Telefon:
+49 (0)241 95 163 153
Fax:
+49 (0)241 95 163 155
E-Mail:
orders@antikoerper-online.de

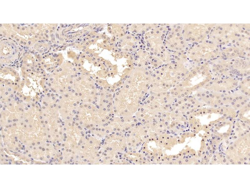
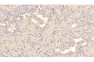
MSRA Antikörper (AA 27-235)

Der Maus Monoklonal anti-MSRA Antikörper wird verwendet zum Nachweis von MSRA in Proben von Human. Er wurde validiert für WB, IHC, ICC und IP.
Produktnummer ABIN7427570
323,97 €
Zzgl. Versandkosten 20,00 € und MwSt
Lieferung nach: Deutschland
Lieferung in 11 bis 15 Werktagen

Kurzübersicht für MSRA Antikörper (AA 27-235) (ABIN7427570)

Target

Alle MSRA Antikörper anzeigen
MSRA (Methionine Sulfoxide Reductase A (MSRA))

Reaktivität

  • 38
  • 11
  • 8
  • 4
  • 4
  • 3
  • 3
  • 3
  • 2
  • 2
  • 2
  • 1
  • 1
  • 1
  • 1
Human

Wirt

  • 31
  • 8
Maus

Klonalität

  • 32
  • 7
Monoklonal

Konjugat

  • 30
  • 1
  • 1
  • 1
  • 1
  • 1
  • 1
  • 1
  • 1
  • 1
Dieser MSRA Antikörper ist unkonjugiert

Applikation

  • 27
  • 14
  • 13
  • 7
  • 5
  • 4
  • 4
  • 3
  • 2
  • 2
Western Blotting (WB), Immunohistochemistry (IHC), Immunocytochemistry (ICC), Immunoprecipitation (IP)

Klon

C13
  • Bindungsspezifität

    • 6
    • 4
    • 4
    • 2
    • 2
    • 2
    • 2
    • 1
    • 1
    • 1
    • 1
    • 1
    AA 27-235

    Verwendungszweck

    Monoclonal Antibody to Methionine Sulfoxide Reductase A (MSRA)

    Spezifität

    The antibody is a mouse monoclonal antibody raised against MSRA. It has been selected for its ability to recognize MSRA in immunohistochemical staining and western blotting.

    Kreuzreaktivität

    Schwein

    Aufreinigung

    Protein A + Protein G affinity chromatography

    Immunogen

    Recombinant Methionine Sulfoxide Reductase A (MSRA) corresdonding to Ala27~Lys235 with N-terminal His Tag

    Isotyp

    IgG2a kappa
  • Applikationshinweise

    Western blotting: 0.01-2 μg/mL,Immunohistochemistry: 5-20 μg/mL,Immunocytochemistry: 5-20 μg/mL,Optimal working dilutions must be determined by end user.

    Kommentare

    The thermal stability is described by the loss rate. The loss rate was determined by accelerated thermal degradation test, that is, incubate the protein at 37°C for 48h, and no obvious degradation and precipitation were observed. The loss rate is less than 5% within the expiration date under appropriate storage condition.

    Beschränkungen

    Nur für Forschungszwecke einsetzbar
  • Format

    Liquid

    Konzentration

    1 mg/mL

    Buffer

    0.01M PBS, pH 7.4, containing 0.05 % Proclin-300, 50 % glycerol.

    Konservierungsmittel

    ProClin

    Vorsichtsmaßnahmen

    This product contains ProClin: a POISONOUS AND HAZARDOUS SUBSTANCE which should be handled by trained staff only.

    Lagerung

    4 °C,-20 °C

    Informationen zur Lagerung

    Store at 4°C for frequent use. Stored at -20°C in a manual defrost freezer for two year without detectable loss of activity. Avoid repeated freeze-thaw cycles.

    Haltbarkeit

    24 months
  • Target

    MSRA (Methionine Sulfoxide Reductase A (MSRA))

    Andere Bezeichnung

    MSRA

    Hintergrund

    PMSR, Peptide Methionine Sulfoxide Reductase, Protein-methionine-S-oxide reductase

    UniProt

    Q9UJ68
Sie sind hier:
Chat with us!