Telefon:
+49 (0)241 95 163 153
Fax:
+49 (0)241 95 163 155
E-Mail:
orders@antikoerper-online.de

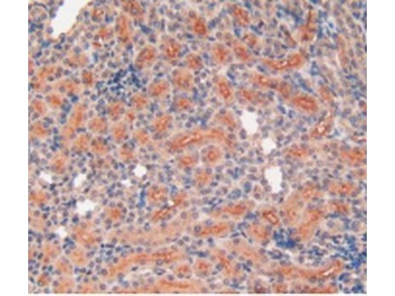
MMP12 Antikörper (AA 20-99)

Der Kaninchen Polyklonal anti-MMP12 Antikörper (ABIN7431755) detektiert spezifisch MMP12 in WB, IHC, IP und ICC. Dieser Antikörper reagiert spezifisch mit Proben aus Ratte.
Produktnummer ABIN7431755
304,89 €
Zzgl. Versandkosten 20,00 € und MwSt
Lieferung nach: Deutschland
Lieferung in 11 bis 15 Werktagen

Kurzübersicht für MMP12 Antikörper (AA 20-99) (ABIN7431755)

Target

Alle MMP12 Antikörper anzeigen
MMP12 (Matrix Metallopeptidase 12 (Macrophage Elastase) (MMP12))

Reaktivität

  • 76
  • 38
  • 37
  • 6
  • 1
Ratte

Wirt

  • 96
  • 3
  • 3
  • 2
  • 1
Kaninchen

Klonalität

  • 88
  • 17
Polyklonal

Konjugat

  • 47
  • 17
  • 12
  • 3
  • 2
  • 2
  • 2
  • 2
  • 2
  • 2
  • 2
  • 1
  • 1
  • 1
  • 1
  • 1
  • 1
  • 1
  • 1
  • 1
  • 1
  • 1
  • 1
Dieser MMP12 Antikörper ist unkonjugiert

Applikation

  • 86
  • 35
  • 28
  • 15
  • 11
  • 10
  • 8
  • 5
  • 3
  • 1
  • 1
Western Blotting (WB), Immunohistochemistry (IHC), Immunoprecipitation (IP), Immunocytochemistry (ICC)
  • Bindungsspezifität

    • 8
    • 6
    • 5
    • 4
    • 3
    • 3
    • 3
    • 3
    • 3
    • 3
    • 3
    • 3
    • 2
    • 2
    • 1
    • 1
    • 1
    • 1
    • 1
    • 1
    • 1
    • 1
    • 1
    • 1
    • 1
    • 1
    • 1
    AA 20-99

    Verwendungszweck

    Polyclonal Antibody to Matrix Metalloproteinase 12 (MMP12)

    Spezifität

    The antibody is a rabbit polyclonal antibody raised against MMP12. It has been selected for its ability to recognize MMP12 in immunohistochemical staining and western blotting.

    Aufreinigung

    Antigen-specific affinity chromatography followed by Protein A affinity chromatography

    Immunogen

    Recombinant Matrix Metalloproteinase 12 (MMP12) corresdonding to Val20~Arg99 (Accession # Q63341)

    Isotyp

    IgG
  • Applikationshinweise

    Western blotting: 0.5-2 μg/mL,Immunohistochemistry: 5-20 μg/mL,Immunocytochemistry: 5-20 μg/mL,Optimal working dilutions must be determined by end user.

    Kommentare

    The thermal stability is described by the loss rate. The loss rate was determined by accelerated thermal degradation test, that is, incubate the protein at 37°C for 48h, and no obvious degradation and precipitation were observed. The loss rate is less than 5% within the expiration date under appropriate storage condition.

    Beschränkungen

    Nur für Forschungszwecke einsetzbar
  • Format

    Liquid

    Konzentration

    500 μg/mL

    Buffer

    PBS, pH 7.4, containing 0.02 % Sodium azide, 50 % glycerol.

    Konservierungsmittel

    Sodium azide

    Vorsichtsmaßnahmen

    This product contains Sodium azide: a POISONOUS AND HAZARDOUS SUBSTANCE which should be handled by trained staff only.

    Lagerung

    4 °C,-20 °C

    Informationen zur Lagerung

    Store at 4°C for frequent use. Stored at -20°C in a manual defrost freezer for two year without detectable loss of activity. Avoid repeated freeze-thaw cycles.

    Haltbarkeit

    24 months
  • Target

    MMP12 (Matrix Metallopeptidase 12 (Macrophage Elastase) (MMP12))

    Andere Bezeichnung

    MMP12

    Hintergrund

    MME, HME, ME, Macrophage Metalloelastase, Macrophage Elastase

    UniProt

    Q63341
Sie sind hier:
Chat with us!