Telefon:
+49 (0)241 95 163 153
Fax:
+49 (0)241 95 163 155
E-Mail:
orders@antikoerper-online.de

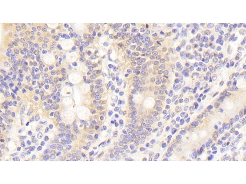
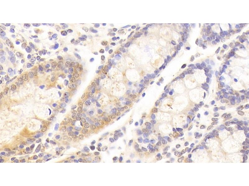
KNG1 Antikörper (AA 390-644)

Der Kaninchen Polyklonal anti-KNG1 Antikörper (ABIN7433357) detektiert spezifisch KNG1 in WB, IHC, IP und ICC. Dieser Antikörper reagiert spezifisch mit Proben aus Human.
Produktnummer ABIN7433357
298,22 €
Zzgl. Versandkosten 20,00 € und MwSt
Lieferung nach: Deutschland
Lieferung in 11 bis 15 Werktagen

Kurzübersicht für KNG1 Antikörper (AA 390-644) (ABIN7433357)

Target

Alle KNG1 Antikörper anzeigen
KNG1 (Kininogen 1 (KNG1))

Reaktivität

  • 75
  • 10
  • 8
  • 3
  • 2
  • 2
  • 1
  • 1
  • 1
  • 1
Human

Wirt

  • 72
  • 14
  • 4
Kaninchen

Klonalität

  • 69
  • 21
Polyklonal

Konjugat

  • 58
  • 6
  • 5
  • 4
  • 2
  • 2
  • 2
  • 2
  • 2
  • 2
  • 2
  • 1
  • 1
  • 1
Dieser KNG1 Antikörper ist unkonjugiert

Applikation

  • 63
  • 46
  • 34
  • 20
  • 10
  • 8
  • 8
  • 6
  • 4
  • 2
  • 1
  • 1
  • 1
Western Blotting (WB), Immunohistochemistry (IHC), Immunoprecipitation (IP), Immunocytochemistry (ICC)
  • Bindungsspezifität

    • 6
    • 6
    • 5
    • 5
    • 5
    • 5
    • 3
    • 2
    • 2
    • 2
    • 2
    • 2
    • 1
    • 1
    • 1
    • 1
    • 1
    • 1
    • 1
    • 1
    • 1
    • 1
    • 1
    • 1
    • 1
    • 1
    • 1
    • 1
    • 1
    AA 390-644

    Verwendungszweck

    Polyclonal Antibody to Kininogen 1 (KNG1)

    Spezifität

    The antibody is a rabbit polyclonal antibody raised against KNG1. It has been selected for its ability to recognize KNG1 in immunohistochemical staining and western blotting.

    Kreuzreaktivität

    Schwein

    Aufreinigung

    Antigen-specific affinity chromatography followed by Protein A affinity chromatography

    Immunogen

    Recombinant Kininogen 1 (KNG1) corresdonding to Ser390~Ser644 (Accession # P01042)

    Isotyp

    IgG
  • Applikationshinweise

    Western blotting: 0.5-2 μg/mL,Immunohistochemistry: 5-20 μg/mL,Immunocytochemistry: 5-20 μg/mL,Optimal working dilutions must be determined by end user.

    Kommentare

    The thermal stability is described by the loss rate. The loss rate was determined by accelerated thermal degradation test, that is, incubate the protein at 37°C for 48h, and no obvious degradation and precipitation were observed. The loss rate is less than 5% within the expiration date under appropriate storage condition.

    Beschränkungen

    Nur für Forschungszwecke einsetzbar
  • Format

    Liquid

    Konzentration

    1 mg/mL

    Buffer

    PBS, pH 7.4, containing 0.02 % Sodium azide, 50 % glycerol.

    Konservierungsmittel

    Sodium azide

    Vorsichtsmaßnahmen

    This product contains Sodium azide: a POISONOUS AND HAZARDOUS SUBSTANCE which should be handled by trained staff only.

    Lagerung

    4 °C,-20 °C

    Informationen zur Lagerung

    Store at 4°C for frequent use. Stored at -20°C in a manual defrost freezer for two year without detectable loss of activity. Avoid repeated freeze-thaw cycles.

    Haltbarkeit

    24 months
  • Target

    KNG1 (Kininogen 1 (KNG1))

    Andere Bezeichnung

    KNG1

    Hintergrund

    BDK, KNG, HMWK, Alpha-2-Thiol Proteinase Inhibitor, Bradykinin, Kallidin, Fitzgerald factor, High molecular weight kininogen, Williams-Fitzgerald-Flaujeac factor, Ile-Ser-Bradykinin

    UniProt

    P01042

    Pathways

    ACE Inhibitor Pathway, Glycosaminoglycan Metabolic Process
Sie sind hier:
Chat with us!