Telefon:
+49 (0)241 95 163 153
Fax:
+49 (0)241 95 163 155
E-Mail:
orders@antikoerper-online.de

FAF1 Antikörper

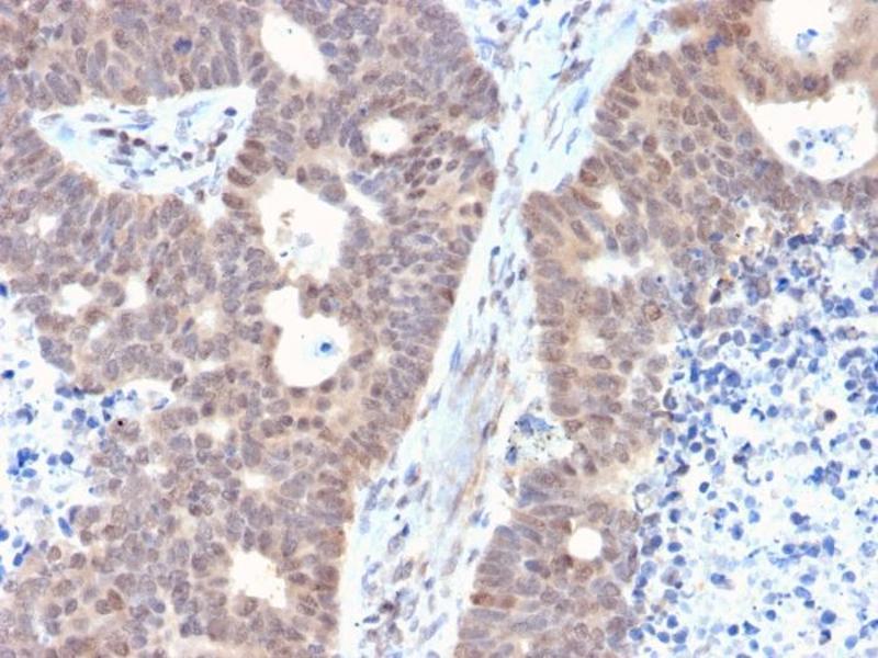
Der Maus Monoklonal anti-FAF1 Antikörper (Klon CPTC-FAF1-2) (ABIN6939120) detektiert spezifisch FAF1 in WB und IHC (f). Dieser Antikörper reagiert spezifisch mit Proben aus Human.
Produktnummer ABIN6939120
639,45 €
Zzgl. Versandkosten 20,00 € und MwSt
Lieferung nach: Deutschland
Lieferung in 6 bis 10 Werktagen

Kurzübersicht für FAF1 Antikörper (ABIN6939120)

Target

Alle FAF1 Antikörper anzeigen
FAF1 (Fas (TNFRSF6) Associated Factor 1 (FAF1))

Reaktivität

  • 76
  • 31
  • 31
  • 3
  • 2
  • 2
  • 2
  • 2
  • 1
Human

Wirt

  • 53
  • 23
Maus

Klonalität

  • 55
  • 21
Monoklonal

Konjugat

  • 41
  • 3
  • 3
  • 2
  • 1
  • 1
  • 1
  • 1
  • 1
  • 1
  • 1
  • 1
  • 1
  • 1
  • 1
  • 1
  • 1
  • 1
  • 1
  • 1
  • 1
  • 1
  • 1
  • 1
  • 1
  • 1
  • 1
  • 1
  • 1
  • 1
  • 1
Dieser FAF1 Antikörper ist unkonjugiert

Applikation

  • 62
  • 20
  • 16
  • 16
  • 13
  • 13
  • 12
  • 8
  • 7
  • 5
  • 3
  • 3
  • 1
  • 1
Western Blotting (WB), Immunohistochemistry (Formalin-fixed Sections) (IHC (f))

Klon

CPTC-FAF1-2
  • Spezifität

    In contrast to growth factors which promote cell proliferation, FAS ligand (FAS-L) and the tumor necrosis factors (TNFs) rapidly induce apoptosis. Cellular response to FAS-L and TNF is mediated by structurally related receptors containing a conserved 'death domain' and belonging to the TNF receptor superfamily. TRADD, FADD and RIP are FAS/TNF-RI interacting proteins that contain a death domain homologous region (DDH). TRADD (TNF-RI-associated death domain) and FADD (FAS-associated death domain) associate with the death domains of both FAS and TNF-RI via their DDH regions, while RIP associates exclusively with FAS. An additional FAS interacting protein designated FAF1, for FAS-associated protein factor-1, binds with the cytoplasmic tail of wildtype but not LPR mutant FAS. When overexpressed in cells, FAF1 enhances the efficiency of FAS-mediated apoptosis. In contrast to TRADD, FADD and RIP, FAF1 lacks a DDH and cannot induce apoptosis independently of FAS activation.

    Kreuzreaktivität (Details)

    Human,

    Aufreinigung

    200ug/ml of Ab Purified from Bioreactor Concentrate by Protein A/G.

    Immunogen

    Recombinant human full-length FAF1 protein

    Isotyp

    IgG2b
  • Applikationshinweise

    Positive Control: HEK293, MCF-7, HeLa whole cell lysate. Human testis, prostate, breast carcinoma or colon carcinoma.

    Known Application: Western Blot (1-2 μg/mL),Immunohistochemistry (Formalin-fixed) (1-2 μg/mL for 30 min at RT)(Staining of formalin-fixed tissues requires heating tissue sections in 10 mM Tris with 1 mM EDTA, pH 9.0, for 45 min at 95°C followed by cooling at RT for 20 minutes), Optimal dilution for a specific application should be determined.

    Beschränkungen

    Nur für Forschungszwecke einsetzbar
  • Konzentration

    200 μg/mL

    Buffer

    Prepared in 10 mM PBS with 0.05 % BSA and 0.05 % azide.

    Konservierungsmittel

    Sodium azide

    Vorsichtsmaßnahmen

    This product contains Sodium azide: a POISONOUS AND HAZARDOUS SUBSTANCE which should be handled by trained staff only.

    Lagerung

    4 °C,-80 °C

    Informationen zur Lagerung

    Antibody with azide - store at 2 to 8 °C. Antibody is stable for 24 months. Non-hazardous. Also available WITHOUT BSA & azide at 1.0mg/ml.

    Haltbarkeit

    24 months
  • Target

    FAF1 (Fas (TNFRSF6) Associated Factor 1 (FAF1))

    Andere Bezeichnung

    FAF1

    Hintergrund

    CGI-03, FAS-associated factor 1, HFAF1s, UBX domain-containing protein 12, UBX domain-containing protein 3A,Fas (TNFRSF6) associated factor 1
    Cellular localisation: Nucleus.

    Molekulargewicht

    75-80kDa

    Gen-ID

    11124, 530402

    UniProt

    Q9UNN5

    Pathways

    Maintenance of Protein Location
Sie sind hier:
Chat with us!