Telefon:
+49 (0)241 95 163 153
Fax:
+49 (0)241 95 163 155
E-Mail:
orders@antikoerper-online.de

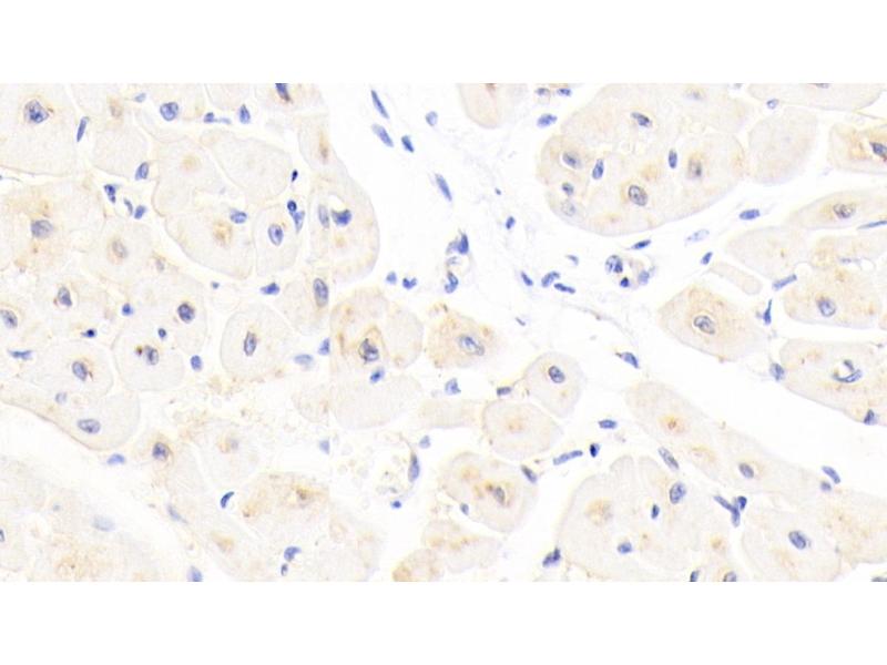
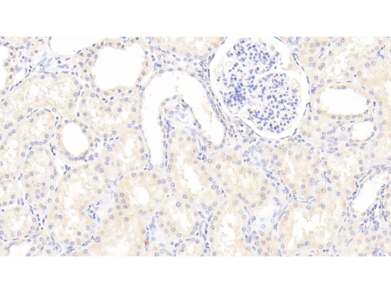
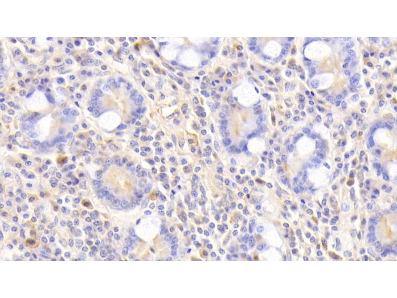
GSTA4 Antikörper (AA 3-222)

Der Kaninchen Polyklonal anti-GSTA4 Antikörper wird verwendet zum Nachweis von GSTA4 in Proben von Human. Er wurde validiert für WB, IHC, ICC und IP.
Produktnummer ABIN7432334
287,72 €
Zzgl. Versandkosten 20,00 € und MwSt
Lieferung nach: Deutschland
Lieferung in 11 bis 15 Werktagen

Kurzübersicht für GSTA4 Antikörper (AA 3-222) (ABIN7432334)

Target

Alle GSTA4 Antikörper anzeigen
GSTA4 (Glutathione S-Transferase alpha 4 (GSTA4))

Reaktivität

  • 48
  • 10
  • 7
  • 3
  • 3
  • 2
  • 2
  • 2
  • 2
  • 1
  • 1
  • 1
Human

Wirt

  • 51
  • 5
  • 1
Kaninchen

Klonalität

  • 54
  • 3
Polyklonal

Konjugat

  • 33
  • 9
  • 8
  • 2
  • 2
  • 2
  • 1
Dieser GSTA4 Antikörper ist unkonjugiert

Applikation

  • 44
  • 28
  • 18
  • 15
  • 9
  • 9
  • 8
  • 3
  • 2
  • 2
  • 2
  • 1
  • 1
Western Blotting (WB), Immunohistochemistry (IHC), Immunocytochemistry (ICC), Immunoprecipitation (IP)
  • Bindungsspezifität

    • 18
    • 7
    • 5
    • 4
    • 3
    • 2
    • 2
    • 1
    • 1
    • 1
    • 1
    • 1
    • 1
    AA 3-222

    Verwendungszweck

    Polyclonal Antibody to Glutathione S Transferase A4 (GSTA4)

    Spezifität

    The antibody is a rabbit polyclonal antibody raised against GSTA4. It has been selected for its ability to recognize GSTA4 in immunohistochemical staining and western blotting.

    Kreuzreaktivität

    Schwein

    Aufreinigung

    Antigen-specific affinity chromatography followed by Protein A affinity chromatography

    Immunogen

    Recombinant Glutathione S Transferase A4 (GSTA4) corresdonding to Ala3~Pro222 (Accession # O15217)

    Isotyp

    IgG
  • Applikationshinweise

    Western blotting: 0.5-2 μg/mL,Immunohistochemistry: 5-20 μg/mL,Immunocytochemistry: 5-20 μg/mL,Optimal working dilutions must be determined by end user.

    Kommentare

    The thermal stability is described by the loss rate. The loss rate was determined by accelerated thermal degradation test, that is, incubate the protein at 37°C for 48h, and no obvious degradation and precipitation were observed. The loss rate is less than 5% within the expiration date under appropriate storage condition.

    Beschränkungen

    Nur für Forschungszwecke einsetzbar
  • Format

    Liquid

    Konzentration

    500 μg/mL

    Buffer

    0.01M PBS, pH 7.4, containing 0.05 % Proclin-300, 50 % glycerol.

    Konservierungsmittel

    ProClin

    Vorsichtsmaßnahmen

    This product contains ProClin: a POISONOUS AND HAZARDOUS SUBSTANCE which should be handled by trained staff only.

    Lagerung

    4 °C,-20 °C

    Informationen zur Lagerung

    Store at 4°C for frequent use. Stored at -20°C in a manual defrost freezer for two year without detectable loss of activity. Avoid repeated freeze-thaw cycles.

    Haltbarkeit

    24 months
  • Target

    GSTA4 (Glutathione S-Transferase alpha 4 (GSTA4))

    Andere Bezeichnung

    GSTA4

    Hintergrund

    GST-A4, GSTA4-4, GTA4

    UniProt

    O15217
Sie sind hier:
Chat with us!