Telefon:
+49 (0)241 95 163 153
Fax:
+49 (0)241 95 163 155
E-Mail:
orders@antikoerper-online.de

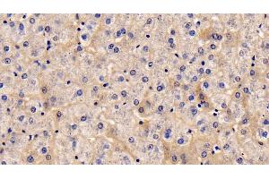
Thymic Stromal Lymphopoietin Antikörper (AA 29-159)

Der Maus Monoklonal anti-Thymic Stromal Lymphopoietin Antikörper (Klon D12) (ABIN7426262) detektiert spezifisch Thymic Stromal Lymphopoietin in WB, IHC, IP und ICC. Dieser Antikörper reagiert spezifisch mit Proben aus Human.
Produktnummer ABIN7426262
270,55 €
Zzgl. Versandkosten 20,00 € und MwSt
Lieferung nach: Deutschland
Lieferung in 11 bis 15 Werktagen

Kurzübersicht für Thymic Stromal Lymphopoietin Antikörper (AA 29-159) (ABIN7426262)

Target

Alle Thymic Stromal Lymphopoietin (TSLP) Antikörper anzeigen
Thymic Stromal Lymphopoietin (TSLP)

Reaktivität

  • 59
  • 11
  • 10
  • 2
  • 1
  • 1
Human

Wirt

  • 49
  • 16
  • 5
  • 3
  • 2
Maus

Klonalität

  • 49
  • 22
  • 2
Monoklonal

Konjugat

  • 44
  • 9
  • 4
  • 3
  • 3
  • 3
  • 1
  • 1
  • 1
  • 1
  • 1
  • 1
  • 1
Dieser Thymic Stromal Lymphopoietin Antikörper ist unkonjugiert

Applikation

  • 41
  • 22
  • 13
  • 6
  • 6
  • 5
  • 4
  • 4
  • 3
  • 3
  • 3
  • 1
  • 1
  • 1
  • 1
  • 1
  • 1
  • 1
  • 1
  • 1
Western Blotting (WB), Immunohistochemistry (IHC), Immunoprecipitation (IP), Immunocytochemistry (ICC)

Klon

D12
  • Bindungsspezifität

    • 10
    • 7
    • 5
    • 3
    • 1
    • 1
    • 1
    • 1
    • 1
    • 1
    • 1
    • 1
    • 1
    AA 29-159

    Verwendungszweck

    Monoclonal Antibody to Thymic Stromal Lymphopoietin (TSLP)

    Spezifität

    The antibody is a mouse monoclonal antibody raised against TSLP. It has been selected for its ability to recognize TSLP in immunohistochemical staining and western blotting.

    Kreuzreaktivität

    Schwein

    Aufreinigung

    Protein A + Protein G affinity chromatography

    Immunogen

    Recombinant Thymic Stromal Lymphopoietin (TSLP) corresdonding to Tyr29~Gln159 with N-terminal His Tag

    Isotyp

    IgG1 kappa
  • Applikationshinweise

    Western blotting: 0.01-2 μg/mL,Immunohistochemistry: 5-20 μg/mL,Immunocytochemistry: 5-20 μg/mL,Optimal working dilutions must be determined by end user.

    Kommentare

    The thermal stability is described by the loss rate. The loss rate was determined by accelerated thermal degradation test, that is, incubate the protein at 37°C for 48h, and no obvious degradation and precipitation were observed. The loss rate is less than 5% within the expiration date under appropriate storage condition.

    Beschränkungen

    Nur für Forschungszwecke einsetzbar
  • Format

    Liquid

    Konzentration

    0.61 mg/mL

    Buffer

    PBS, pH 7.4, containing 0.02 % Sodium azide, 50 % glycerol.

    Konservierungsmittel

    Sodium azide

    Vorsichtsmaßnahmen

    This product contains Sodium azide: a POISONOUS AND HAZARDOUS SUBSTANCE which should be handled by trained staff only.

    Lagerung

    4 °C,-20 °C

    Informationen zur Lagerung

    Store at 4°C for frequent use. Stored at -20°C in a manual defrost freezer for two year without detectable loss of activity. Avoid repeated freeze-thaw cycles.

    Haltbarkeit

    24 months
  • Target

    Thymic Stromal Lymphopoietin (TSLP)

    Andere Bezeichnung

    TSLP

    UniProt

    Q969D9
Sie sind hier:
Chat with us!