Telefon:
+49 (0)241 95 163 153
Fax:
+49 (0)241 95 163 155
E-Mail:
orders@antikoerper-online.de

Rekombinanter WT1 Antikörper

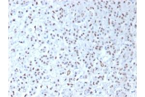
Der Kaninchen Monoklonal anti-WT1 Antikörper (Klon WT1-1434R) (ABIN6940905) detektiert spezifisch WT1 in IHC und StM. Dieser Antikörper reagiert spezifisch mit Proben aus Human.
Produktnummer ABIN6940905
639,45 €
Zzgl. Versandkosten 20,00 € und MwSt
Lieferung nach: Deutschland
Lieferung in 6 bis 10 Werktagen

Kurzübersicht für Rekombinanter WT1 Antikörper (ABIN6940905)

Target

Alle WT1 Antikörper anzeigen
WT1 (Wilms Tumor 1 (WT1))

Antikörpertyp

Recombinant Antibody

Reaktivität

  • 176
  • 83
  • 71
  • 17
  • 5
  • 4
  • 4
  • 3
  • 2
  • 2
  • 1
  • 1
  • 1
Human

Wirt

  • 107
  • 72
  • 1
Kaninchen

Klonalität

  • 109
  • 71
Monoklonal

Konjugat

  • 86
  • 11
  • 6
  • 6
  • 6
  • 6
  • 6
  • 6
  • 5
  • 5
  • 4
  • 3
  • 2
  • 2
  • 2
  • 2
  • 2
  • 2
  • 2
  • 2
  • 1
  • 1
  • 1
  • 1
  • 1
  • 1
  • 1
  • 1
  • 1
  • 1
  • 1
  • 1
  • 1
  • 1
Dieser WT1 Antikörper ist unkonjugiert

Applikation

  • 100
  • 93
  • 87
  • 81
  • 34
  • 22
  • 21
  • 20
  • 14
  • 13
  • 11
  • 9
  • 4
  • 3
  • 1
  • 1
  • 1
  • 1
  • 1
Immunohistochemistry (IHC), Staining Methods (StM)

Klon

WT1-1434R
  • Spezifität

    Recognizes a 47-55 kDa-tumor suppressor protein, identified as Wilm's Tumor (WT1) protein. The antibody reacts with all isoforms of the full-length WT1 and also identifies WT1 lacking exon 2-encoded amino acids, frequently found in subsets of sporadic Wilm's tumors.WT1, a sporadic and familial pediatric kidney tumor, is genetically heterogeneous. Wilm's tumor is associated with mutations of WT1, a zinc-finger transcription factor that is essential for the development of the metanephric kidney and the urogenital system. The WT1 gene is normally expressed in fetal kidney and mesothelium, and its expression has been suggested as a marker for Wilm's tumor and mesothelioma. WT1 protein has been identified in proliferative mesothelial cells, malignant mesothelioma, ovarian carcinoma, gonadoblastoma, nephroblastoma, and desmoplastic small round cell tumor. Lung adenocarcinomas rarely stain positive with this antibody. WT1 protein expression in mesothelial cells has become a reliable marker for the diagnosis of mesotheliomas.

    Aufreinigung

    Purified by Protein A/G

    Immunogen

    Recombinant human full-length WT1 protein

    Isotyp

    IgG
  • Applikationshinweise

    Positive Control: K562 cells. Wilm's Tumor, mesothelioma or fetal kidney.

    Known Application: Immunohistochemistry (Formalin-fixed) (1-2 μg/mL for 30 minutes at RT)Staining of formalin-fixed tissues requires boiling tissue sections in 10 mM Citrate Buffer, pH 6.0, for 10-20 min followed by cooling at RT for 20 minutes)Optimal dilution for a specific application should be determined.

    Beschränkungen

    Nur für Forschungszwecke einsetzbar
  • Konzentration

    200 μg/mL

    Buffer

    10 mM PBS with 0.05 % BSA & 0.05 % azide.

    Konservierungsmittel

    Sodium azide

    Vorsichtsmaßnahmen

    This product contains Sodium azide: a POISONOUS AND HAZARDOUS SUBSTANCE which should be handled by trained staff only.

    Lagerung

    4 °C,-80 °C

    Informationen zur Lagerung

    Antibody with azide - store at 2 to 8°C. Antibody without azide - store at -20 to -80°C. Antibody is stable for 24 months. Non-hazardous. No MSDS required.

    Haltbarkeit

    24 months
  • Target

    WT1 (Wilms Tumor 1 (WT1))

    Andere Bezeichnung

    WT1

    Molekulargewicht

    47-55kDa

    Gen-ID

    7490

    UniProt

    P19544

    Pathways

    Tube Formation
Sie sind hier:
Chat with us!