CPSF7 Antikörper (C-Term)
Kurzübersicht für CPSF7 Antikörper (C-Term) (ABIN6755273)
Target
Alle CPSF7 Antikörper anzeigenReaktivität
Wirt
Klonalität
Konjugat
Applikation
-
-
Bindungsspezifität
- C-Term
-
Spezifität
- Human CPSF7 / FLJ12529
-
Aufreinigung
- Protein A purified
-
Immunogen
-
Synthetic peptide from C-Terminus of human CPSF7 (Q8N684, NP_079087). Percent identity by BLAST analysis: Human, Chimpanzee, Gibbon, Monkey, Galago, Marmoset, Mouse, Rat, Elephant, Panda, Dog, Bovine, Rabbit, Horse, Pig, Guinea pig (100%), Bat, Opossum, Turkey, Platypus (92%).
Type of Immunogen: Synthetic peptide -
Isotyp
- IgG
-
-
-
-
Applikationshinweise
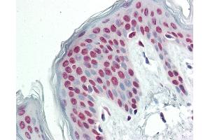
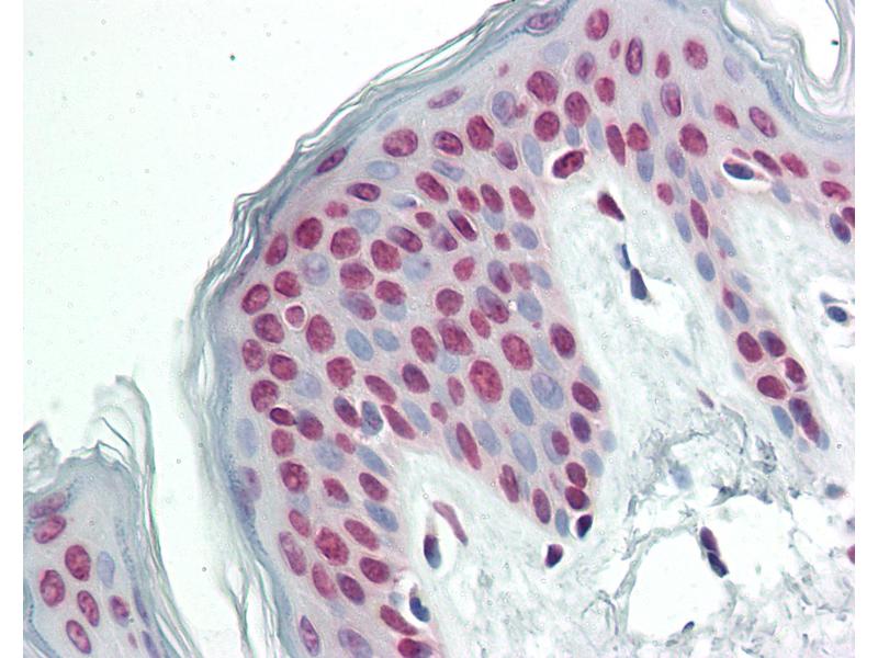
- Approved: IHC, IHC-P (10 μg/mL), WB (1.25 μg/mL)
-
Kommentare
-
Target Species of Antibody: Human
-
Beschränkungen
- Nur für Forschungszwecke einsetzbar
-
-
-
Format
- Lyophilized
-
Rekonstitution
- After adding water, will consist of PBS buffer with 2 % sucrose
-
Konzentration
- Lot specific
-
Buffer
- Lyophilized from PBS with 2 % sucrose
-
Handhabung
- Avoid repeat freeze-thaw cycles.
-
Lagerung
- 4 °C,-20 °C
-
Informationen zur Lagerung
-
Long term: -20°C, the use of 50% glycerol is recommended if storing aliquots in -20°C for long term use (up to 1 year)
Short term (less than 1 week): 4°C. Avoid freeze-thaw cycles.
-
-
- CPSF7 (Cleavage and Polyadenylation Specific Factor 7, 59kDa (CPSF7))
-
Andere Bezeichnung
- FLJ12529 / CPSF7
-
Hintergrund
-
Name/Gene ID: CPSF7
Synonyms: CPSF7, CFIm59, CPSF 59 kDa subunit, FLJ12529 -
Gen-ID
- 79869
-
NCBI Accession
- NP_079087
Target
-