Telefon:
+49 (0)241 95 163 153
Fax:
+49 (0)241 95 163 155
E-Mail:
orders@antikoerper-online.de

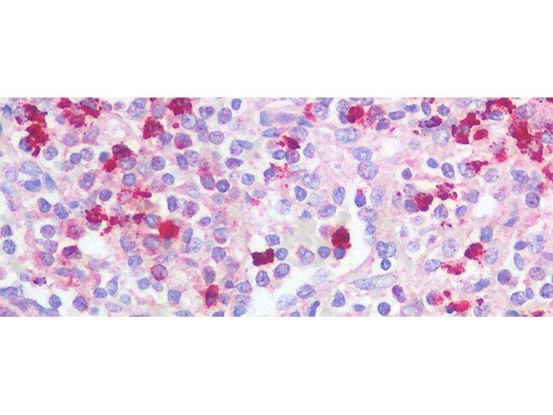
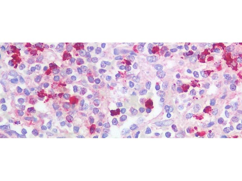
ELANE Antikörper (AA 30-247)

Der Kaninchen Polyklonal anti-ELANE Antikörper (ABIN7431269) detektiert spezifisch ELANE in WB, IHC, IP und ICC. Dieser Antikörper reagiert spezifisch mit Proben aus Human.
Produktnummer ABIN7431269
287,72 €
Zzgl. Versandkosten 20,00 € und MwSt
Lieferung nach: Deutschland
Lieferung in 11 bis 15 Werktagen

Kurzübersicht für ELANE Antikörper (AA 30-247) (ABIN7431269)

Target

Alle ELANE Antikörper anzeigen
ELANE (Elastase, Neutrophil Expressed (ELANE))

Reaktivität

  • 83
  • 6
  • 6
  • 2
  • 1
Human

Wirt

  • 62
  • 20
  • 5
  • 1
Kaninchen

Klonalität

  • 48
  • 40
Polyklonal

Konjugat

  • 49
  • 6
  • 5
  • 3
  • 3
  • 3
  • 3
  • 3
  • 3
  • 3
  • 2
  • 2
  • 1
  • 1
  • 1
Dieser ELANE Antikörper ist unkonjugiert

Applikation

  • 49
  • 34
  • 29
  • 22
  • 19
  • 17
  • 7
  • 5
  • 3
  • 3
  • 3
  • 3
  • 3
  • 2
  • 2
  • 2
  • 1
  • 1
Western Blotting (WB), Immunohistochemistry (IHC), Immunoprecipitation (IP), Immunocytochemistry (ICC)
  • Bindungsspezifität

    • 10
    • 6
    • 5
    • 5
    • 2
    • 1
    • 1
    • 1
    • 1
    • 1
    • 1
    AA 30-247

    Verwendungszweck

    Polyclonal Antibody to Neutrophil Elastase (NE)

    Spezifität

    The antibody is a rabbit polyclonal antibody raised against NE. It has been selected for its ability to recognize NE in immunohistochemical staining and western blotting.

    Aufreinigung

    Antigen-specific affinity chromatography followed by Protein A affinity chromatography

    Immunogen

    Recombinant Neutrophil Elastase (NE) corresdonding to Ile30~Gln247 with N-terminal His and GST Tag

    Isotyp

    IgG
  • Applikationshinweise

    Western blotting: 0.01-2 μg/mL,Immunohistochemistry: 5-20 μg/mL,Immunocytochemistry: 5-20 μg/mL,Optimal working dilutions must be determined by end user.

    Kommentare

    The thermal stability is described by the loss rate. The loss rate was determined by accelerated thermal degradation test, that is, incubate the protein at 37°C for 48h, and no obvious degradation and precipitation were observed. The loss rate is less than 5% within the expiration date under appropriate storage condition.

    Beschränkungen

    Nur für Forschungszwecke einsetzbar
  • Format

    Liquid

    Konzentration

    500 μg/mL

    Buffer

    0.01M PBS, pH 7.4, containing 0.05 % Proclin-300, 50 % glycerol.

    Konservierungsmittel

    ProClin

    Vorsichtsmaßnahmen

    This product contains ProClin: a POISONOUS AND HAZARDOUS SUBSTANCE which should be handled by trained staff only.

    Lagerung

    4 °C,-20 °C

    Informationen zur Lagerung

    Store at 4°C for frequent use. Stored at -20°C in a manual defrost freezer for two year without detectable loss of activity. Avoid repeated freeze-thaw cycles.

    Haltbarkeit

    24 months
  • Target

    ELANE (Elastase, Neutrophil Expressed (ELANE))

    Andere Bezeichnung

    Neutrophil Elastase

    Hintergrund

    ELANE, HLE, HNE, ELA2, PMN-E, Neutrophil Elastase, Medullasin, Polymorphonuclear Leukocyte Elastase, Bone Marrow Serine Protease, Leukocyte Elastase, PMN Elastase

    UniProt

    P08246
Sie sind hier:
Chat with us!