Telefon:
+49 (0)241 95 163 153
Fax:
+49 (0)241 95 163 155
E-Mail:
orders@antikoerper-online.de

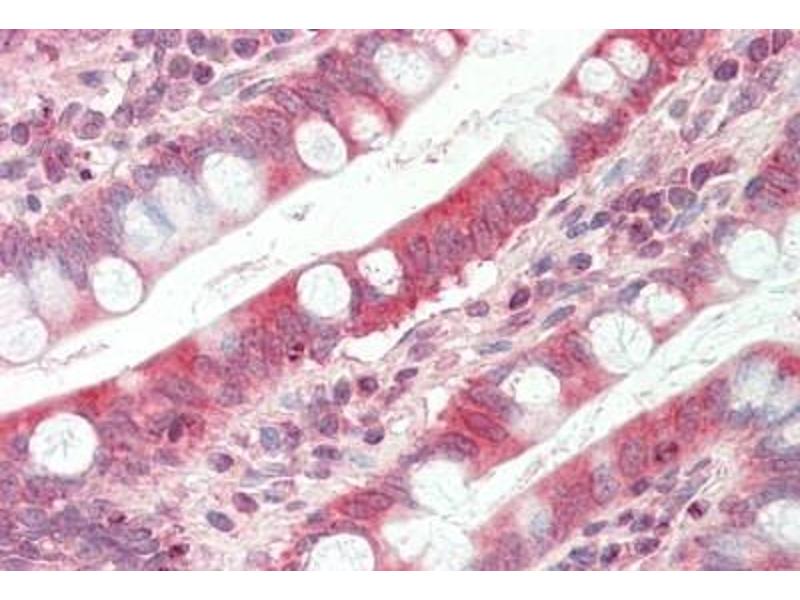
TAPBP Antikörper (AA 307-356)

Dieser Kaninchen Polyklonal Antikörper detektiert spezifisch TAPBP in WB, IHC und IHC (p). Es zeigt Reaktivität gegenüber Proben von Human, Schaf, Rind (Kuh) und Schwein.
Produktnummer ABIN6752991
512,07 €
Zzgl. Versandkosten 20,00 € und MwSt
100 μL
Lieferung nach: Deutschland
Lieferung in 15 bis 20 Werktagen

Kurzübersicht für TAPBP Antikörper (AA 307-356) (ABIN6752991)

Target

Alle TAPBP Antikörper anzeigen
TAPBP (TAP Binding Protein (Tapasin) (TAPBP))

Reaktivität

  • 26
  • 10
  • 6
  • 5
  • 4
  • 4
  • 2
  • 1
  • 1
  • 1
Human, Schaf, Rind (Kuh), Schwein

Wirt

  • 24
  • 2
Kaninchen

Klonalität

  • 24
  • 2
Polyklonal

Konjugat

  • 21
  • 1
  • 1
  • 1
  • 1
  • 1
Dieser TAPBP Antikörper ist unkonjugiert

Applikation

  • 24
  • 10
  • 7
  • 3
  • 2
  • 1
Western Blotting (WB), Immunohistochemistry (IHC), Immunohistochemistry (Paraffin-embedded Sections) (IHC (p))
  • Bindungsspezifität

    • 8
    • 3
    • 1
    • 1
    • 1
    • 1
    • 1
    • 1
    • 1
    • 1
    • 1
    • 1
    AA 307-356

    Spezifität

    Human TAPBP / Tapasin

    Aufreinigung

    Immunoaffinity purified

    Immunogen

    Synthetic peptide located between aa307-356 of human TAPBP (O15533, NP_003181). Percent identity by BLAST analysis: Human, Chimpanzee, Gorilla, Monkey (100%), Marmoset (92%), Sheep, Bovine, Pig (85%).

    Type of Immunogen: Synthetic peptide

    Isotyp

    IgG
  • Applikationshinweise

    Approved: IHC, IHC-P (10 μg/mL), WB (0.5 μg/mL)

    Usage: ELISA titer using peptide based assay: 1:12500. Western Blot: Suggested dilution at 0.5 μg/mL in 5 % skim milk / PBS buffer, and HRP conjugated anti-Rabbit IgG should be diluted in 1:50000 - 100000 as second antibody.

    Kommentare

    Target Species of Antibody: Human

    Beschränkungen

    Nur für Forschungszwecke einsetzbar
  • Format

    Lyophilized

    Rekonstitution

    Distilled water

    Konzentration

    Lot specific

    Buffer

    Lyophilized from PBS with 2 % sucrose

    Handhabung

    Avoid repeat freeze-thaw cycles.

    Lagerung

    4 °C,-20 °C

    Informationen zur Lagerung

    Long term: -20°C, the use of 50% glycerol is recommended if storing aliquots in -20°C for long term use (up to 1 year)
    Short term (less than 1 week): 4°C. Avoid freeze-thaw cycles.
  • Target

    TAPBP (TAP Binding Protein (Tapasin) (TAPBP))

    Andere Bezeichnung

    TAPBP / Tapasin

    Hintergrund

    Name/Gene ID: TAPBP

    Synonyms: TAPBP, TAP binding protein (tapasin), TAPA, TAP-associated protein, TAP-binding protein, TPN, NGS17, NGS-17, Tapasin, TPSN

    Gen-ID

    6892

    NCBI Accession

    NP_003181
Sie sind hier:
Chat with us!