SNRPD1 Antikörper (AA 21-70)
Kurzübersicht für SNRPD1 Antikörper (AA 21-70) (ABIN6756549)
Target
Alle SNRPD1 Antikörper anzeigenReaktivität
Wirt
Klonalität
Konjugat
Applikation
-
-
Bindungsspezifität
- AA 21-70
-
Spezifität
- Human SNRPD1
-
Aufreinigung
- Immunoaffinity purified
-
Immunogen
-
Synthetic peptide located between aa21-70 of human SNRPD1 (P62314, NP_008869). Percent identity by BLAST analysis: Human, Chimpanzee, Gorilla, Gibbon, Monkey, Galago, Marmoset, Mouse, Rat, Hamster, Elephant, Dog, Bovine, Bat, Rabbit, Horse, Pig, Opossum, Guinea pig, Turkey, Zebra finch, Chicken (100%), Platypus, Xenopus (92%), Stickleback, Zebrafish (85%).
Type of Immunogen: Synthetic peptide -
Isotyp
- IgG
-
-
-
-
Applikationshinweise
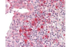
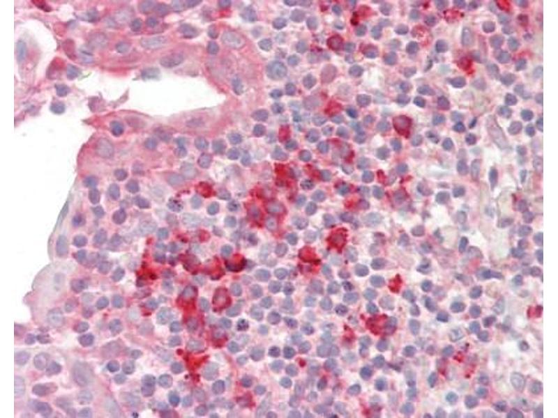
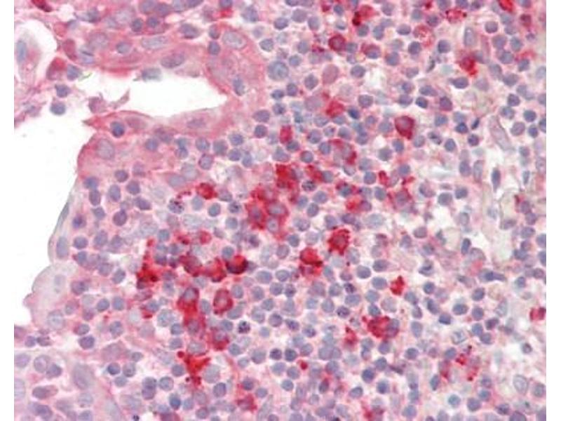
- Approved: IHC, IHC-P (5 μg/mL), WB (0.2 - 1 μg/mL)
-
Kommentare
-
Target Species of Antibody: Human
-
Beschränkungen
- Nur für Forschungszwecke einsetzbar
-
-
-
Format
- Lyophilized
-
Rekonstitution
- Distilled water
-
Konzentration
- Lot specific
-
Buffer
- Lyophilized from PBS with 2 % sucrose
-
Handhabung
- Avoid repeat freeze-thaw cycles.
-
Lagerung
- 4 °C,-20 °C
-
Informationen zur Lagerung
-
Long term: -20°C, the use of 50% glycerol is recommended if storing aliquots in -20°C for long term use (up to 1 year)
Short term (less than 1 week): 4°C. Avoid freeze-thaw cycles.
-
-
- SNRPD1 (Small Nuclear Ribonucleoprotein D1 Polypeptide 16kDa (SNRPD1))
-
Andere Bezeichnung
- SNRPD1 / SMD1
-
Hintergrund
-
Name/Gene ID: SNRPD1
Synonyms: SNRPD1, SMD1, SnRNP core protein D1, SNRPD, Sm-D1, HsT2456, Sm-D autoantigen -
Gen-ID
- 6632
-
NCBI Accession
- NP_008869
-
Pathways
- Ribonucleoprotein Complex Subunit Organization
Target
-