Telefon:
+49 (0)241 95 163 153
Fax:
+49 (0)241 95 163 155
E-Mail:
orders@antikoerper-online.de

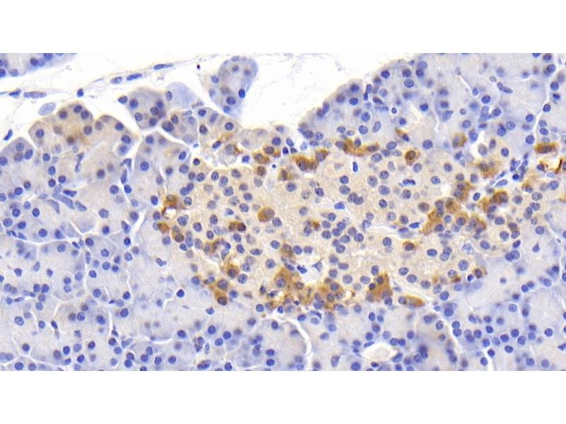
SLIT2 Antikörper (AA 664-777)

Der Kaninchen Polyklonal anti-SLIT2 Antikörper wird verwendet zum Nachweis von SLIT2 in Proben von Human. Er wurde validiert für WB, IHC, IP und ICC.
Produktnummer ABIN7445819
294,40 €
Zzgl. Versandkosten 20,00 € und MwSt
Lieferung nach: Deutschland
Lieferung in 11 bis 15 Werktagen

Kurzübersicht für SLIT2 Antikörper (AA 664-777) (ABIN7445819)

Target

Alle SLIT2 Antikörper anzeigen
SLIT2 (Slit Homolog 2 (Drosophila) (SLIT2))

Reaktivität

  • 39
  • 35
  • 31
  • 1
Human

Wirt

  • 64
  • 3
  • 2
  • 1
Kaninchen

Klonalität

  • 56
  • 14
Polyklonal

Konjugat

  • 29
  • 12
  • 3
  • 2
  • 2
  • 2
  • 2
  • 2
  • 2
  • 1
  • 1
  • 1
  • 1
  • 1
  • 1
  • 1
  • 1
  • 1
  • 1
  • 1
  • 1
  • 1
  • 1
Dieser SLIT2 Antikörper ist unkonjugiert

Applikation

  • 60
  • 35
  • 21
  • 14
  • 13
  • 13
  • 10
  • 6
  • 4
  • 3
  • 2
  • 1
  • 1
Western Blotting (WB), Immunohistochemistry (IHC), Immunoprecipitation (IP), Immunocytochemistry (ICC)
  • Bindungsspezifität

    • 15
    • 4
    • 3
    • 2
    • 2
    • 2
    • 1
    • 1
    • 1
    • 1
    • 1
    • 1
    • 1
    • 1
    • 1
    AA 664-777

    Verwendungszweck

    Polyclonal Antibody to Slit Homolog 2 (Slit2)

    Spezifität

    The antibody is a rabbit polyclonal antibody raised against Slit2. It has been selected for its ability to recognize Slit2 in immunohistochemical staining and western blotting.

    Kreuzreaktivität

    Schwein

    Aufreinigung

    Antigen-specific affinity chromatography followed by Protein A affinity chromatography

    Immunogen

    Recombinant Slit Homolog 2 (Slit2) corresdonding to Asn664~Lys777 with N-terminal His Tag

    Isotyp

    IgG
  • Applikationshinweise

    Western blotting: 0.5-2 μg/mL,Immunohistochemistry: 5-20 μg/mL,Immunocytochemistry: 5-20 μg/mL,Optimal working dilutions must be determined by end user.

    Kommentare

    The thermal stability is described by the loss rate. The loss rate was determined by accelerated thermal degradation test, that is, incubate the protein at 37°C for 48h, and no obvious degradation and precipitation were observed. The loss rate is less than 5% within the expiration date under appropriate storage condition.

    Beschränkungen

    Nur für Forschungszwecke einsetzbar
  • Format

    Liquid

    Konzentration

    500 μg/mL

    Buffer

    PBS, pH 7.4, containing 0.02 % Sodium azide, 50 % glycerol.

    Konservierungsmittel

    Sodium azide

    Vorsichtsmaßnahmen

    This product contains Sodium azide: a POISONOUS AND HAZARDOUS SUBSTANCE which should be handled by trained staff only.

    Lagerung

    4 °C,-20 °C

    Informationen zur Lagerung

    Store at 4°C for frequent use. Stored at -20°C in a manual defrost freezer for two year without detectable loss of activity. Avoid repeated freeze-thaw cycles.

    Haltbarkeit

    24 months
  • Target

    SLIT2 (Slit Homolog 2 (Drosophila) (SLIT2))

    Andere Bezeichnung

    Slit2

    Hintergrund

    SLIL3

    UniProt

    O94813

    Pathways

    Regulation of Actin Filament Polymerization, Regulation of Cell Size, Smooth Muscle Cell Migration
Sie sind hier:
Chat with us!