagen

Kurzübersicht für MFGE8 Antikörper (AA 73-421) (ABIN7440548)

Target

Alle MFGE8 Antikörper anzeigen
MFGE8 (Milk Fat Globule-EGF Factor 8 Protein (MFGE8))

Reaktivität

  • 72
  • 10
  • 4
  • 3
Ratte

Wirt

  • 52
  • 23
  • 4
  • 1
Kaninchen

Klonalität

  • 56
  • 24
Polyklonal

Konjugat

  • 50
  • 6
  • 2
  • 2
  • 2
  • 1
  • 1
  • 1
  • 1
  • 1
  • 1
  • 1
  • 1
  • 1
  • 1
  • 1
  • 1
  • 1
  • 1
  • 1
  • 1
  • 1
  • 1
Dieser MFGE8 Antikörper ist unkonjugiert

Applikation

  • 62
  • 25
  • 24
  • 20
  • 13
  • 13
  • 12
  • 12
  • 11
  • 7
  • 6
  • 3
  • 2
  • 2
  • 1
  • 1
Western Blotting (WB), Immunohistochemistry (IHC), Immunoprecipitation (IP), Immunocytochemistry (ICC)
  • Bindungsspezifität

    • 15
    • 7
    • 6
    • 6
    • 4
    • 2
    • 2
    • 2
    • 2
    • 1
    • 1
    • 1
    • 1
    • 1
    • 1
    AA 73-421

    Verwendungszweck

    Polyclonal Antibody to Milk Fat Globule EGF Factor 8 (MFGE8)

    Spezifität

    The antibody is a rabbit polyclonal antibody raised against MFGE8. It has been selected for its ability to recognize MFGE8 in immunohistochemical staining and western blotting.

    Kreuzreaktivität

    Maus

    Aufreinigung

    Antigen-specific affinity chromatography followed by Protein A affinity chromatography

    Immunogen

    Recombinant Milk Fat Globule EGF Factor 8 (MFGE8) corresdonding to Cys73~Arg421 with N-terminal His and GST Tag

    Isotyp

    IgG
  • Applikationshinweise

    Western blotting: 0.01-3 μg/mL,Immunohistochemistry: 5-30 μg/mL,Immunocytochemistry: 5-30 μg/mL,Optimal working dilutions must be determined by end user.

    Kommentare

    The thermal stability is described by the loss rate. The loss rate was determined by accelerated thermal degradation test, that is, incubate the protein at 37°C for 48h, and no obvious degradation and precipitation were observed. The loss rate is less than 5% within the expiration date under appropriate storage condition.

    Beschränkungen

    Nur für Forschungszwecke einsetzbar
  • Format

    Liquid

    Konzentration

    0.5 mg/mL

    Buffer

    PBS, pH 7.4, containing 0.02 % Sodium azide, 50 % glycerol.

    Konservierungsmittel

    Sodium azide

    Vorsichtsmaßnahmen

    This product contains Sodium azide: a POISONOUS AND HAZARDOUS SUBSTANCE which should be handled by trained staff only.

    Lagerung

    4 °C,-20 °C

    Informationen zur Lagerung

    Store at 4°C for frequent use. Stored at -20°C in a manual defrost freezer for two year without detectable loss of activity. Avoid repeated freeze-thaw cycles.

    Haltbarkeit

    24 months
  • Target

    MFGE8 (Milk Fat Globule-EGF Factor 8 Protein (MFGE8))

    Andere Bezeichnung

    MFGE8

    Hintergrund

    HMFG, MFGM, SED1, BA46, EDIL1, OAcGD3S, SPAG10, hP47, Medin, Lactadherin, Sperm Associated Antigen 10, Sperm Surface Protein hP47, Milk fat globule-EGF factor 8

    UniProt

    P70490

    Pathways

    SARS-CoV-2 Protein Interaktom
Sie sind hier:
Chat with us!