Telefon:
+49 (0)241 95 163 153
Fax:
+49 (0)241 95 163 155
E-Mail:
orders@antikoerper-online.de

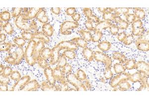
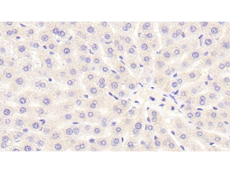
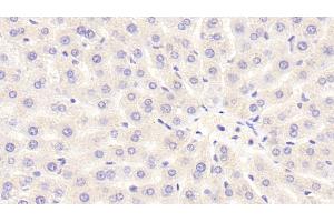
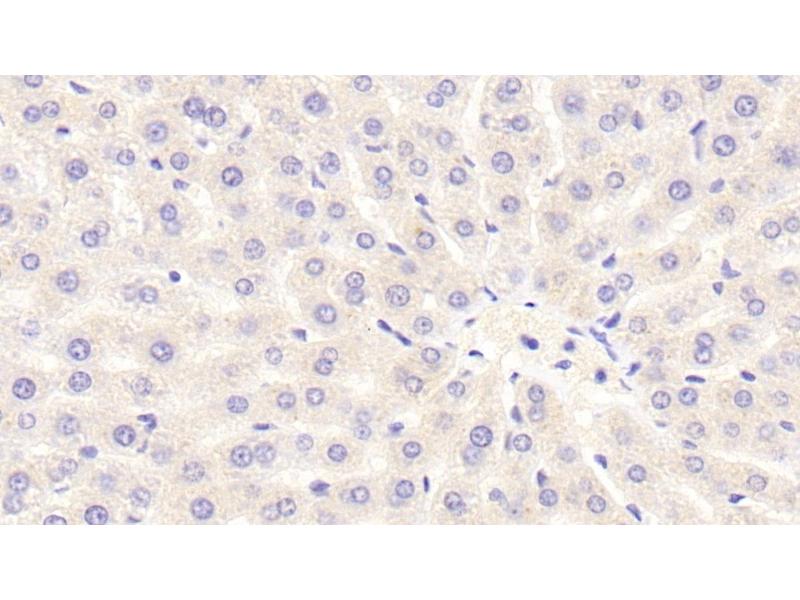
NOX3 Antikörper (AA 221-466)

Der Kaninchen Polyklonal anti-NOX3 Antikörper wird verwendet zum Nachweis von NOX3 in Proben von Ratte. Er wurde validiert für WB, IHC, ICC und IP.
Produktnummer ABIN7443122
304,89 €
Zzgl. Versandkosten 20,00 € und MwSt
Lieferung nach: Deutschland
Lieferung in 11 bis 15 Werktagen

Kurzübersicht für NOX3 Antikörper (AA 221-466) (ABIN7443122)

Target

Alle NOX3 Antikörper anzeigen
NOX3 (NADPH Oxidase 3 (NOX3))

Reaktivität

  • 42
  • 18
  • 5
Ratte

Wirt

  • 43
Kaninchen

Klonalität

  • 43
Polyklonal

Konjugat

  • 18
  • 2
  • 2
  • 2
  • 1
  • 1
  • 1
  • 1
  • 1
  • 1
  • 1
  • 1
  • 1
  • 1
  • 1
  • 1
  • 1
  • 1
  • 1
  • 1
  • 1
  • 1
  • 1
Dieser NOX3 Antikörper ist unkonjugiert

Applikation

  • 32
  • 20
  • 13
  • 13
  • 8
  • 6
  • 3
  • 2
Western Blotting (WB), Immunohistochemistry (IHC), Immunocytochemistry (ICC), Immunoprecipitation (IP)
  • Bindungsspezifität

    • 15
    • 8
    • 3
    • 2
    • 2
    • 2
    • 1
    • 1
    • 1
    • 1
    AA 221-466

    Verwendungszweck

    Polyclonal Antibody to Nicotinamide Adenine Dinucleotide Phosphate Oxidase 3 (NOX3)

    Spezifität

    The antibody is a rabbit polyclonal antibody raised against NOX3. It has been selected for its ability to recognize NOX3 in immunohistochemical staining and western blotting.

    Aufreinigung

    Antigen-specific affinity chromatography followed by Protein A affinity chromatography

    Immunogen

    Recombinant Nicotinamide Adenine Dinucleotide Phosphate Oxidase 3 (NOX3) corresdonding to Gly221~Gln466 with N-terminal His Tag

    Isotyp

    IgG
  • Applikationshinweise

    Western blotting: 0.5-2 μg/mL,1:290-1160,Immunohistochemistry: 5-20 μg/mL,1:29-116,Immunocytochemistry: 5-20 μg/mL,1:29-116,Optimal working dilutions must be determined by end user.

    Kommentare

    The thermal stability is described by the loss rate. The loss rate was determined by accelerated thermal degradation test, that is, incubate the protein at 37°C for 48h, and no obvious degradation and precipitation were observed. The loss rate is less than 5% within the expiration date under appropriate storage condition.

    Beschränkungen

    Nur für Forschungszwecke einsetzbar
  • Format

    Liquid

    Konzentration

    0.5 mg/mL

    Buffer

    PBS, pH 7.4, containing 0.02 % Sodium azide, 50 % glycerol.

    Konservierungsmittel

    Sodium azide

    Vorsichtsmaßnahmen

    This product contains Sodium azide: a POISONOUS AND HAZARDOUS SUBSTANCE which should be handled by trained staff only.

    Lagerung

    4 °C,-20 °C

    Informationen zur Lagerung

    Store at 4°C for frequent use. Stored at -20°C in a manual defrost freezer for two year without detectable loss of activity. Avoid repeated freeze-thaw cycles.

    Haltbarkeit

    24 months
  • Target

    NOX3 (NADPH Oxidase 3 (NOX3))

    Andere Bezeichnung

    NOX3

    Hintergrund

    GP91-3, MOX-2, NADPH Oxidase 3, Mitogenic oxidase 2, gp91phox homolog 3

    UniProt

    Q672K1
Sie sind hier:
Chat with us!