Telefon:
+49 (0)241 95 163 153
Fax:
+49 (0)241 95 163 155
E-Mail:
orders@antikoerper-online.de

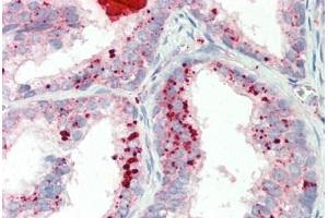
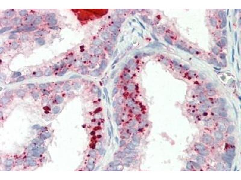
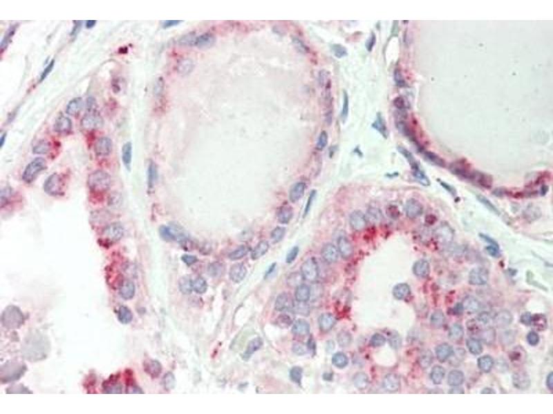
GATAD1 Antikörper (C-Term)

Dieser Kaninchen Polyklonal Antikörper detektiert spezifisch GATAD1 in WB, IHC (p) und IHC. Es zeigt Reaktivität gegenüber Proben von Human, Maus, Ratte, Hund, Rind (Kuh), Meerschweinchen, Pferd, Kaninchen, Huhn und Affe.
Produktnummer ABIN6754926
512,07 €
Zzgl. Versandkosten 20,00 € und MwSt
100 μL
Lieferung nach: Deutschland
Lieferung in 15 bis 20 Werktagen

Kurzübersicht für GATAD1 Antikörper (C-Term) (ABIN6754926)

Target

Alle GATAD1 Antikörper anzeigen
GATAD1 (GATA Zinc Finger Domain Containing 1 (GATAD1))

Reaktivität

  • 29
  • 8
  • 5
  • 4
  • 2
  • 2
  • 2
  • 2
  • 2
  • 1
  • 1
  • 1
  • 1
  • 1
Human, Maus, Ratte, Hund, Rind (Kuh), Meerschweinchen, Pferd, Kaninchen, Huhn, Affe

Wirt

  • 21
  • 8
Kaninchen

Klonalität

  • 22
  • 7
Polyklonal

Konjugat

  • 15
  • 1
  • 1
  • 1
  • 1
  • 1
  • 1
  • 1
  • 1
  • 1
  • 1
  • 1
  • 1
  • 1
  • 1
Dieser GATAD1 Antikörper ist unkonjugiert

Applikation

  • 14
  • 13
  • 13
  • 6
  • 3
  • 3
  • 3
  • 2
  • 2
  • 1
Western Blotting (WB), Immunohistochemistry (Paraffin-embedded Sections) (IHC (p)), Immunohistochemistry (IHC)
  • Bindungsspezifität

    • 15
    • 3
    • 2
    • 1
    • 1
    • 1
    • 1
    C-Term

    Spezifität

    Human GATAD1

    Aufreinigung

    Immunoaffinity purified

    Immunogen

    Synthetic peptide from C-Terminus of human GATAD1 (Q8WUU5, NP_066990). Percent identity by BLAST analysis: Human, Gorilla, Gibbon, Monkey, Galago, Marmoset, Mouse, Rat, Elephant, Dog, Bovine, Rabbit, Horse, Opossum, Guinea pig, Turkey, Chicken, Platypus (100%), Lizard, Xenopus, Catfish, Stickleback, Zebrafish (92%), Bat, Salmon (85%).

    Type of Immunogen: Synthetic peptide

    Isotyp

    IgG
  • Applikationshinweise

    Approved: IHC, IHC-P (5 μg/mL), WB (0.2 - 1 μg/mL)

    Kommentare

    Target Species of Antibody: Human

    Beschränkungen

    Nur für Forschungszwecke einsetzbar
  • Format

    Lyophilized

    Rekonstitution

    After adding water, will consist of PBS buffer with 2 % sucrose

    Konzentration

    Lot specific

    Buffer

    Lyophilized from PBS with 2 % sucrose

    Handhabung

    Avoid repeat freeze-thaw cycles.

    Lagerung

    4 °C,-20 °C

    Informationen zur Lagerung

    Long term: -20°C, the use of 50% glycerol is recommended if storing aliquots in -20°C for long term use (up to 1 year)
    Short term (less than 1 week): 4°C. Avoid freeze-thaw cycles.
  • Target

    GATAD1 (GATA Zinc Finger Domain Containing 1 (GATAD1))

    Andere Bezeichnung

    GATAD1

    Hintergrund

    Name/Gene ID: GATAD1

    Synonyms: GATAD1, CMD2B, ODAG, RG083M05.2

    Gen-ID

    57798

    NCBI Accession

    NP_066990
Sie sind hier:
Chat with us!