Telefon:
+49 (0)241 95 163 153
Fax:
+49 (0)241 95 163 155
E-Mail:
orders@antikoerper-online.de

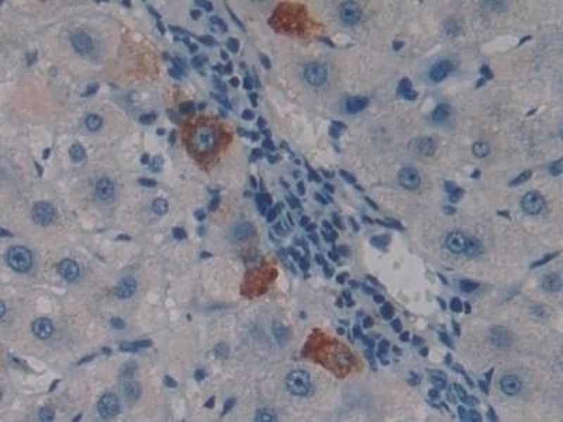
PSG1 Antikörper (AA 202-401)

Der Kaninchen Polyklonal anti-PSG1 Antikörper wird verwendet zum Nachweis von PSG1 in Proben von Human. Er wurde validiert für WB, IHC, IP und ICC.
Produktnummer ABIN7440083
298,22 €
Zzgl. Versandkosten 20,00 € und MwSt
Lieferung nach: Deutschland
Lieferung in 11 bis 15 Werktagen

Kurzübersicht für PSG1 Antikörper (AA 202-401) (ABIN7440083)

Target

Alle PSG1 Antikörper anzeigen
PSG1 (Pregnancy Specific beta-1-Glycoprotein 1 (PSG1))

Reaktivität

  • 19
  • 2
  • 2
Human

Wirt

  • 16
  • 3
Kaninchen

Klonalität

  • 17
  • 2
Polyklonal

Konjugat

  • 19
Dieser PSG1 Antikörper ist unkonjugiert

Applikation

  • 15
  • 9
  • 7
  • 4
  • 2
  • 2
  • 1
  • 1
  • 1
Western Blotting (WB), Immunohistochemistry (IHC), Immunoprecipitation (IP), Immunocytochemistry (ICC)
  • Bindungsspezifität

    • 2
    • 2
    • 2
    • 2
    • 1
    • 1
    • 1
    • 1
    • 1
    • 1
    AA 202-401

    Verwendungszweck

    Polyclonal Antibody to Pregnancy Specific Beta-1-Glycoprotein 1 (PSG1)

    Spezifität

    The antibody is a rabbit polyclonal antibody raised against PSG1. It has been selected for its ability to recognize PSG1 in immunohistochemical staining and western blotting.

    Aufreinigung

    Antigen-specific affinity chromatography followed by Protein A affinity chromatography

    Immunogen

    Recombinant Pregnancy Specific Beta-1-Glycoprotein 1 (PSG1) corresdonding to Leu202~Thr401 with N-terminal His Tag

    Isotyp

    IgG
  • Applikationshinweise

    Western blotting: 0.01-2 μg/mL,Immunohistochemistry: 5-20 μg/mL,Immunocytochemistry: 5-20 μg/mL,Optimal working dilutions must be determined by end user.

    Kommentare

    The thermal stability is described by the loss rate. The loss rate was determined by accelerated thermal degradation test, that is, incubate the protein at 37°C for 48h, and no obvious degradation and precipitation were observed. The loss rate is less than 5% within the expiration date under appropriate storage condition.

    Beschränkungen

    Nur für Forschungszwecke einsetzbar
  • Format

    Liquid

    Konzentration

    500 μg/mL

    Buffer

    PBS, pH 7.4, containing 0.02 % Sodium azide, 50 % glycerol.

    Konservierungsmittel

    Sodium azide

    Vorsichtsmaßnahmen

    This product contains Sodium azide: a POISONOUS AND HAZARDOUS SUBSTANCE which should be handled by trained staff only.

    Lagerung

    4 °C,-20 °C

    Informationen zur Lagerung

    Store at 4°C for frequent use. Stored at -20°C in a manual defrost freezer for two year without detectable loss of activity. Avoid repeated freeze-thaw cycles.

    Haltbarkeit

    24 months
  • Target

    PSG1 (Pregnancy Specific beta-1-Glycoprotein 1 (PSG1))

    Andere Bezeichnung

    PSG1

    Hintergrund

    CD66f, PSb1G, PSb1-G, DHFRP2, PBG1, B1G1, PSBG1, PSGGA, PSGIIA, SP1, PS-beta-C/D, CD66 antigen-like family member F, Fetal liver non-specific cross-reactive antigen 1/2

    UniProt

    P11464
Sie sind hier:
Chat with us!