Telefon:
+49 (0)241 95 163 153
Fax:
+49 (0)241 95 163 155
E-Mail:
orders@antikoerper-online.de

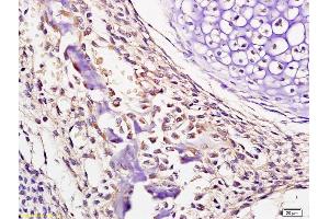
Fetuin A Antikörper (AA 201-300)

Dieser Kaninchen Polyklonal Antikörper detektiert spezifisch Fetuin A in WB, ELISA und IHC (p). Es zeigt Reaktivität gegenüber Proben von Maus.Es wurde in 1 Publikation zitiert.
Produktnummer ABIN681733
357,70 €
Zzgl. Versandkosten 20,00 € und MwSt
100 μL
Lieferung nach: Deutschland
Lieferung in 8 bis 12 Werktagen

Kurzübersicht für Fetuin A Antikörper (AA 201-300) (ABIN681733)

Target

Alle Fetuin A (AHSG) Antikörper anzeigen
Fetuin A (AHSG) (alpha-2-HS-Glycoprotein (AHSG))

Reaktivität

  • 104
  • 30
  • 23
  • 9
  • 4
  • 3
  • 2
  • 2
  • 1
  • 1
Maus

Wirt

  • 99
  • 23
  • 8
  • 4
  • 1
Kaninchen

Klonalität

  • 102
  • 31
Polyklonal

Konjugat

  • 75
  • 11
  • 7
  • 4
  • 3
  • 3
  • 3
  • 3
  • 3
  • 3
  • 3
  • 2
  • 2
  • 1
  • 1
  • 1
  • 1
  • 1
  • 1
  • 1
  • 1
  • 1
  • 1
  • 1
  • 1
  • 1
Dieser Fetuin A Antikörper ist unkonjugiert

Applikation

  • 91
  • 46
  • 39
  • 33
  • 21
  • 21
  • 17
  • 10
  • 9
  • 7
  • 6
  • 1
  • 1
  • 1
  • 1
Western Blotting (WB), ELISA, Immunohistochemistry (Paraffin-embedded Sections) (IHC (p))
  • Bindungsspezifität

    • 12
    • 10
    • 8
    • 7
    • 5
    • 5
    • 5
    • 4
    • 4
    • 2
    • 2
    • 1
    • 1
    • 1
    • 1
    • 1
    • 1
    • 1
    • 1
    • 1
    • 1
    • 1
    AA 201-300

    Kreuzreaktivität

    Maus

    Homologie

    Human,Rat,Dog,Cow,Sheep,Horse,Rabbit

    Aufreinigung

    Purified by Protein A.

    Immunogen

    KLH conjugated synthetic peptide derived from human Alpha-2-HS-glycoprotein chain A.

    Isotyp

    IgG
  • Applikationshinweise

    WB 1:300-5000
    ELISA 1:500-1000
    IHC-P 1:200-400

    Beschränkungen

    Nur für Forschungszwecke einsetzbar
  • Format

    Liquid

    Konzentration

    1 μg/μL

    Buffer

    0.01M TBS( pH 7.4) with 1 % BSA, 0.02 % Proclin300 and 50 % Glycerol.

    Konservierungsmittel

    ProClin

    Vorsichtsmaßnahmen

    This product contains ProClin: a POISONOUS AND HAZARDOUS SUBSTANCE, which should be handled by trained staff only.

    Lagerung

    4 °C,-20 °C

    Informationen zur Lagerung

    Shipped at 4°C. Store at -20°C for one year. Avoid repeated freeze/thaw cycles.

    Haltbarkeit

    12 months
  • Naito, Hashimoto, Watanabe, Shirai, Takahashi, Kojima, Watanabe, Sato, Iso, Matsuyama, Suzuki, Ishibashi-Ueda, Watanabe: "Facilitatory effects of fetuin-A on atherosclerosis." in: Atherosclerosis, Vol. 246, pp. 344-51, (2016) (PubMed).

  • Target

    Fetuin A (AHSG) (alpha-2-HS-Glycoprotein (AHSG))

    Andere Bezeichnung

    Ahsg

    Hintergrund

    Synonyms: AHS, A2HS, HSGA, FETUA, Alpha-2-HS-glycoprotein, Alpha-2-Z-globulin, Ba-alpha-2-glycoprotein, Fetuin-A, AHSG, PRO2743

    Background: Promotes endocytosis, possesses opsonic properties and influences the mineral phase of bone. Shows affinity for calcium and barium ions.

    Gen-ID

    197

    UniProt

    P02765
Sie sind hier:
Chat with us!