Telefon:
+49 (0)241 95 163 153
Fax:
+49 (0)241 95 163 155
E-Mail:
orders@antikoerper-online.de

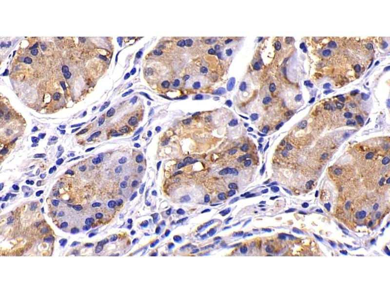
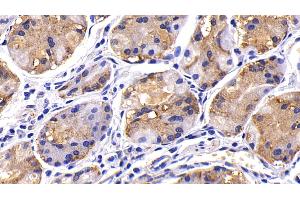
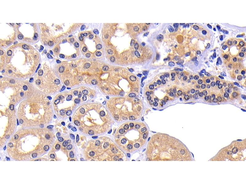
MMP7 Antikörper (AA 1-267)

Der Kaninchen Polyklonal anti-MMP7 Antikörper wird verwendet zum Nachweis von MMP7 in Proben von Human. Er wurde validiert für WB, IHC, IP und ICC.
Produktnummer ABIN7431014
227,63 €
Zzgl. Versandkosten 20,00 € und MwSt
Lieferung nach: Deutschland
Lieferung in 11 bis 15 Werktagen

Kurzübersicht für MMP7 Antikörper (AA 1-267) (ABIN7431014)

Target

Alle MMP7 Antikörper anzeigen
MMP7 (Matrix Metallopeptidase 7 (Matrilysin, Uterine) (MMP7))

Reaktivität

  • 64
  • 28
  • 19
  • 5
  • 3
  • 3
  • 2
  • 1
  • 1
Human

Wirt

  • 66
  • 21
  • 1
Kaninchen

Klonalität

  • 68
  • 20
Polyklonal

Konjugat

  • 55
  • 9
  • 8
  • 5
  • 2
  • 2
  • 1
  • 1
  • 1
  • 1
  • 1
  • 1
  • 1
Dieser MMP7 Antikörper ist unkonjugiert

Applikation

  • 57
  • 43
  • 38
  • 11
  • 10
  • 10
  • 10
  • 9
  • 3
  • 3
  • 2
  • 1
  • 1
  • 1
  • 1
  • 1
  • 1
  • 1
  • 1
  • 1
Western Blotting (WB), Immunohistochemistry (IHC), Immunoprecipitation (IP), Immunocytochemistry (ICC)
  • Bindungsspezifität

    • 15
    • 6
    • 6
    • 6
    • 5
    • 3
    • 2
    • 2
    • 1
    • 1
    • 1
    • 1
    • 1
    • 1
    • 1
    • 1
    • 1
    AA 1-267

    Verwendungszweck

    Polyclonal Antibody to Matrix Metalloproteinase 7 (MMP7)

    Spezifität

    The antibody is a rabbit polyclonal antibody raised against MMP7. It has been selected for its ability to recognize MMP7 in immunohistochemical staining and western blotting.

    Kreuzreaktivität

    Maus, Schwein

    Aufreinigung

    Antigen-specific affinity chromatography followed by Protein A affinity chromatography

    Immunogen

    Recombinant Matrix Metalloproteinase 7 (MMP7) corresdonding to Met1~Lys267 with N-terminal His Tag

    Isotyp

    IgG
  • Applikationshinweise

    Western blotting: 0.01-2 μg/mL,Immunohistochemistry: 5-20 μg/mL,Immunocytochemistry: 5-20 μg/mL,Optimal working dilutions must be determined by end user.

    Kommentare

    The thermal stability is described by the loss rate. The loss rate was determined by accelerated thermal degradation test, that is, incubate the protein at 37°C for 48h, and no obvious degradation and precipitation were observed. The loss rate is less than 5% within the expiration date under appropriate storage condition.

    Beschränkungen

    Nur für Forschungszwecke einsetzbar
  • Format

    Liquid

    Konzentration

    0.5 mg/mL

    Buffer

    PBS, pH 7.4, containing 0.02 % Sodium azide, 50 % glycerol.

    Konservierungsmittel

    Sodium azide

    Vorsichtsmaßnahmen

    This product contains Sodium azide: a POISONOUS AND HAZARDOUS SUBSTANCE which should be handled by trained staff only.

    Lagerung

    4 °C,-20 °C

    Informationen zur Lagerung

    Store at 4°C for frequent use. Stored at -20°C in a manual defrost freezer for two year without detectable loss of activity. Avoid repeated freeze-thaw cycles.

    Haltbarkeit

    24 months
  • Target

    MMP7 (Matrix Metallopeptidase 7 (Matrilysin, Uterine) (MMP7))

    Andere Bezeichnung

    MMP7

    Hintergrund

    MPSL1, MAT, PUMP-1, Matrilysin Uterine, Matrilysin, Matrin, Pump-1 Protease, Uterine Metalloproteinase

    UniProt

    P09237

    Pathways

    Production of Molecular Mediator of Immune Response
Sie sind hier:
Chat with us!