Telefon:
+49 (0)241 95 163 153
Fax:
+49 (0)241 95 163 155
E-Mail:
orders@antikoerper-online.de

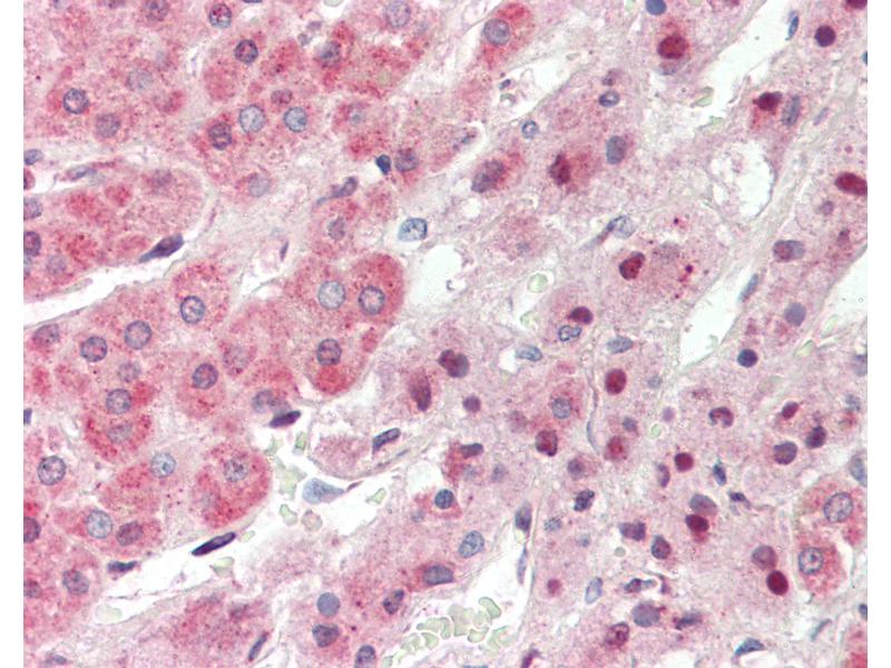
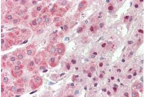
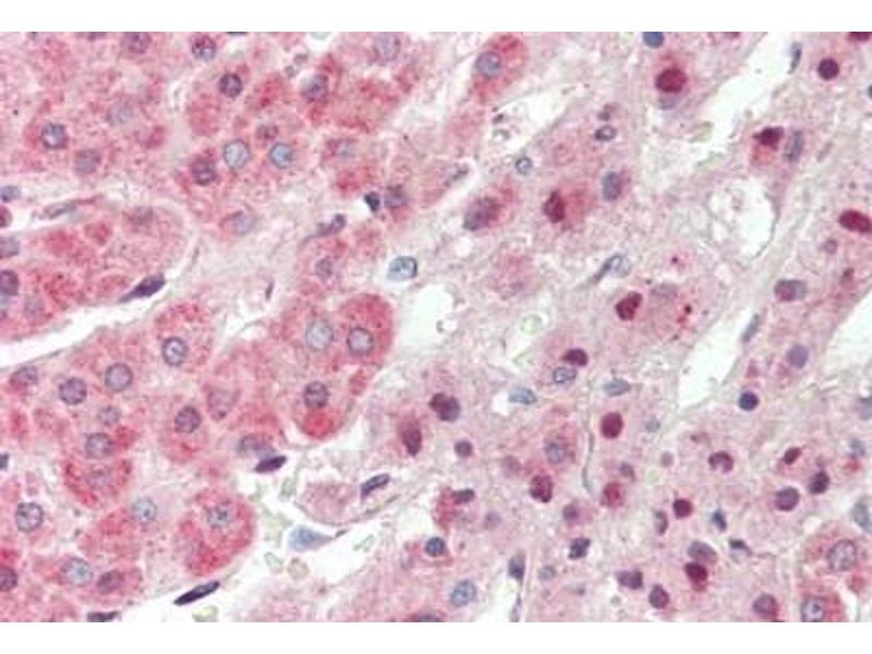
TRIM6 Antikörper (AA 144-193)

Der Kaninchen Polyklonal anti-TRIM6 Antikörper wird verwendet zum Nachweis von TRIM6 in Proben von Human, Ratte, Maus, Kaninchen, Rind (Kuh), Schwein und Affe. Er wurde validiert für WB, IHC und IHC (p).
Produktnummer ABIN6752979
512,07 €
Zzgl. Versandkosten 20,00 € und MwSt
100 μL
Lieferung nach: Deutschland
Lieferung in 15 bis 20 Werktagen

Kurzübersicht für TRIM6 Antikörper (AA 144-193) (ABIN6752979)

Target

Alle TRIM6 Antikörper anzeigen
TRIM6 (Tripartite Motif Containing 6 (TRIM6))

Reaktivität

  • 13
  • 7
  • 6
  • 4
  • 4
  • 3
  • 3
  • 2
  • 2
  • 1
  • 1
Human, Ratte, Maus, Kaninchen, Rind (Kuh), Schwein, Affe

Wirt

  • 11
  • 1
  • 1
Kaninchen

Klonalität

  • 13
Polyklonal

Konjugat

  • 13
Dieser TRIM6 Antikörper ist unkonjugiert

Applikation

  • 12
  • 5
  • 3
  • 1
  • 1
  • 1
  • 1
  • 1
Western Blotting (WB), Immunohistochemistry (IHC), Immunohistochemistry (Paraffin-embedded Sections) (IHC (p))
  • Bindungsspezifität

    • 3
    • 2
    • 1
    • 1
    • 1
    • 1
    • 1
    • 1
    AA 144-193

    Spezifität

    Human TRIM6 / RNF89

    Aufreinigung

    Immunoaffinity purified

    Immunogen

    Synthetic peptide located between aa144-193 of human TRIM6 (A8K2A7, NP_001003818). Percent identity by BLAST analysis: Human, Gorilla, Orangutan, Gibbon, Baboon, Monkey (100%), Marmoset (85%), Mouse, Rat (78%).

    Type of Immunogen: Synthetic peptide

    Isotyp

    IgG
  • Applikationshinweise

    Approved: IHC, IHC-P (10 μg/mL), WB (0.2 - 1 μg/mL)

    Usage: Western Blot: Suggested dilution at 1 μg/mL in 5 % skim milk / PBS buffer, and HRP conjugated anti-Rabbit IgG should be diluted in 1: 50,000 - 100,000 as second antibody. ELISA titer in peptide based assay: 1:62500.

    Kommentare

    Target Species of Antibody: Human

    Beschränkungen

    Nur für Forschungszwecke einsetzbar
  • Format

    Lyophilized

    Rekonstitution

    Distilled water

    Konzentration

    Lot specific

    Buffer

    Lyophilized from PBS with 2 % sucrose

    Handhabung

    Avoid repeat freeze-thaw cycles.

    Lagerung

    4 °C,-20 °C

    Informationen zur Lagerung

    Long term: -20°C, the use of 50% glycerol is recommended if storing aliquots in -20°C for long term use (up to 1 year)
    Short term (less than 1 week): 4°C. Avoid freeze-thaw cycles.
  • Target

    TRIM6 (Tripartite Motif Containing 6 (TRIM6))

    Andere Bezeichnung

    TRIM6

    Hintergrund

    Name/Gene ID: TRIM6
    Family: Tripartite Motif

    Synonyms: TRIM6, RING finger protein 89, RNF89, Tripartite motif containing 6, Tripartite motif-containing 6

    Gen-ID

    117854

    NCBI Accession

    NP_001003818
Sie sind hier:
Chat with us!