Telefon:
+49 (0)241 95 163 153
Fax:
+49 (0)241 95 163 155
E-Mail:
orders@antikoerper-online.de

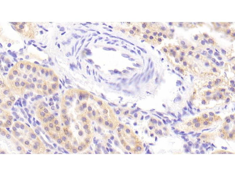
ITGA2 Antikörper (AA 74-277)

Dieser Kaninchen Polyklonal Antikörper detektiert spezifisch ITGA2 in WB, IHC, IP und ICC. Es zeigt Reaktivität gegenüber Proben von Human.
Produktnummer ABIN7437140
298,22 €
Zzgl. Versandkosten 20,00 € und MwSt
Lieferung nach: Deutschland
Lieferung in 11 bis 15 Werktagen

Kurzübersicht für ITGA2 Antikörper (AA 74-277) (ABIN7437140)

Target

Alle ITGA2 Antikörper anzeigen
ITGA2 (Integrin alpha 2 (ITGA2))

Reaktivität

  • 140
  • 95
  • 28
  • 10
  • 9
  • 9
  • 8
  • 4
  • 3
  • 2
  • 2
  • 2
  • 1
  • 1
  • 1
  • 1
Human

Wirt

  • 82
  • 59
  • 42
  • 9
  • 8
Kaninchen

Klonalität

  • 139
  • 64
Polyklonal

Konjugat

  • 83
  • 28
  • 19
  • 19
  • 11
  • 6
  • 5
  • 3
  • 3
  • 3
  • 3
  • 3
  • 3
  • 2
  • 2
  • 1
  • 1
  • 1
  • 1
  • 1
  • 1
  • 1
  • 1
  • 1
  • 1
  • 1
Dieser ITGA2 Antikörper ist unkonjugiert

Applikation

  • 114
  • 79
  • 56
  • 39
  • 38
  • 35
  • 27
  • 14
  • 13
  • 6
  • 6
  • 4
  • 3
  • 3
  • 2
  • 2
  • 2
  • 1
  • 1
  • 1
  • 1
  • 1
Western Blotting (WB), Immunohistochemistry (IHC), Immunoprecipitation (IP), Immunocytochemistry (ICC)
  • Bindungsspezifität

    • 9
    • 8
    • 8
    • 6
    • 5
    • 4
    • 4
    • 2
    • 2
    • 1
    • 1
    • 1
    • 1
    • 1
    • 1
    • 1
    • 1
    • 1
    • 1
    • 1
    • 1
    • 1
    • 1
    • 1
    AA 74-277

    Verwendungszweck

    Polyclonal Antibody to Integrin Alpha 2 (ITGa2)

    Spezifität

    The antibody is a rabbit polyclonal antibody raised against ITGa2. It has been selected for its ability to recognize ITGa2 in immunohistochemical staining and western blotting.

    Kreuzreaktivität

    Maus, Schwein

    Aufreinigung

    Antigen-specific affinity chromatography followed by Protein A affinity chromatography

    Immunogen

    Recombinant Integrin Alpha 2 (ITGa2) corresdonding to Glu74~Val277 (Accession # P17301)

    Isotyp

    IgG
  • Applikationshinweise

    Western blotting: 1-5 μg/mL,Immunocytochemistry in formalin fixed cells: 5-20 μg/mL,Immunohistochemistry in formalin fixed frozen section: 5-20 μg/mL,Immunohistochemistry in paraffin section: 5-20 μg/mL,Enzyme-linked Immunosorbent Assay: 0.05-2 μg/mL,Optimal working dilutions must be determined by end user.

    Kommentare

    The thermal stability is described by the loss rate. The loss rate was determined by accelerated thermal degradation test, that is, incubate the protein at 37°C for 48h, and no obvious degradation and precipitation were observed. The loss rate is less than 5% within the expiration date under appropriate storage condition.

    Beschränkungen

    Nur für Forschungszwecke einsetzbar
  • Format

    Liquid

    Konzentration

    500 μg/mL

    Buffer

    0.01M PBS, pH 7.4, containing 0.05 % Proclin-300, 50 % glycerol.

    Konservierungsmittel

    ProClin

    Vorsichtsmaßnahmen

    This product contains ProClin: a POISONOUS AND HAZARDOUS SUBSTANCE which should be handled by trained staff only.

    Lagerung

    4 °C,-20 °C

    Informationen zur Lagerung

    Store at 4°C for frequent use. Stored at -20°C in a manual defrost freezer for two year without detectable loss of activity. Avoid repeated freeze-thaw cycles.

    Haltbarkeit

    24 months
  • Target

    ITGA2 (Integrin alpha 2 (ITGA2))

    Andere Bezeichnung

    ITGa2

    Hintergrund

    CD49b, BR, GPIa, VLA-2, VLAA2, Platelet membrane glycoprotein Ia, Alpha 2 Subunit Of VLA-2 Receptor, Very Late Activation Proteins 2 Receptor, Collagen receptor, VLA-2 alpha

    UniProt

    P17301

    Pathways

    CXCR4-mediated Signaling Events, Smooth Muscle Cell Migration, Integrin Complex
Sie sind hier:
Chat with us!