Telefon:
+49 (0)241 95 163 153
Fax:
+49 (0)241 95 163 155
E-Mail:
orders@antikoerper-online.de

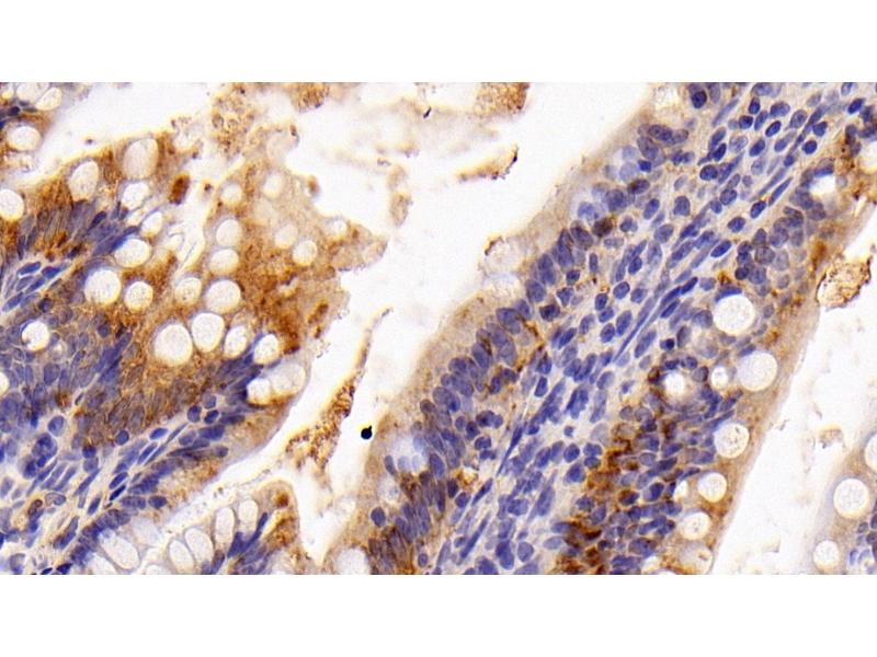
GAL4 Antikörper (AA 1-323)

Der Kaninchen Polyklonal anti-GAL4 Antikörper wird verwendet zum Nachweis von GAL4 in Proben von Human. Er wurde validiert für WB, IHC, IP und ICC.
Produktnummer ABIN7431569
287,72 €
Zzgl. Versandkosten 20,00 € und MwSt
Lieferung nach: Deutschland
Lieferung in 11 bis 15 Werktagen

Kurzübersicht für GAL4 Antikörper (AA 1-323) (ABIN7431569)

Target

Alle GAL4 (LGALS4) Antikörper anzeigen
GAL4 (LGALS4) (Galectin 4 (LGALS4))

Reaktivität

  • 64
  • 21
  • 10
  • 3
  • 3
  • 2
  • 2
  • 1
  • 1
  • 1
  • 1
  • 1
  • 1
Human

Wirt

  • 75
  • 7
Kaninchen

Klonalität

  • 65
  • 17
Polyklonal

Konjugat

  • 43
  • 9
  • 7
  • 3
  • 3
  • 2
  • 2
  • 2
  • 2
  • 2
  • 2
  • 2
  • 1
  • 1
  • 1
Dieser GAL4 Antikörper ist unkonjugiert

Applikation

  • 59
  • 38
  • 27
  • 18
  • 15
  • 12
  • 11
  • 6
  • 4
  • 2
  • 1
  • 1
Western Blotting (WB), Immunohistochemistry (IHC), Immunoprecipitation (IP), Immunocytochemistry (ICC)
  • Bindungsspezifität

    • 13
    • 8
    • 6
    • 5
    • 3
    • 3
    • 2
    • 1
    • 1
    • 1
    • 1
    • 1
    • 1
    • 1
    • 1
    • 1
    • 1
    • 1
    • 1
    • 1
    • 1
    AA 1-323

    Verwendungszweck

    Polyclonal Antibody to Galectin 4 (GAL4)

    Spezifität

    The antibody is a rabbit polyclonal antibody raised against GAL4. It has been selected for its ability to recognize GAL4 in immunohistochemical staining and western blotting.

    Kreuzreaktivität

    Maus, Ratte

    Aufreinigung

    Antigen-specific affinity chromatography followed by Protein A affinity chromatography

    Immunogen

    Recombinant Galectin 4 (GAL4) corresdonding to Met1~Ile323 (Accession # P56470)

    Isotyp

    IgG
  • Applikationshinweise

    Western blotting: 0.5-2 μg/mL,Immunohistochemistry: 5-20 μg/mL,Immunocytochemistry: 5-20 μg/mL,Optimal working dilutions must be determined by end user.

    Kommentare

    The thermal stability is described by the loss rate. The loss rate was determined by accelerated thermal degradation test, that is, incubate the protein at 37°C for 48h, and no obvious degradation and precipitation were observed. The loss rate is less than 5% within the expiration date under appropriate storage condition.

    Beschränkungen

    Nur für Forschungszwecke einsetzbar
  • Format

    Liquid

    Konzentration

    1 mg/mL

    Buffer

    0.01M PBS, pH 7.4, containing 0.05 % Proclin-300, 50 % glycerol.

    Konservierungsmittel

    ProClin

    Vorsichtsmaßnahmen

    This product contains ProClin: a POISONOUS AND HAZARDOUS SUBSTANCE which should be handled by trained staff only.

    Lagerung

    4 °C,-20 °C

    Informationen zur Lagerung

    Store at 4°C for frequent use. Stored at -20°C in a manual defrost freezer for two year without detectable loss of activity. Avoid repeated freeze-thaw cycles.

    Haltbarkeit

    24 months
  • Target

    GAL4 (LGALS4) (Galectin 4 (LGALS4))

    Andere Bezeichnung

    GAL4

    Hintergrund

    LGALS4, Lactose-Binding Lectin 4, L-36 Lactose-Binding Protein, L36LBP, Lectin,Galactoside-Binding Soluble 4

    UniProt

    P56470
Sie sind hier:
Chat with us!