Telefon:
+49 (0)241 95 163 153
Fax:
+49 (0)241 95 163 155
E-Mail:
orders@antikoerper-online.de

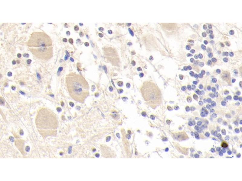
GSTM2 Antikörper (AA 3-218)

Der Kaninchen Polyklonal anti-GSTM2 Antikörper (ABIN7432331) detektiert spezifisch GSTM2 in WB, IHC, IP und ICC. Dieser Antikörper reagiert spezifisch mit Proben aus Human.
Produktnummer ABIN7432331
287,72 €
Zzgl. Versandkosten 20,00 € und MwSt
Lieferung nach: Deutschland
Lieferung in 11 bis 15 Werktagen

Kurzübersicht für GSTM2 Antikörper (AA 3-218) (ABIN7432331)

Target

Alle GSTM2 Antikörper anzeigen
GSTM2 (Glutathione S-Transferase mu 2 (Muscle) (GSTM2))

Reaktivität

  • 32
  • 15
  • 10
  • 1
Human

Wirt

  • 28
  • 14
Kaninchen

Klonalität

  • 28
  • 14
Polyklonal

Konjugat

  • 24
  • 5
  • 1
  • 1
  • 1
  • 1
  • 1
  • 1
  • 1
  • 1
  • 1
  • 1
  • 1
  • 1
  • 1
Dieser GSTM2 Antikörper ist unkonjugiert

Applikation

  • 31
  • 26
  • 14
  • 10
  • 10
  • 9
  • 7
  • 5
  • 4
  • 2
  • 1
Western Blotting (WB), Immunohistochemistry (IHC), Immunoprecipitation (IP), Immunocytochemistry (ICC)
  • Bindungsspezifität

    • 4
    • 2
    • 2
    • 1
    • 1
    • 1
    • 1
    • 1
    • 1
    • 1
    AA 3-218

    Verwendungszweck

    Polyclonal Antibody to Glutathione S Transferase Mu 2 (GSTM2)

    Spezifität

    The antibody is a rabbit polyclonal antibody raised against GSTM2. It has been selected for its ability to recognize GSTM2 in immunohistochemical staining and western blotting.

    Kreuzreaktivität

    Maus, Schwein, Ratte

    Aufreinigung

    Antigen-specific affinity chromatography followed by Protein A affinity chromatography

    Immunogen

    Recombinant Glutathione S Transferase Mu 2 (GSTM2) corresdonding to Met3~Lys218 (Accession # P28161)

    Isotyp

    IgG
  • Applikationshinweise

    Western blotting: 0.01-2 μg/mL,Immunohistochemistry: 5-20 μg/mL,Immunocytochemistry: 5-20 μg/mL,Optimal working dilutions must be determined by end user.

    Kommentare

    The thermal stability is described by the loss rate. The loss rate was determined by accelerated thermal degradation test, that is, incubate the protein at 37°C for 48h, and no obvious degradation and precipitation were observed. The loss rate is less than 5% within the expiration date under appropriate storage condition.

    Beschränkungen

    Nur für Forschungszwecke einsetzbar
  • Format

    Liquid

    Konzentration

    0.5 mg/mL

    Buffer

    PBS, pH 7.4, containing 0.02 % Sodium azide, 50 % glycerol.

    Konservierungsmittel

    Sodium azide

    Vorsichtsmaßnahmen

    This product contains Sodium azide: a POISONOUS AND HAZARDOUS SUBSTANCE which should be handled by trained staff only.

    Lagerung

    4 °C,-20 °C

    Informationen zur Lagerung

    Store at 4°C for frequent use. Stored at -20°C in a manual defrost freezer for two year without detectable loss of activity. Avoid repeated freeze-thaw cycles.

    Haltbarkeit

    24 months
  • Target

    GSTM2 (Glutathione S-Transferase mu 2 (Muscle) (GSTM2))

    Andere Bezeichnung

    GSTM2

    Hintergrund

    GST-M2, GST4, GSTM2-2, GTHMUS

    UniProt

    P28161

    Pathways

    Negative Regulation of Transporter Activity
Sie sind hier:
Chat with us!