Telefon:
+49 (0)241 95 163 153
Fax:
+49 (0)241 95 163 155
E-Mail:
orders@antikoerper-online.de

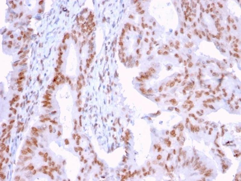
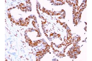
DMC1 Antikörper

Dieser Maus Monoklonal Antikörper detektiert spezifisch DMC1 in WB, IHC und IF. Es zeigt Reaktivität gegenüber Proben von Human, Maus, Ratte und Rind (Kuh).
Produktnummer ABIN6939141
639,45 €
Zzgl. Versandkosten 20,00 € und MwSt
Lieferung nach: Deutschland
Lieferung in 6 bis 10 Werktagen

Kurzübersicht für DMC1 Antikörper (ABIN6939141)

Target

Alle DMC1 Antikörper anzeigen
DMC1 (DNA Meiotic Recombinase 1 (DMC1))

Reaktivität

  • 66
  • 19
  • 15
  • 14
  • 2
  • 2
  • 2
  • 2
  • 1
  • 1
  • 1
  • 1
  • 1
  • 1
Human, Maus, Ratte, Rind (Kuh)

Wirt

  • 49
  • 17
Maus

Klonalität

  • 50
  • 16
Monoklonal

Konjugat

  • 33
  • 5
  • 4
  • 3
  • 2
  • 1
  • 1
  • 1
  • 1
  • 1
  • 1
  • 1
  • 1
  • 1
  • 1
  • 1
  • 1
  • 1
  • 1
  • 1
  • 1
  • 1
  • 1
  • 1
Dieser DMC1 Antikörper ist unkonjugiert

Applikation

  • 48
  • 31
  • 28
  • 13
  • 13
  • 13
  • 10
  • 8
  • 7
  • 3
  • 2
  • 2
  • 1
Western Blotting (WB), Immunohistochemistry (IHC), Immunofluorescence (IF)

Klon

2H12-4
  • Verwendungszweck

    DMC1 Antibody

    Spezifität

    DNA repair proteins are necessary for the maintenance of chromosome integrity and are involved in the elimination of premutagenic lesions from DNA. The DNA repair proteins Rad51 and Rad52 are key components of the doublestrand-break repair (DSBR) pathway. Rad51 is essential for mitotic and meiotic recombination, and its mutation in yeast and mammalian cells results in chromosome loss. Overexpression of Rad52 confers resistance to ionizing radiation and induces homologous intrachromosomal recombination. Rad52 is thought to be involved in an early stage of Rad51-mediated recombination. Additional proteins involved in the pathway include Nibrin and Dmc1. Nibrin, which complexes with Mre11 and Rad50, is absent in Nijemegen breakage syndrome (NBS) patients. Dmc1 is specifically involved in meiotic recombination. An alternative spliced form of Dmc1, designated Dmc1-D, is deleted for a region between the two motifs involved in nucleotide binding. The alternatively spliced Dmc1-D transcript is detected in both male and female germ cells, indicating that the encoded protein may have a role in mammalian genetic recombination in meiosis.

    Aufreinigung

    200ug/ml of Ab Purified from Bioreactor Concentrate by Protein A/G.

    Immunogen

    Recombinant full-length human DMC1 protein.

    Isotyp

    IgG2a, kappa
  • Applikationshinweise

    Positive Control: HeLa cells. Cervix or prostate.

    Known Application: Immunofluorescence (0.5-1 μg/mL), Western Blot (0.5-1.0 μg/mL), Immunohistochemistry (Formalin-fixed) (1-2 μg/mL for 30 minutes at RT)(Staining of formalin-fixed tissues requires boiling tissue sections in 10 mM citrate buffer, pH 6.0, for 10-20 min followed by cooling at RT for 20 minutes)Optimal dilution for a specific application should be determined.

    Beschränkungen

    Nur für Forschungszwecke einsetzbar
  • Konzentration

    200 μg/mL

    Buffer

    Prepared in 10 mM PBS with 0.05 % BSA & 0.05 % azide.

    Konservierungsmittel

    Sodium azide

    Vorsichtsmaßnahmen

    This product contains Sodium azide: a POISONOUS AND HAZARDOUS SUBSTANCE which should be handled by trained staff only.

    Lagerung

    4 °C

    Informationen zur Lagerung

    Antibody with azide - store at 2 to 8°C. Antibody without azide - store at -20 to -80°C. Antibody is stable for 24 months. Non-hazardous. No MSDS required.

    Haltbarkeit

    24 months
  • Target

    DMC1 (DNA Meiotic Recombinase 1 (DMC1))

    Andere Bezeichnung

    DMC1

    Hintergrund

    Disrupted meiotic cDNA 1 homolog, dJ199H16.1, DMC1 dosage suppressor of mck1 homolog, DMC1H, DNA meiotic recombinase 1, HsLim15, LIM15, Meiotic recombination protein DMC1/LIM15 homolog, MGC150472, MGC150473

    HeLa cells. Cervix or prostate.

    Molekulargewicht

    37kDa

    Gen-ID

    11144, 339396

    UniProt

    Q14565
Sie sind hier:
Chat with us!