Telefon:
+49 (0)241 95 163 153
Fax:
+49 (0)241 95 163 155
E-Mail:
orders@antikoerper-online.de

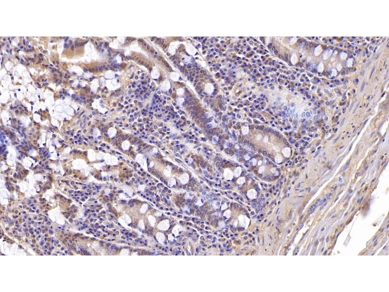
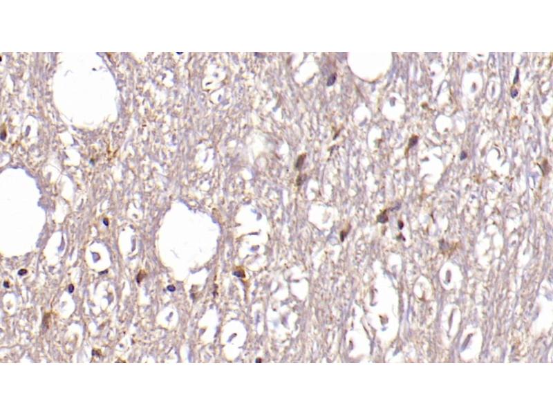
Aspartate beta Hydroxylase Antikörper (AA 345-758)

Der Maus Monoklonal anti-Aspartate beta Hydroxylase Antikörper wird verwendet zum Nachweis von Aspartate beta Hydroxylase in Proben von Human. Er wurde validiert für WB und IHC.
Produktnummer ABIN7427174
323,97 €
Zzgl. Versandkosten 20,00 € und MwSt
Lieferung nach: Deutschland
Lieferung in 11 bis 15 Werktagen

Kurzübersicht für Aspartate beta Hydroxylase Antikörper (AA 345-758) (ABIN7427174)

Target

Alle Aspartate beta Hydroxylase (ASPH) Antikörper anzeigen
Aspartate beta Hydroxylase (ASPH) (Aspartate beta-Hydroxylase (ASPH))

Reaktivität

  • 62
  • 11
  • 9
  • 5
  • 4
  • 4
  • 3
  • 3
  • 2
  • 1
  • 1
  • 1
Human

Wirt

  • 53
  • 9
Maus

Klonalität

  • 56
  • 6
Monoklonal

Konjugat

  • 36
  • 5
  • 4
  • 4
  • 1
  • 1
  • 1
  • 1
  • 1
  • 1
  • 1
  • 1
  • 1
  • 1
  • 1
  • 1
  • 1
Dieser Aspartate beta Hydroxylase Antikörper ist unkonjugiert

Applikation

  • 44
  • 25
  • 20
  • 13
  • 13
  • 10
  • 9
  • 8
  • 3
  • 1
  • 1
  • 1
  • 1
Western Blotting (WB), Immunohistochemistry (IHC)

Klon

C13
  • Bindungsspezifität

    • 15
    • 7
    • 6
    • 4
    • 4
    • 4
    • 3
    • 2
    • 2
    • 1
    • 1
    • 1
    • 1
    • 1
    • 1
    • 1
    • 1
    • 1
    • 1
    • 1
    • 1
    AA 345-758

    Verwendungszweck

    Monoclonal Antibody to Aspartate Beta Hydroxylase (ASPH)

    Spezifität

    The antibody is a mouse monoclonal antibody raised against ASPH. It has been selected for its ability to recognize ASPH in immunohistochemical staining and western blotting.

    Aufreinigung

    Protein A + Protein G affinity chromatography

    Immunogen

    Recombinant Aspartate Beta Hydroxylase (ASPH) corresdonding to Leu345~Ile758 with N-terminal His Tag

    Isotyp

    IgG2b kappa
  • Applikationshinweise

    Western blotting: 0.01-2 μg/mL,Immunohistochemistry: 5-40 μg/mL,Immunocytochemistry: 5-20 μg/mL,Optimal working dilutions must be determined by end user.

    Kommentare

    The thermal stability is described by the loss rate. The loss rate was determined by accelerated thermal degradation test, that is, incubate the protein at 37°C for 48h, and no obvious degradation and precipitation were observed. The loss rate is less than 5% within the expiration date under appropriate storage condition.

    Beschränkungen

    Nur für Forschungszwecke einsetzbar
  • Format

    Liquid

    Konzentration

    1 mg/mL

    Buffer

    0.01M PBS, pH 7.4, containing 0.05 % Proclin-300, 50 % glycerol.

    Konservierungsmittel

    ProClin

    Vorsichtsmaßnahmen

    This product contains ProClin: a POISONOUS AND HAZARDOUS SUBSTANCE which should be handled by trained staff only.

    Lagerung

    4 °C,-20 °C

    Informationen zur Lagerung

    Store at 4°C for frequent use. Stored at -20°C in a manual defrost freezer for two year without detectable loss of activity. Avoid repeated freeze-thaw cycles.

    Haltbarkeit

    24 months
  • Target

    Aspartate beta Hydroxylase (ASPH) (Aspartate beta-Hydroxylase (ASPH))

    Andere Bezeichnung

    ASPH

    Hintergrund

    BAH, CASQ2BP1, HAAH, JCTN, Junctin, Humbug, Junctate, Aspartyl/Asparaginyl Beta-Hydroxylase, Peptide-aspartate beta-dioxygenase

    UniProt

    Q12797

    Pathways

    Positive Regulation of Endopeptidase Activity
Sie sind hier:
Chat with us!