ALDH3B1 Antikörper (N-Term)
Kurzübersicht für ALDH3B1 Antikörper (N-Term) (ABIN6754947)
Target
Alle ALDH3B1 Antikörper anzeigenReaktivität
Wirt
Klonalität
Konjugat
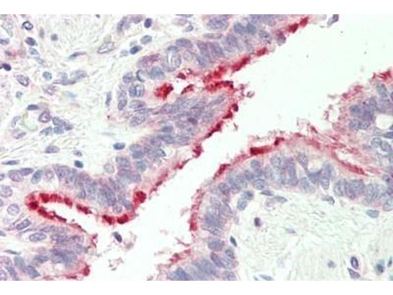
Applikation
-
-
Bindungsspezifität
- N-Term
-
Spezifität
- Human ALDH3B1
-
Aufreinigung
- Immunoaffinity purified
-
Immunogen
-
Synthetic peptide from N-Terminus of human ALDH3B1 (P43353, NP_000685). Percent identity by BLAST analysis: Human, Gorilla (100%), Galago, Mouse, Rat, Bat (92%), Monkey, Bovine, Horse, Guinea pig (85%), Gibbon, Marmoset (83%).
Type of Immunogen: Synthetic peptide -
Isotyp
- IgG
-
-
-
-
Applikationshinweise
-
Approved: IHC, IHC-P (5 μg/mL), WB
Usage: ELISA titer using peptide based assay: 1:62500. Western Blot: Suggested dilution at 1 μg/mL in 5 % skim milk / PBS buffer, and HRP conjugated anti-Rabbit IgG should be diluted in 1:50000 - 100000 as second antibody. -
Kommentare
-
Target Species of Antibody: Human
-
Beschränkungen
- Nur für Forschungszwecke einsetzbar
-
-
-
Format
- Lyophilized
-
Rekonstitution
- Distilled Water.
-
Konzentration
- Lot specific
-
Buffer
- Lyophilized from PBS with 2 % sucrose
-
Handhabung
- Avoid repeat freeze-thaw cycles.
-
Lagerung
- 4 °C,-20 °C
-
Informationen zur Lagerung
-
Long term: -20°C, the use of 50% glycerol is recommended if storing aliquots in -20°C for long term use (up to 1 year)
Short term (less than 1 week): 4°C. Avoid freeze-thaw cycles.
-
-
- ALDH3B1 (Aldehyde Dehydrogenase 3 Family, Member B1 (ALDH3B1))
-
Andere Bezeichnung
- ALDH3B1
-
Hintergrund
-
Name/Gene ID: ALDH3B1
Synonyms: ALDH3B1, Aldehyde dehydrogenase 3B1, Aldehyde dehydrogenase 7, ALDH7, ALDH4 -
Gen-ID
- 221
-
NCBI Accession
- NP_000685
-
Pathways
- Monocarboxylic Acid Catabolic Process
Target
-