GCN2 Antikörper (pThr667)
Kurzübersicht für GCN2 Antikörper (pThr667) (ABIN684958)
Target
Alle GCN2 (EIF2AK4) Antikörper anzeigenReaktivität
Wirt
Klonalität
Konjugat
Applikation
-
-
Bindungsspezifität
- pThr667
-
Spezifität
- This phosphorylation site is homologous to Thr666 in Mouse and Thr667 in Rat.
-
Kreuzreaktivität
- Maus, Ratte
-
Homologie
- Human,Dog,Cow,Horse
-
Aufreinigung
- Purified by Protein A.
-
Immunogen
- KLH conjugated synthetic phosphopeptide derived from human GCN2 around the phosphorylation site of Thr667
-
Isotyp
- IgG
-
-
-
-
Applikationshinweise
-
WB 1:300-5000
ELISA 1:500-1000
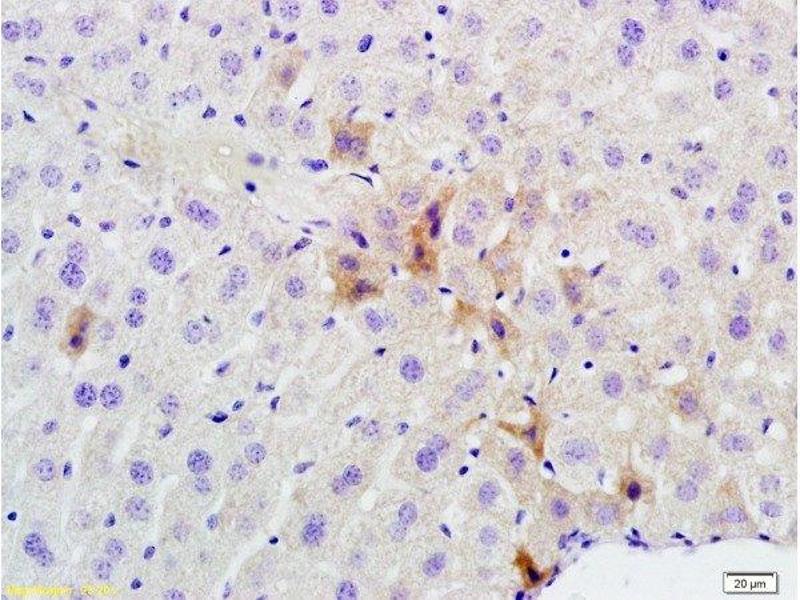
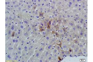
IHC-P 1:200-400
IHC-F 1:100-500
IF(IHC-P) 1:50-200
IF(IHC-F) 1:50-200
IF(ICC) 1:50-200 -
Beschränkungen
- Nur für Forschungszwecke einsetzbar
-
-
-
Format
- Liquid
-
Konzentration
- 1 μg/μL
-
Buffer
- 0.01M TBS( pH 7.4) with 1 % BSA, 0.02 % Proclin300 and 50 % Glycerol.
-
Konservierungsmittel
- ProClin
-
Vorsichtsmaßnahmen
- This product contains ProClin: a POISONOUS AND HAZARDOUS SUBSTANCE, which should be handled by trained staff only.
-
Lagerung
- 4 °C,-20 °C
-
Informationen zur Lagerung
- Shipped at 4°C. Store at -20°C for one year. Avoid repeated freeze/thaw cycles.
-
Haltbarkeit
- 12 months
-
-
- GCN2 (EIF2AK4) (Eukaryotic Translation Initiation Factor 2 alpha Kinase 4 (EIF2AK4))
-
Andere Bezeichnung
- GCN2
-
Hintergrund
-
Synonyms: GCN2, PVOD2, Eukaryotic translation initiation factor 2-alpha kinase 4, GCN2-like protein, EIF2AK4, KIAA1338
Background: GCN2 belongs to a family of kinases that phosphorylate the alpha subunit of eukaryotic translation initiation factor 2 to downregulate protein synthesis in response to varied cellular stresses.
-
Gen-ID
- 440275
-
UniProt
- Q9P2K8
-
Pathways
- ER-Nucleus Signaling, Hepatitis C
Target
-