Telefon:
+49 (0)241 95 163 153
Fax:
+49 (0)241 95 163 155
E-Mail:
orders@antikoerper-online.de

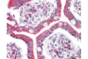
DYRK2 Antikörper (AA 434-483)

Der Kaninchen Polyklonal anti-DYRK2 Antikörper (ABIN6755293) detektiert spezifisch DYRK2 in WB, IHC und IHC (p). Dieser Antikörper reagiert spezifisch mit Proben aus Human, Maus, Ratte, Rind (Kuh), Hund, Meerschweinchen, Pferd, Kaninchen und Schwein.
Produktnummer ABIN6755293
512,07 €
Zzgl. Versandkosten 20,00 € und MwSt
100 μL
Lieferung nach: Deutschland
Lieferung in 15 bis 20 Werktagen

Kurzübersicht für DYRK2 Antikörper (AA 434-483) (ABIN6755293)

Target

Alle DYRK2 Antikörper anzeigen
DYRK2 (Dual-Specificity tyrosine-(Y)-phosphorylation Regulated Kinase 2 (DYRK2))

Reaktivität

  • 38
  • 32
  • 21
  • 2
  • 2
  • 2
  • 2
  • 2
  • 2
  • 1
  • 1
  • 1
  • 1
  • 1
Human, Maus, Ratte, Rind (Kuh), Hund, Meerschweinchen, Pferd, Kaninchen, Schwein

Wirt

  • 50
  • 8
  • 1
Kaninchen

Klonalität

  • 51
  • 8
Polyklonal

Konjugat

  • 27
  • 4
  • 4
  • 3
  • 2
  • 2
  • 1
  • 1
  • 1
  • 1
  • 1
  • 1
  • 1
  • 1
  • 1
  • 1
  • 1
  • 1
  • 1
  • 1
  • 1
  • 1
  • 1
Dieser DYRK2 Antikörper ist unkonjugiert

Applikation

  • 52
  • 29
  • 21
  • 13
  • 13
  • 8
  • 4
  • 3
  • 3
  • 2
  • 1
  • 1
Western Blotting (WB), Immunohistochemistry (IHC), Immunohistochemistry (Paraffin-embedded Sections) (IHC (p))
Sie sind hier:
Chat with us!