Telefon:
+49 (0)241 95 163 153
Fax:
+49 (0)241 95 163 155
E-Mail:
orders@antikoerper-online.de

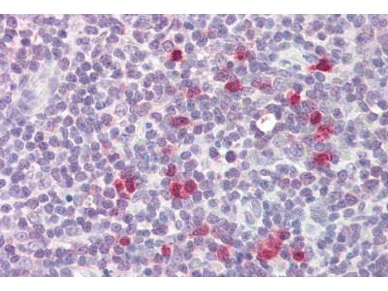
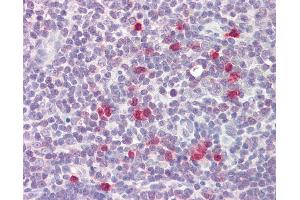
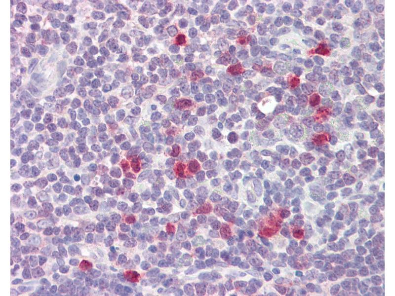
ARPP21 Antikörper (AA 74-123)

Der Kaninchen Polyklonal anti-ARPP21 Antikörper wird verwendet zum Nachweis von ARPP21 in Proben von Human, Maus, Ratte, Hund, Pferd, Kaninchen, Rind (Kuh) und Schwein. Er wurde validiert für WB, IHC und IHC (p).
Produktnummer ABIN6749725
512,07 €
Zzgl. Versandkosten 20,00 € und MwSt
100 μL
Lieferung nach: Deutschland
Lieferung in 15 bis 20 Werktagen

Kurzübersicht für ARPP21 Antikörper (AA 74-123) (ABIN6749725)

Target

Alle ARPP21 Antikörper anzeigen
ARPP21 (cAMP-Regulated phosphoprotein, 21kDa (ARPP21))

Reaktivität

  • 28
  • 9
  • 6
  • 3
  • 3
  • 3
  • 3
  • 2
  • 2
  • 2
  • 1
  • 1
Human, Maus, Ratte, Hund, Pferd, Kaninchen, Rind (Kuh), Schwein

Wirt

  • 28
Kaninchen

Klonalität

  • 28
Polyklonal

Konjugat

  • 16
  • 2
  • 1
  • 1
  • 1
  • 1
  • 1
  • 1
  • 1
  • 1
  • 1
  • 1
Dieser ARPP21 Antikörper ist unkonjugiert

Applikation

  • 21
  • 13
  • 4
  • 1
  • 1
  • 1
  • 1
Western Blotting (WB), Immunohistochemistry (IHC), Immunohistochemistry (Paraffin-embedded Sections) (IHC (p))
  • Bindungsspezifität

    • 8
    • 6
    • 3
    • 2
    • 1
    • 1
    • 1
    • 1
    AA 74-123

    Spezifität

    Human ARPP21 / ARPP-21 isoform 1

    Homologie

    Percent identity by BLAST analysis: Human, Mouse, Rat, Bovine, Dog, Poplar (100%) Chicken (92%).

    Aufreinigung

    Immunoaffinity purified

    Immunogen

    Synthetic peptide located between aa74-123 of human ARPP-21 (Q9UBL0, NP_057384). Percent identity by BLAST analysis: Human, Chimpanzee, Gorilla, Gibbon, Galago, Mouse, Rat, Elephant, Panda, Dog, Rabbit, Horse, Pig (100%), Marmoset, Bat, Guinea pig, Turkey, Chicken, Lizard (92%), Platypus (84%).

    Type of Immunogen: Synthetic peptide

    Isotyp

    IgG
  • Applikationshinweise

    Approved: IHC, IHC-P (5 - 10 μg/mL), WB

    Usage: ELISA titer using peptide based assay: 1:62500. Western Blot: Suggested dilution at 1 μg/mL in 5 % skim milk / PBS buffer, and HRP conjugated anti-Rabbit IgG should be diluted in 1:50000 - 100000 as second antibody.

    Kommentare

    Target Species of Antibody: Human

    Beschränkungen

    Nur für Forschungszwecke einsetzbar
  • Format

    Lyophilized

    Rekonstitution

    Distilled Water.

    Konzentration

    Lot specific

    Buffer

    Lyophilized from PBS with 2 % sucrose

    Handhabung

    Avoid repeat freeze-thaw cycles.

    Lagerung

    4 °C,-20 °C

    Informationen zur Lagerung

    Long term: -20°C, the use of 50% glycerol is recommended if storing aliquots in -20°C for long term use (up to 1 year)
    Short term (less than 1 week): 4°C. Avoid freeze-thaw cycles.
  • Target

    ARPP21 (cAMP-Regulated phosphoprotein, 21kDa (ARPP21))

    Andere Bezeichnung

    RCS / ARPP-21

    Hintergrund

    Name/Gene ID: ARPP21

    Synonyms: ARPP21, ARPP-21, RCS, R3H domain containing 3, TARPP, R3HDM3

    Gen-ID

    10777

    NCBI Accession

    NP_057384

    UniProt

    Q9UBL0
Sie sind hier:
Chat with us!