Telefon:
+49 (0)241 95 163 153
Fax:
+49 (0)241 95 163 155
E-Mail:
orders@antikoerper-online.de

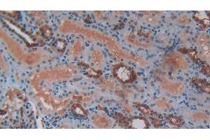
S100A1 Antikörper (AA 1-94)

Der Kaninchen Polyklonal anti-S100A1 Antikörper (ABIN7430384) detektiert spezifisch S100A1 in WB, IHC, IP und ICC. Dieser Antikörper reagiert spezifisch mit Proben aus Human.
Produktnummer ABIN7430384
287,72 €
Zzgl. Versandkosten 20,00 € und MwSt
Lieferung nach: Deutschland
Lieferung in 11 bis 15 Werktagen

Kurzübersicht für S100A1 Antikörper (AA 1-94) (ABIN7430384)

Target

Alle S100A1 Antikörper anzeigen
S100A1 (S100 Calcium Binding Protein A1 (S100A1))

Reaktivität

  • 126
  • 57
  • 41
  • 18
  • 7
  • 4
Human

Wirt

  • 94
  • 42
  • 2
  • 1
  • 1
  • 1
Kaninchen

Klonalität

  • 75
  • 67
Polyklonal

Konjugat

  • 72
  • 13
  • 10
  • 4
  • 4
  • 4
  • 4
  • 4
  • 4
  • 4
  • 2
  • 2
  • 2
  • 2
  • 2
  • 2
  • 2
  • 2
  • 1
  • 1
  • 1
Dieser S100A1 Antikörper ist unkonjugiert

Applikation

  • 83
  • 76
  • 42
  • 29
  • 20
  • 20
  • 16
  • 14
  • 10
  • 4
  • 3
  • 2
  • 2
  • 2
  • 1
Western Blotting (WB), Immunohistochemistry (IHC), Immunoprecipitation (IP), Immunocytochemistry (ICC)
  • Bindungsspezifität

    • 13
    • 11
    • 8
    • 5
    • 5
    • 3
    • 2
    • 2
    • 1
    • 1
    • 1
    • 1
    AA 1-94

    Verwendungszweck

    Polyclonal Antibody to S100 Calcium Binding Protein (S100)

    Spezifität

    The antibody is a rabbit polyclonal antibody raised against S100. It has been selected for its ability to recognize S100 in immunohistochemical staining and western blotting.

    Aufreinigung

    Antigen-specific affinity chromatography followed by Protein A affinity chromatography

    Immunogen

    Recombinant S100 Calcium Binding Protein (S100) corresdonding to Met1~Ser94 with N-terminal His Tag

    Isotyp

    IgG
  • Applikationshinweise

    Western blotting: 0.01-2 μg/mL,Immunohistochemistry: 5-20 μg/mL,Immunocytochemistry: 5-20 μg/mL,Optimal working dilutions must be determined by end user.

    Kommentare

    The thermal stability is described by the loss rate. The loss rate was determined by accelerated thermal degradation test, that is, incubate the protein at 37°C for 48h, and no obvious degradation and precipitation were observed. The loss rate is less than 5% within the expiration date under appropriate storage condition.

    Beschränkungen

    Nur für Forschungszwecke einsetzbar
  • Format

    Liquid

    Konzentration

    0.33 mg/mL

    Buffer

    PBS, pH 7.4, containing 0.02 % Sodium azide, 50 % glycerol.

    Konservierungsmittel

    Sodium azide

    Vorsichtsmaßnahmen

    This product contains Sodium azide: a POISONOUS AND HAZARDOUS SUBSTANCE which should be handled by trained staff only.

    Lagerung

    4 °C,-20 °C

    Informationen zur Lagerung

    Store at 4°C for frequent use. Stored at -20°C in a manual defrost freezer for two year without detectable loss of activity. Avoid repeated freeze-thaw cycles.

    Haltbarkeit

    24 months
  • Target

    S100A1 (S100 Calcium Binding Protein A1 (S100A1))

    Andere Bezeichnung

    S100

    Hintergrund

    S100-A1, S100A1, S100-Alpha, S-100 Protein, S-100 protein subunit alpha, S-100 protein alpha chain

    UniProt

    P23297

    Pathways

    Regulation of Muscle Cell Differentiation, Toll-Like Receptors Cascades, S100 Proteine
Sie sind hier:
Chat with us!