Telefon:
+49 (0)241 95 163 153
Fax:
+49 (0)241 95 163 155
E-Mail:
orders@antikoerper-online.de

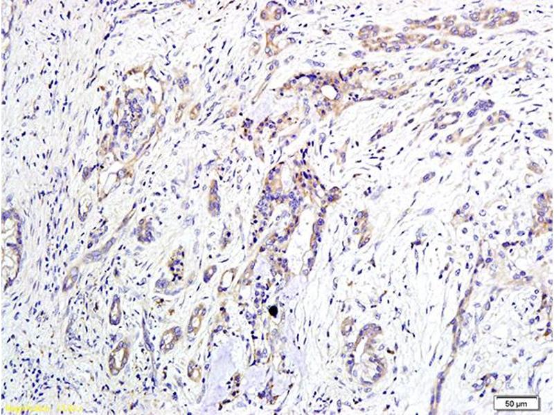
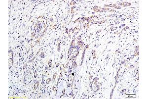
LPAR1 Antikörper (AA 281-364)

Dieser Kaninchen Polyklonal Antikörper detektiert spezifisch LPAR1 in WB, ELISA, IF (p) und IHC (p). Es zeigt Reaktivität gegenüber Proben von Human und Maus.Es wurde in 1 Publikation zitiert.
Produktnummer ABIN681103
357,70 €
Zzgl. Versandkosten 20,00 € und MwSt
100 μL
Lieferung nach: Deutschland
Lieferung in 8 bis 12 Werktagen

Kurzübersicht für LPAR1 Antikörper (AA 281-364) (ABIN681103)

Target

Alle LPAR1 Antikörper anzeigen
LPAR1 (Lysophosphatidic Acid Receptor 1 (LPAR1))

Reaktivität

  • 50
  • 20
  • 7
  • 3
  • 2
  • 2
  • 2
  • 2
  • 2
  • 2
  • 2
  • 2
  • 2
  • 1
Human, Maus

Wirt

  • 51
  • 3
Kaninchen

Klonalität

  • 47
  • 7
Polyklonal

Konjugat

  • 23
  • 4
  • 4
  • 4
  • 1
  • 1
  • 1
  • 1
  • 1
  • 1
  • 1
  • 1
  • 1
  • 1
  • 1
  • 1
  • 1
  • 1
  • 1
  • 1
  • 1
  • 1
  • 1
Dieser LPAR1 Antikörper ist unkonjugiert

Applikation

  • 37
  • 17
  • 12
  • 10
  • 10
  • 7
  • 5
  • 3
  • 1
  • 1
  • 1
Western Blotting (WB), ELISA, Immunofluorescence (Paraffin-embedded Sections) (IF (p)), Immunohistochemistry (Paraffin-embedded Sections) (IHC (p))
  • Bindungsspezifität

    • 14
    • 7
    • 5
    • 4
    • 3
    • 2
    • 1
    • 1
    • 1
    • 1
    • 1
    • 1
    • 1
    • 1
    AA 281-364

    Kreuzreaktivität

    Human, Maus

    Homologie

    Rat,Dog,Cow,Sheep,Horse,Chicken

    Aufreinigung

    Purified by Protein A.

    Immunogen

    KLH conjugated synthetic peptide derived from human EDG2/LPAR1

    Isotyp

    IgG
  • Applikationshinweise

    WB 1:300-5000
    ELISA 1:500-1000
    IHC-P 1:200-400
    IF(IHC-P) 1:50-200

    Beschränkungen

    Nur für Forschungszwecke einsetzbar
  • Format

    Liquid

    Konzentration

    1 μg/μL

    Buffer

    0.01M TBS( pH 7.4) with 1 % BSA, 0.02 % Proclin300 and 50 % Glycerol.

    Konservierungsmittel

    ProClin

    Vorsichtsmaßnahmen

    This product contains ProClin: a POISONOUS AND HAZARDOUS SUBSTANCE, which should be handled by trained staff only.

    Lagerung

    4 °C,-20 °C

    Informationen zur Lagerung

    Shipped at 4°C. Store at -20°C for one year. Avoid repeated freeze/thaw cycles.

    Haltbarkeit

    12 months
  • Chen, Zhang, Deng, Liu, Yang, Wu, Yu: "Lysophosphatidic acid directly induces macrophage-derived foam cell formation by blocking the expression of SRBI." in: Biochemical and biophysical research communications, Vol. 491, Issue 3, pp. 587-594, (2017) (PubMed).

  • Target

    LPAR1 (Lysophosphatidic Acid Receptor 1 (LPAR1))

    Andere Bezeichnung

    LPAR1

    Hintergrund

    Synonyms: EDG2, LPA1, VZG1, GPR26, edg-2, vzg-1, Gpcr26, Mrec1.3, rec.1.3, Lysophosphatidic acid receptor 1, LPA receptor 1, LPA-1, Lysophosphatidic acid receptor Edg-2, LPAR1

    Background: Receptor for lysophosphatidic acid (LPA), a mediator of diverse cellular activities. Seems to be coupled to the G(i)/G(o), G(12)/G(13), and G(q) families of heteromeric G proteins. Stimulates phospholipase C (PLC) activity in a manner that is dependent on RALA activation.

    Gen-ID

    1902

    UniProt

    Q92633

    Pathways

    Myometrial Relaxation and Contraction, Smooth Muscle Cell Migration
Sie sind hier:
Chat with us!