UCP2 Antikörper (AA 201-309)
Kurzübersicht für UCP2 Antikörper (AA 201-309) (ABIN675428)
Target
Alle UCP2 Antikörper anzeigenReaktivität
Wirt
Klonalität
Konjugat
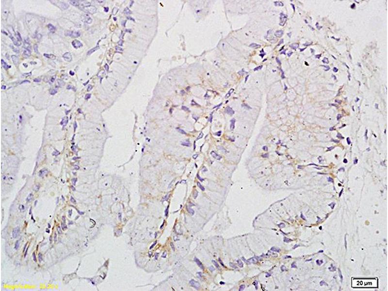
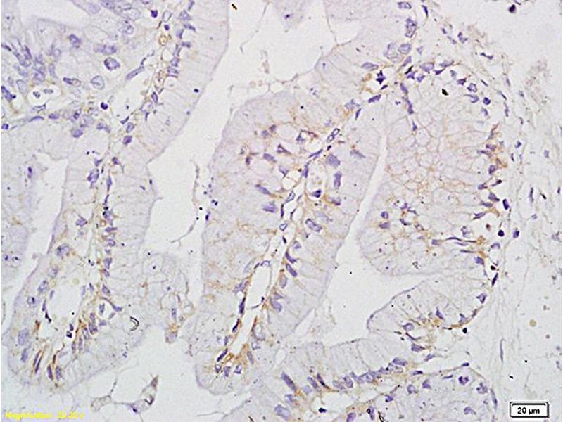
Applikation
-
-
Bindungsspezifität
- AA 201-309
-
Kreuzreaktivität
- Human, Maus, Ratte
-
Homologie
- Pig,Horse,Rabbit
-
Aufreinigung
- Purified by Protein A.
-
Immunogen
- KLH conjugated synthetic peptide derived from Mouse UCP-2 (Mitochondrial intermembrane space domain)
-
Isotyp
- IgG
-
-
-
-
Applikationshinweise
-
WB 1:300-5000
ELISA 1:500-1000
FCM 1:20-100
IHC-P 1:200-400
IHC-F 1:100-500
IF(IHC-P) 1:50-200
IF(IHC-F) 1:50-200
IF(ICC) 1:50-200 -
Beschränkungen
- Nur für Forschungszwecke einsetzbar
-
-
-
Format
- Liquid
-
Konzentration
- 1 μg/μL
-
Buffer
- 0.01M TBS( pH 7.4) with 1 % BSA, 0.02 % Proclin300 and 50 % Glycerol.
-
Konservierungsmittel
- ProClin
-
Vorsichtsmaßnahmen
- This product contains ProClin: a POISONOUS AND HAZARDOUS SUBSTANCE, which should be handled by trained staff only.
-
Lagerung
- 4 °C,-20 °C
-
Informationen zur Lagerung
- Shipped at 4°C. Store at -20°C for one year. Avoid repeated freeze/thaw cycles.
-
Haltbarkeit
- 12 months
-
-
-
: "Methylglyoxal Impairs Insulin Secretion of Pancreatic β-Cells through Increased Production of ROS and Mitochondrial Dysfunction Mediated by Upregulation of UCP2 and MAPKs." in: Journal of diabetes research, Vol. 2016, pp. 2029854, (2016) (PubMed).
: "Peroxisome proliferator-activated receptors ?/mitochondrial uncoupling protein 2 signaling protects against seizure-induced neuronal cell death in the hippocampus following experimental status ..." in: Journal of neuroinflammation, Vol. 9, pp. 184, (2012) (PubMed).
-
-
- UCP2 (Uncoupling Protein 2 (Mitochondrial, Proton Carrier) (UCP2))
-
Andere Bezeichnung
- UCP-2
-
Hintergrund
-
Synonyms: Slc25a8, Mitochondrial uncoupling protein 2, UCP 2, Solute carrier family 25 member 8, UCPH, Ucp2
Background: UCP are mitochondrial transporter proteins that create proton leaks across the inner mitochondrial membrane, thus uncoupling oxidative phosphorylation from ATP synthesis. As a result, energy is dissipated in the form of heat (By similarity).
-
Gen-ID
- 22228
-
UniProt
- P70406
-
Pathways
- Negative Regulation of Hormone Secretion, Carbohydrate Homeostasis, Proton Transport
Target
-