Telefon:
+49 (0)241 95 163 153
Fax:
+49 (0)241 95 163 155
E-Mail:
orders@antikoerper-online.de

Desmocollin 2 Antikörper (Extracellular Domain)

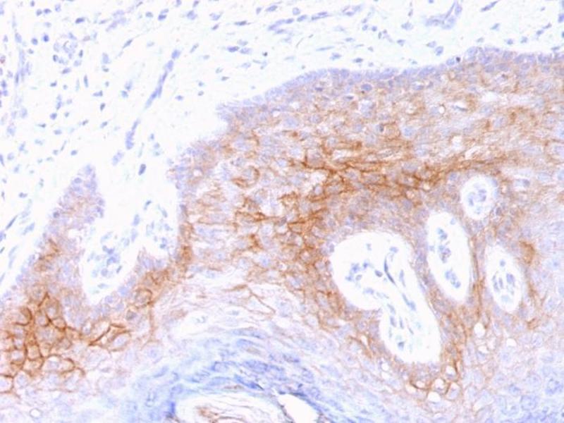
Der Maus Monoklonal anti-Desmocollin 2 Antikörper wird verwendet zum Nachweis von Desmocollin 2 in Proben von Human, Maus und Ratte. Er wurde validiert für WB, IHC, IF, FACS und StM.
Produktnummer ABIN6939250
639,45 €
Zzgl. Versandkosten 20,00 € und MwSt
Lieferung nach: Deutschland
Lieferung in 6 bis 10 Werktagen

Kurzübersicht für Desmocollin 2 Antikörper (Extracellular Domain) (ABIN6939250)

Target

Alle Desmocollin 2 (DSC2) Antikörper anzeigen
Desmocollin 2 (DSC2)

Reaktivität

Human, Maus, Ratte

Wirt

  • 20
  • 10
  • 2
Maus

Klonalität

  • 24
  • 8
Monoklonal

Konjugat

  • 25
  • 1
  • 1
  • 1
  • 1
  • 1
  • 1
  • 1
Dieser Desmocollin 2 Antikörper ist unkonjugiert

Applikation

  • 17
  • 12
  • 8
  • 3
  • 2
  • 2
  • 2
  • 1
  • 1
  • 1
  • 1
Western Blotting (WB), Immunohistochemistry (IHC), Immunofluorescence (IF), Flow Cytometry (FACS), Staining Methods (StM)

Klon

7G6
  • Bindungsspezifität

    • 4
    • 3
    • 2
    • 2
    • 2
    • 1
    • 1
    • 1
    • 1
    • 1
    • 1
    • 1
    Extracellular Domain

    Aufreinigung

    Purified by Protein A/G

    Immunogen

    Human desmocollin-2 extracellular domain

    Isotyp

    IgG1 kappa
  • Applikationshinweise

    Positive Control: HeLa cells. Skin tissue.

    Known Application: Flow Cytometry (0.5-1 μg/million cells), Immunofluorescence (1-2 μg/mL), Western Blot (0.5-1.0 μg/mL), Immunohistochemistry (Formalin-fixed) (1-2 μg/mL for 30 minutes at RT)(Staining of formalin-fixed tissues requires boiling tissue sections in 10 mM Tris with 1 mM EDTA, pH 9.0, for 10-20 min followed by cooling at RT for 20 minutes)Optimal dilution for a specific application should be determined.

    Beschränkungen

    Nur für Forschungszwecke einsetzbar
  • Konzentration

    200 μg/mL

    Buffer

    10 mM PBS with 0.05 % BSA & 0.05 % azide.

    Konservierungsmittel

    Sodium azide

    Vorsichtsmaßnahmen

    This product contains Sodium azide: a POISONOUS AND HAZARDOUS SUBSTANCE which should be handled by trained staff only.

    Lagerung

    4 °C,-80 °C

    Informationen zur Lagerung

    Antibody with azide - store at 2 to 8°C. Antibody without azide - store at -20 to -80°C. Antibody is stable for 24 months. Non-hazardous. No MSDS required.

    Haltbarkeit

    24 months
  • Target

    Desmocollin 2 (DSC2)

    Andere Bezeichnung

    DSC2

    Hintergrund

    Desmosomes are intercellular adhering junctions that represent cell surface attachment sites for intermediate filament. The desmosome is subdivided into two regions. The plaque region lies adjacent to the plasma, and is believed to contain molecules that attach the intermediate filament cytoskeleton to the desmosome. The core region is composed of transmembrane glycoproteins that are thought to mediate cell-cell adhesion. Desmogleins and desmocollins are the main desmosomal transmembrane proteins. These desmosomal glycoproteins belong to the members of the cadherin family of adhesion molecules. Three different isoforms of both desmogleins and desmocollins have been identified, named as desmoglein 1-3 and desmocollins. Desmosomal cadherins showed differentiation-specific expression in the human epidermis, although the functional significance of this differential expression is not fully understood. Desmocollin-1 can be found in the upper layers. The expression of desmocollin-2 varies in the basal and suprabasal layers. And desmocollin-3 is expressed more evenly throughout the suprabasal layers.

    Molekulargewicht

    110kDa (DSC2), 100kDa (DSC3)

    Gen-ID

    1824

    UniProt

    Q02487
Sie sind hier:
Chat with us!