Telefon:
+49 (0)241 95 163 153
Fax:
+49 (0)241 95 163 155
E-Mail:
orders@antikoerper-online.de

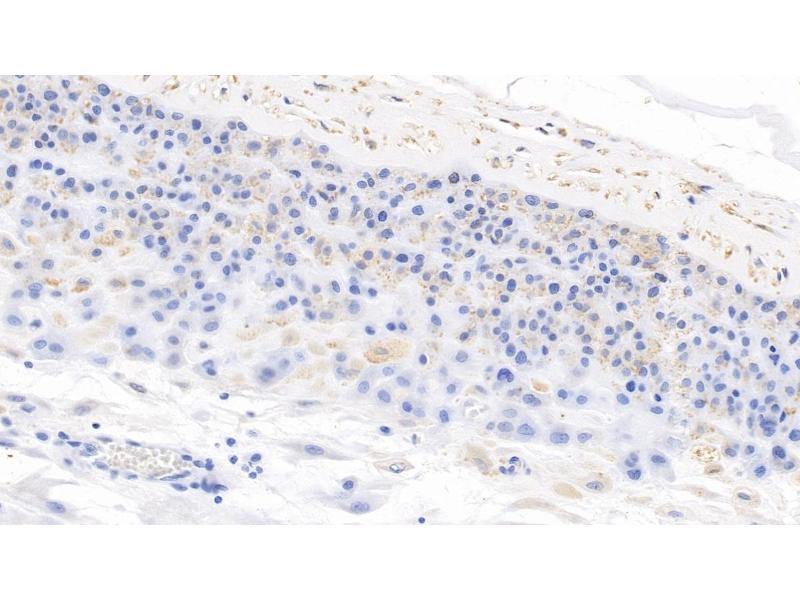
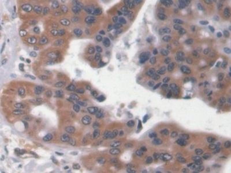
NT-ProBNP Antikörper (AA 27-102)

Der Kaninchen Polyklonal anti-NT-ProBNP Antikörper (ABIN7439867) detektiert spezifisch NT-ProBNP in WB, IHC, ICC und IP. Dieser Antikörper reagiert spezifisch mit Proben aus Human.
Produktnummer ABIN7439867
240,03 €
Zzgl. Versandkosten 20,00 € und MwSt
Lieferung nach: Deutschland
Lieferung in 11 bis 15 Werktagen

Kurzübersicht für NT-ProBNP Antikörper (AA 27-102) (ABIN7439867)

Target

Alle NT-ProBNP Antikörper anzeigen
NT-ProBNP (Pro-Brain Natriuretic Peptide (NT-ProBNP) (NT-ProBNP))

Reaktivität

  • 36
  • 8
  • 5
  • 4
  • 2
  • 1
Human

Wirt

  • 35
  • 13
  • 2
Kaninchen

Klonalität

  • 33
  • 17
Polyklonal

Konjugat

  • 46
  • 2
  • 1
  • 1
Dieser NT-ProBNP Antikörper ist unkonjugiert

Applikation

  • 33
  • 23
  • 21
  • 20
  • 19
  • 10
  • 4
  • 2
  • 2
  • 1
  • 1
  • 1
  • 1
Western Blotting (WB), Immunohistochemistry (IHC), Immunocytochemistry (ICC), Immunoprecipitation (IP)
  • Bindungsspezifität

    • 8
    • 5
    • 5
    • 3
    • 2
    • 1
    • 1
    • 1
    • 1
    • 1
    • 1
    • 1
    • 1
    • 1
    • 1
    AA 27-102

    Verwendungszweck

    Polyclonal Antibody to N-Terminal Pro-Brain Natriuretic Peptide (NT-ProBNP)

    Spezifität

    The antibody is a rabbit polyclonal antibody raised against NT-ProBNP. It has been selected for its ability to recognize NT-ProBNP in immunohistochemical staining and western blotting.

    Kreuzreaktivität

    Schwein

    Aufreinigung

    Antigen-specific affinity chromatography followed by Protein A affinity chromatography

    Immunogen

    Recombinant N-Terminal Pro-Brain Natriuretic Peptide (NT-ProBNP) corresdonding to His27~Arg102 with N-terminal His Tag

    Isotyp

    IgG
  • Applikationshinweise

    Western blotting: 0.01-2 μg/mL,Immunohistochemistry: 5-20 μg/mL,Immunocytochemistry: 5-20 μg/mL,Optimal working dilutions must be determined by end user.

    Kommentare

    The thermal stability is described by the loss rate. The loss rate was determined by accelerated thermal degradation test, that is, incubate the protein at 37°C for 48h, and no obvious degradation and precipitation were observed. The loss rate is less than 5% within the expiration date under appropriate storage condition.

    Beschränkungen

    Nur für Forschungszwecke einsetzbar
  • Format

    Liquid

    Konzentration

    0.5 mg/mL

    Buffer

    PBS, pH 7.4, containing 0.02 % Sodium azide, 50 % glycerol.

    Konservierungsmittel

    Sodium azide

    Vorsichtsmaßnahmen

    This product contains Sodium azide: a POISONOUS AND HAZARDOUS SUBSTANCE which should be handled by trained staff only.

    Lagerung

    4 °C,-20 °C

    Informationen zur Lagerung

    Store at 4°C for frequent use. Stored at -20°C in a manual defrost freezer for two year without detectable loss of activity. Avoid repeated freeze-thaw cycles.

    Haltbarkeit

    24 months
  • Target

    NT-ProBNP (Pro-Brain Natriuretic Peptide (NT-ProBNP) (NT-ProBNP))

    Andere Bezeichnung

    NT-ProBNP

    Hintergrund

    NT-Pro-BNP, , N-BNP

    UniProt

    P16860
Sie sind hier:
Chat with us!