Telefon:
+49 (0)241 95 163 153
Fax:
+49 (0)241 95 163 155
E-Mail:
orders@antikoerper-online.de

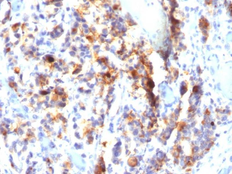
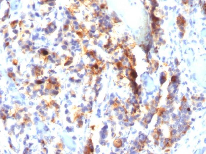
MUC5AC Antikörper

Der Maus Monoklonal anti-MUC5AC Antikörper (Klon SPM297) (ABIN6940129) detektiert spezifisch MUC5AC in IHC, IF, FACS und StM. Dieser Antikörper reagiert spezifisch mit Proben aus Human, Maus, Ratte, Affe, Cat, Kaninchen, Huhn, Schwein und Hedgehog.
Produktnummer ABIN6940129
639,45 €
Zzgl. Versandkosten 20,00 € und MwSt
Lieferung nach: Deutschland
Lieferung in 6 bis 10 Werktagen

Kurzübersicht für MUC5AC Antikörper (ABIN6940129)

Target

Alle MUC5AC Antikörper anzeigen
MUC5AC (Mucin 5AC, Oligomeric Mucus/gel-Forming (MUC5AC))

Reaktivität

  • 140
  • 79
  • 66
  • 39
  • 38
  • 37
  • 35
  • 24
  • 23
  • 16
  • 1
  • 1
Human, Maus, Ratte, Affe, Cat, Kaninchen, Huhn, Schwein, Hedgehog

Wirt

  • 81
  • 81
  • 1
Maus

Klonalität

  • 102
  • 61
Monoklonal

Konjugat

  • 69
  • 18
  • 9
  • 4
  • 4
  • 4
  • 4
  • 4
  • 4
  • 4
  • 3
  • 3
  • 3
  • 3
  • 3
  • 3
  • 2
  • 2
  • 2
  • 2
  • 2
  • 1
  • 1
  • 1
  • 1
  • 1
  • 1
  • 1
  • 1
  • 1
  • 1
  • 1
Dieser MUC5AC Antikörper ist unkonjugiert

Applikation

  • 85
  • 83
  • 49
  • 35
  • 29
  • 29
  • 22
  • 19
  • 18
  • 18
  • 13
  • 13
  • 12
  • 12
  • 5
  • 4
  • 2
  • 2
  • 1
  • 1
Immunohistochemistry (IHC), Immunofluorescence (IF), Flow Cytometry (FACS), Staining Methods (StM)

Klon

SPM297
  • Spezifität

    This MAb recognizes the peptide core of gastric mucin M1 (1,000 kDa) (recently identified as Mucin 5AC). Its epitope is destroyed by beta-mercaptoethanol and proteases but not by periodate treatment. Antibody to gastric mucin M1 reacts with the gastric epithelium of normal human gastrointestinal tract as well as with the precancerous and cancerous colon but not with normal adult colon. It also reacts with fetal colonic mucosa. Resurgence of gastric mucin reactivity during colonic carcinogenesis is due to re-expression of the peptide core of gastric (or fetal colonic) mucins.

    Keine Kreuzreaktivität

    Rind (Kuh)

    Aufreinigung

    Purified by Protein A/G

    Immunogen

    M1 mucin preparation from the fluid of an ovarian mucinous cyst belonging to an O Le(a-b) patient

    Isotyp

    IgG1 kappa
  • Applikationshinweise

    Positive Control: Human colon or stomach (IHC).

    Known Application: Flow Cytometry (0.5-1 μg/million cells), Immunofluorescence (1-2 μg/mL), Immunohistochemistry (Formalin-fixed) (0.5-1 μg/mL for 30 minutes at RT)(Staining of formalin-fixed tissues requires boiling tissue sections in 10 mM citrate buffer, pH 6.0, for 10-20 min followed by cooling at RT for 20 minutes)Optimal dilution for a specific application should be determined.

    Beschränkungen

    Nur für Forschungszwecke einsetzbar
  • Konzentration

    200 μg/mL

    Buffer

    10 mM PBS with 0.05 % BSA & 0.05 % azide.

    Konservierungsmittel

    Sodium azide

    Vorsichtsmaßnahmen

    This product contains Sodium azide: a POISONOUS AND HAZARDOUS SUBSTANCE which should be handled by trained staff only.

    Lagerung

    4 °C,-80 °C

    Informationen zur Lagerung

    Antibody with azide - store at 2 to 8°C. Antibody without azide - store at -20 to -80°C. Antibody is stable for 24 months. Non-hazardous. No MSDS required.

    Haltbarkeit

    24 months
  • Target

    MUC5AC (Mucin 5AC, Oligomeric Mucus/gel-Forming (MUC5AC))

    Andere Bezeichnung

    MUC5AC

    Molekulargewicht

    >1,000kDa

    Gen-ID

    4586

    UniProt

    P98088
Sie sind hier:
Chat with us!