Telefon:
+49 (0)241 95 163 153
Fax:
+49 (0)241 95 163 155
E-Mail:
orders@antikoerper-online.de

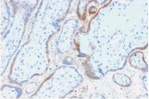
Rekombinanter CGB Antikörper

Der Maus Monoklonal anti-CGB Antikörper (Klon rHCGb-54) (ABIN6939107) detektiert spezifisch CGB in IHC. Dieser Antikörper reagiert spezifisch mit Proben aus Human.
Produktnummer ABIN6939107
639,45 €
Zzgl. Versandkosten 20,00 € und MwSt
Lieferung nach: Deutschland
Lieferung in 6 bis 10 Werktagen

Kurzübersicht für Rekombinanter CGB Antikörper (ABIN6939107)

Target

Alle CGB Antikörper anzeigen
CGB (Chorionic Gonadotropin, beta Polypeptide (CGB))

Antikörpertyp

Recombinant Antibody

Reaktivität

  • 90
  • 3
  • 2
  • 1
  • 1
  • 1
Human

Wirt

  • 45
  • 38
  • 6
  • 2
Maus

Klonalität

  • 46
  • 45
Monoklonal

Konjugat

  • 57
  • 7
  • 6
  • 5
  • 4
  • 4
  • 1
  • 1
  • 1
  • 1
  • 1
  • 1
  • 1
  • 1
Dieser CGB Antikörper ist unkonjugiert

Applikation

  • 50
  • 38
  • 26
  • 6
  • 6
  • 6
  • 4
  • 3
  • 3
  • 2
  • 2
  • 1
  • 1
  • 1
Immunohistochemistry (IHC)

Klon

RHCGb-54
  • Verwendungszweck

    Recombinant HCG-beta (Pregnancy & Choriocarcinoma Marker) Antibody

    Spezifität

    This MAb reacts with a protein of 22 kDa, identified as beta sub-unit of HCG. It does not cross react with the alpha sub-unit. HCG is a glycoprotein, which is secreted in large quantities by normal trophoblasts. It is present only in trace amounts in non-pregnant urine and sera but rises sharply during pregnancy. HCG is composed of two non-identical, non-covalently linked polypeptide chains designated as the subunit is identical to that of thyroid stimulating hormone (TSH) follicle stimulating hormone (FSH), and luteinizing hormone (LH). hCG MAb detects cells and tumors of trophoblastic origin such as choriocarcinoma. Large cell carcinoma and adenocarcinoma of the lung demonstrate anti-hCG positivity in 90 % and 60 % of cases respectively. 20 % of lung squamous cell carcinomas are positive. hCG expression by non-trophoblastic tumors may indicate aggressive behavior.

    Kreuzreaktivität (Details)

    Human,

    Aufreinigung

    200ug/ml of Ab Purified from Bioreactor Concentrate by Protein A/G.

    Immunogen

    Recombinant full-length human hCG beta protein

    Isotyp

    IgG1, kappa
  • Applikationshinweise

    Positive Control: JAR or TT cells. Placenta.

    Known Application: Immunohistochemistry (Formalin-fixed) (1-2 μg/mL, 30 min RT) (Staining of formalin-fixed tissues requires heating tissue sections in 10 mM Tris with 1 mM EDTA, pH 9.0, for 45 min at 95°C followed by cooling at RT for 20 minutes), Optimal dilution for a specific application should be determined.

    Beschränkungen

    Nur für Forschungszwecke einsetzbar
  • Konzentration

    200 μg/mL

    Buffer

    Prepared in 10 mM PBS with 0.05 % BSA & 0.05 % azide.

    Konservierungsmittel

    Sodium azide

    Vorsichtsmaßnahmen

    This product contains Sodium azide: a POISONOUS AND HAZARDOUS SUBSTANCE which should be handled by trained staff only.

    Lagerung

    4 °C

    Informationen zur Lagerung

    Antibody with azide - store at 2 to 8°C. Antibody without azide - store at -20 to -80°C. Antibody is stable for 24 months. Non-hazardous. No MSDS required.

    Haltbarkeit

    24 months
  • Target

    CGB (Chorionic Gonadotropin, beta Polypeptide (CGB))

    Andere Bezeichnung

    CGB

    Hintergrund

    CG-beta, CGB3, CGB5, CGB7, CGB8, Choriogonadotropin Subunit beta, hCGB

    JAR or TT cells. Placenta.

    Molekulargewicht

    22kDa

    Gen-ID

    1082, 172944

    UniProt

    P01233
Sie sind hier:
Chat with us!