Telefon:
+49 (0)241 95 163 153
Fax:
+49 (0)241 95 163 155
E-Mail:
orders@antikoerper-online.de

Serotonin Antikörper

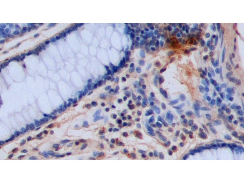
Dieser Kaninchen Polyklonal Antikörper detektiert spezifisch Serotonin in ICC, IP, IHC (fro), ELISA und CLIA. Es zeigt Reaktivität gegenüber Proben von Diverse Spezies.
Produktnummer ABIN7429649
343,05 €
Zzgl. Versandkosten 20,00 € und MwSt
Lieferung nach: Deutschland
Lieferung in 11 bis 15 Werktagen

Kurzübersicht für Serotonin Antikörper (ABIN7429649)

Target

Alle Serotonin (5-HT) Antikörper anzeigen
Serotonin (5-HT) (5-Hydroxytryptamine (5-HT))

Reaktivität

Diverse Spezies

Wirt

  • 18
  • 3
  • 1
Kaninchen

Klonalität

  • 19
  • 2
Polyklonal

Konjugat

  • 6
  • 2
  • 2
  • 1
  • 1
  • 1
  • 1
  • 1
  • 1
  • 1
  • 1
  • 1
  • 1
  • 1
  • 1
Dieser Serotonin Antikörper ist unkonjugiert

Applikation

  • 13
  • 13
  • 6
  • 5
  • 5
  • 4
  • 4
  • 3
  • 1
  • 1
  • 1
  • 1
Immunocytochemistry (ICC), Immunoprecipitation (IP), Immunohistochemistry (Frozen Sections) (IHC (fro)), ELISA, Chemiluminescence Immunoassay (CLIA)
  • Verwendungszweck

    Polyclonal Antibody to 5-Hydroxytryptamine (5-HT)

    Spezifität

    The antibody is a rabbit polyclonal antibody raised against 5-HT. It has been selected for its ability to recognize 5-HT in ELISA and CLIA.

    Kreuzreaktivität

    Diverse Spezies

    Aufreinigung

    Antigen-specific affinity chromatography followed by Protein A affinity chromatography

    Immunogen

    BSA Conjugated 5-Hydroxytryptamine (5-HT)

    Isotyp

    IgG
  • Applikationshinweise

    Enzyme-Linked Immune Sorbent Assay: 136 ng/mL,Immunohistochemistry: 5-20 μg/mL,Immunocytochemistry: 5-20 μg/mL,Optimal working dilutions must be determined by end user.

    Kommentare

    The thermal stability is described by the loss rate. The loss rate was determined by accelerated thermal degradation test, that is, incubate the protein at 37°C for 48h, and no obvious degradation and precipitation were observed. The loss rate is less than 5% within the expiration date under appropriate storage condition.

    Beschränkungen

    Nur für Forschungszwecke einsetzbar
  • Format

    Liquid

    Konzentration

    0.24 mg/mL

    Buffer

    0.01M PBS, pH 7.4, containing 0.05 % Proclin-300, 50 % glycerol.

    Konservierungsmittel

    ProClin

    Vorsichtsmaßnahmen

    This product contains ProClin: a POISONOUS AND HAZARDOUS SUBSTANCE which should be handled by trained staff only.

    Lagerung

    4 °C,-20 °C

    Informationen zur Lagerung

    Store at 4°C for frequent use. Stored at -20°C in a manual defrost freezer for two year without detectable loss of activity. Avoid repeated freeze-thaw cycles.

    Haltbarkeit

    24 months
  • Target

    Serotonin (5-HT) (5-Hydroxytryptamine (5-HT))

    Andere Bezeichnung

    5-HT

    Substanzklasse

    Chemical

    Hintergrund

    5HT, Serotonin, N-Methyl-Gamma
Sie sind hier:
Chat with us!