Telefon:
+49 (0)241 95 163 153
Fax:
+49 (0)241 95 163 155
E-Mail:
orders@antikoerper-online.de

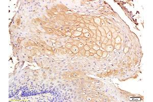
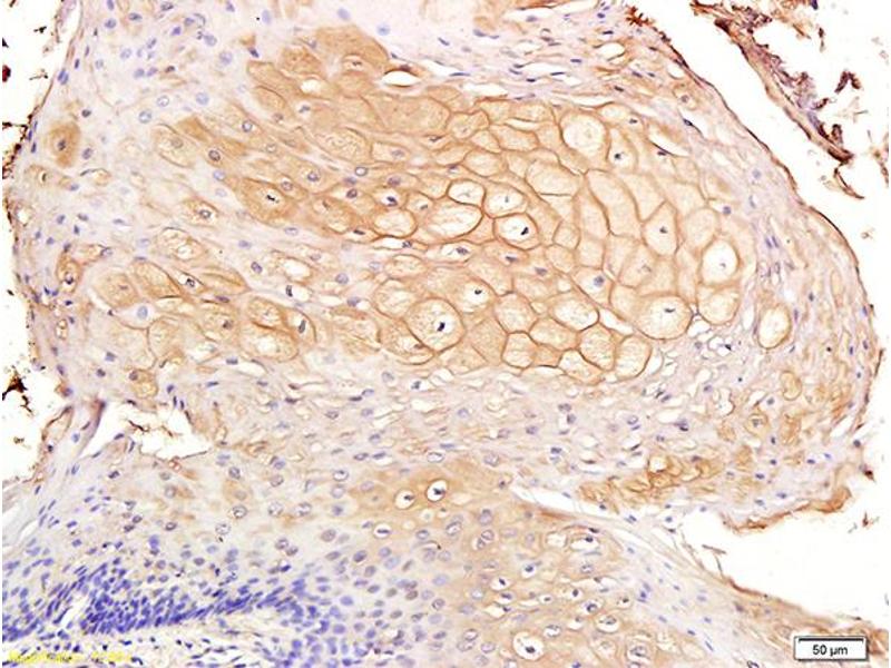
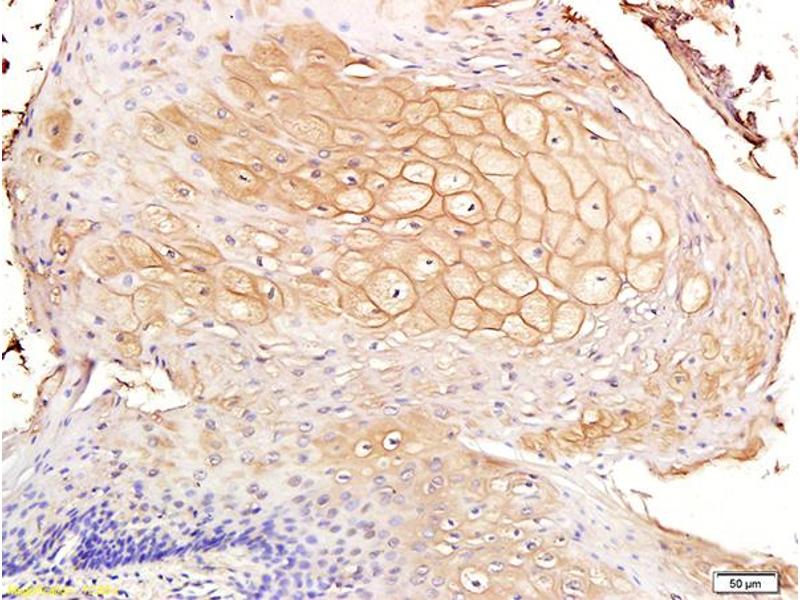
CD44v7 Antikörper (AA 201-300)

Dieser Kaninchen Polyklonal Antikörper detektiert spezifisch CD44v7 in WB, IHC (p) und ELISA. Es zeigt Reaktivität gegenüber Proben von Human und Maus.
Produktnummer ABIN680578
357,70 €
Zzgl. Versandkosten 20,00 € und MwSt
100 μL
Lieferung nach: Deutschland
Lieferung in 8 bis 12 Werktagen

Kurzübersicht für CD44v7 Antikörper (AA 201-300) (ABIN680578)

Target

CD44v7

Reaktivität

Human, Maus

Wirt

  • 15
  • 3
Kaninchen

Klonalität

  • 15
  • 3
Polyklonal

Konjugat

  • 4
  • 1
  • 1
  • 1
  • 1
  • 1
  • 1
  • 1
  • 1
  • 1
  • 1
  • 1
  • 1
  • 1
  • 1
Dieser CD44v7 Antikörper ist unkonjugiert

Applikation

  • 18
  • 4
  • 4
  • 3
  • 2
  • 2
  • 1
  • 1
  • 1
Western Blotting (WB), Immunohistochemistry (Paraffin-embedded Sections) (IHC (p)), ELISA
  • Bindungsspezifität

    • 12
    • 2
    • 1
    AA 201-300

    Spezifität

    This antibody will detect isoform 7 exclusively.

    Kreuzreaktivität

    Human, Maus

    Aufreinigung

    Purified by Protein A.

    Immunogen

    KLH conjugated synthetic peptide derived from human CD44v7

    Isotyp

    IgG
  • Applikationshinweise

    WB 1:300-5000
    ELISA 1:500-1000
    IHC-P 1:200-400

    Beschränkungen

    Nur für Forschungszwecke einsetzbar
  • Format

    Liquid

    Konzentration

    1 μg/μL

    Buffer

    0.01M TBS( pH 7.4) with 1 % BSA, 0.02 % Proclin300 and 50 % Glycerol.

    Konservierungsmittel

    ProClin

    Vorsichtsmaßnahmen

    This product contains ProClin: a POISONOUS AND HAZARDOUS SUBSTANCE, which should be handled by trained staff only.

    Lagerung

    4 °C,-20 °C

    Informationen zur Lagerung

    Shipped at 4°C. Store at -20°C for one year. Avoid repeated freeze/thaw cycles.

    Haltbarkeit

    12 months
  • Target

    CD44v7

    Hintergrund

    Synonyms: IN, LHR, MC56, MDU2, MDU3, MIC4, Pgp1, CDW44, CSPG8, HCELL, HUTCH-I, ECMR-III, CD44 antigen, Epican, Extracellular matrix receptor III, GP90 lymphocyte homing/adhesion receptor, Heparan sulfate proteoglycan, Hermes antigen, Hyaluronate receptor, Phagocytic glycoprotein 1, PGP-1, Phagocytic glycoprotein I, PGP-I, CD44

    Background: Receptor for hyaluronic acid (HA). Mediates cell-cell and cell-matrix interactions through its affinity for HA, and possibly also through its affinity for other ligands such as osteopontin, collagens, and matrix metalloproteinases (MMPs). Adhesion with HA plays an important role in cell migration, tumor growth and progression. In cancer cells, may play an important role in invadopodia formation. Also involved in lymphocyte activation, recirculation and homing, and in hematopoiesis. Altered expression or dysfunction causes numerous pathogenic phenotypes. Great protein heterogeneity due to numerous alternative splicing and post-translational modification events.

    Gen-ID

    960

    UniProt

    P16070
Sie sind hier:
Chat with us!