Telefon:
+49 (0)241 95 163 153
Fax:
+49 (0)241 95 163 155
E-Mail:
orders@antikoerper-online.de

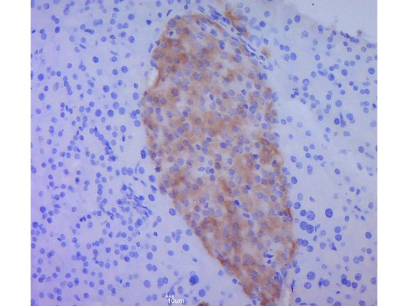
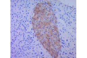
BMP4 Antikörper (AA 251-350)

Dieser Kaninchen Polyklonal Antikörper detektiert spezifisch BMP4 in WB, ELISA und IHC (p). Es zeigt Reaktivität gegenüber Proben von Maus und Schaf.Es wurde in 1 Publikation zitiert.
Produktnummer ABIN685642
357,70 €
Zzgl. Versandkosten 20,00 € und MwSt
100 μL
Lieferung nach: Deutschland
Lieferung in 8 bis 12 Werktagen

Kurzübersicht für BMP4 Antikörper (AA 251-350) (ABIN685642)

Target

Alle BMP4 Antikörper anzeigen
BMP4 (Bone Morphogenetic Protein 4 (BMP4))

Reaktivität

  • 81
  • 43
  • 37
  • 17
  • 11
  • 10
  • 8
  • 6
  • 5
  • 4
  • 4
  • 3
  • 3
  • 2
  • 1
Maus, Schaf

Wirt

  • 106
  • 25
  • 10
  • 1
  • 1
Kaninchen

Klonalität

  • 102
  • 41
Polyklonal

Konjugat

  • 69
  • 23
  • 11
  • 4
  • 3
  • 3
  • 3
  • 3
  • 3
  • 3
  • 3
  • 1
  • 1
  • 1
  • 1
  • 1
  • 1
  • 1
  • 1
  • 1
  • 1
  • 1
  • 1
  • 1
  • 1
  • 1
Dieser BMP4 Antikörper ist unkonjugiert

Applikation

  • 116
  • 56
  • 38
  • 38
  • 30
  • 20
  • 15
  • 12
  • 5
  • 2
  • 1
  • 1
  • 1
  • 1
  • 1
Western Blotting (WB), ELISA, Immunohistochemistry (Paraffin-embedded Sections) (IHC (p))
  • Bindungsspezifität

    • 12
    • 6
    • 6
    • 5
    • 5
    • 4
    • 4
    • 3
    • 3
    • 3
    • 2
    • 2
    • 2
    • 2
    • 2
    • 2
    • 2
    • 1
    • 1
    • 1
    • 1
    • 1
    • 1
    • 1
    • 1
    • 1
    • 1
    • 1
    AA 251-350

    Kreuzreaktivität

    Maus, Schaf

    Homologie

    Human,Rat

    Aufreinigung

    Purified by Protein A.

    Immunogen

    KLH conjugated synthetic peptide derived from rat BMP4

    Isotyp

    IgG
  • Applikationshinweise

    WB 1:300-5000
    ELISA 1:500-1000
    IHC-P 1:200-400

    Beschränkungen

    Nur für Forschungszwecke einsetzbar
  • Format

    Liquid

    Konzentration

    1 μg/μL

    Buffer

    0.01M TBS( pH 7.4) with 1 % BSA, 0.02 % Proclin300 and 50 % Glycerol.

    Konservierungsmittel

    ProClin

    Vorsichtsmaßnahmen

    This product contains ProClin: a POISONOUS AND HAZARDOUS SUBSTANCE, which should be handled by trained staff only.

    Lagerung

    4 °C,-20 °C

    Informationen zur Lagerung

    Shipped at 4°C. Store at -20°C for one year. Avoid repeated freeze/thaw cycles.

    Haltbarkeit

    12 months
  • Wang, Zhao, Wang: "Umbilical cord blood cells regulate the differentiation of endogenous neural stem cells in hypoxic ischemic neonatal rats via the hedgehog signaling pathway." in: Brain research, Vol. 1560, pp. 18-26, (2014) (PubMed).

  • Target

    BMP4 (Bone Morphogenetic Protein 4 (BMP4))

    Andere Bezeichnung

    BMP4

    Hintergrund

    Synonyms: BMP 4, BMP2B, BMP2B1, Bone morphogenetic protein 4, DVR4, ZYME, BMP4_HUMAN, BMP-4, Bone morphogenetic protein 2B, BMP-2B.

    Background: BMPs (bone morphogenetic proteins) belong to the TGF beta superfamily of structurally related signaling proteins. Members of this superfamily are widely represented throughout the animal kingdom and have been implicated in a variety of developmental processes. Proteins of the TGF beta superfamily are disulfide-linked dimers composed of two 12-15 kDa polypeptide chains. As implied by their name, BMPs initiate, promote and regulate bone development, growth, remodeling and repair. Smad1 translocation to the nucleus is observed after the addition of BMP4 (also designated BMP2B), suggesting that BMP4 may play a role in activation of the Smad pathway. BMP is secreted into the extracellular matrix.

    Pathways

    Steroid Hormone Mediated Signaling Pathway, Regulation of Muscle Cell Differentiation, Tube Formation, Skeletal Muscle Fiber Development
Sie sind hier:
Chat with us!