Telefon:
+49 (0)241 95 163 153
Fax:
+49 (0)241 95 163 155
E-Mail:
orders@antikoerper-online.de

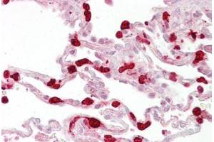
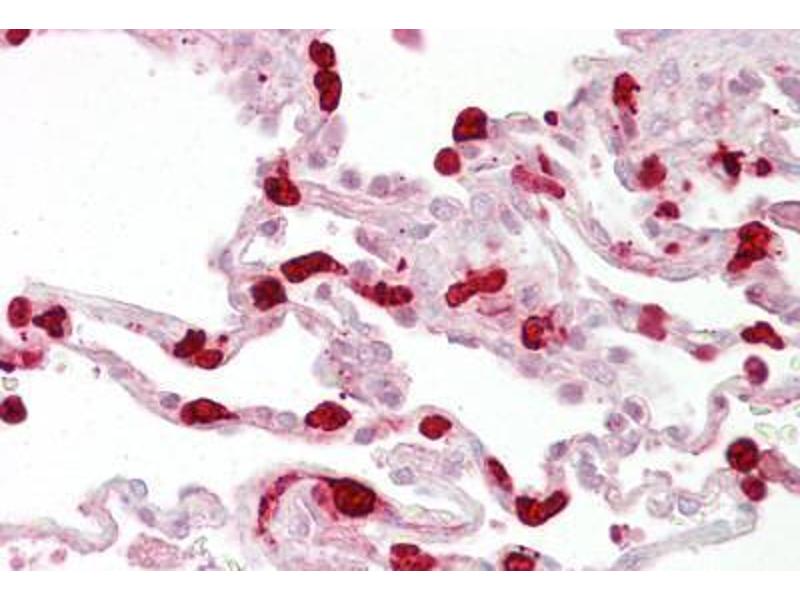
GSTT1 Antikörper (C-Term)

Der Kaninchen Polyklonal anti-GSTT1 Antikörper wird verwendet zum Nachweis von GSTT1 in Proben von Human, Rind (Kuh), Hund, Meerschweinchen und Kaninchen. Er wurde validiert für WB, IHC und IHC (p).
Produktnummer ABIN6748612
512,07 €
Zzgl. Versandkosten 20,00 € und MwSt
100 μL
Lieferung nach: Deutschland
Lieferung in 15 bis 20 Werktagen

Kurzübersicht für GSTT1 Antikörper (C-Term) (ABIN6748612)

Target

Alle GSTT1 Antikörper anzeigen
GSTT1 (Glutathione S-Transferase theta 1 (GSTT1))

Reaktivität

  • 42
  • 12
  • 9
  • 1
  • 1
  • 1
  • 1
  • 1
Human, Rind (Kuh), Hund, Meerschweinchen, Kaninchen

Wirt

  • 42
  • 6
Kaninchen

Klonalität

  • 43
  • 5
Polyklonal

Konjugat

  • 38
  • 4
  • 2
  • 2
  • 1
  • 1
Dieser GSTT1 Antikörper ist unkonjugiert

Applikation

  • 40
  • 25
  • 15
  • 12
  • 7
  • 6
  • 5
  • 2
  • 2
  • 1
Western Blotting (WB), Immunohistochemistry (IHC), Immunohistochemistry (Paraffin-embedded Sections) (IHC (p))
  • Bindungsspezifität

    • 9
    • 8
    • 8
    • 5
    • 3
    • 2
    • 2
    • 2
    • 2
    • 1
    • 1
    • 1
    • 1
    • 1
    C-Term

    Spezifität

    Human GSTT1

    Homologie

    Percent identity by BLAST analysis: Human (100%) Dog (85%).

    Aufreinigung

    Immunoaffinity purified

    Immunogen

    Synthetic peptide from C-Terminus of human GSTT1 (P30711, NP_000844). Percent identity by BLAST analysis: Human, Chimpanzee, Gibbon (100%), Gorilla, Galago, Marmoset, Panda (92%), Dog, Horse (85%).

    Type of Immunogen: Synthetic peptide

    Isotyp

    IgG
  • Applikationshinweise

    Approved: IHC, IHC-P (5 μg/mL), WB (0.2 - 1 μg/mL)

    Usage: ELISA titer using peptide based assay: 1:1562500. Western Blot: Suggested dilution at 1 μg/mL in 5 % skim milk / PBS buffer, and HRP conjugated anti-Rabbit IgG should be diluted in 1:50000 - 100000 as second antibody.

    Kommentare

    Target Species of Antibody: Human

    Beschränkungen

    Nur für Forschungszwecke einsetzbar
  • Format

    Lyophilized

    Rekonstitution

    Distilled Water.

    Konzentration

    Lot specific

    Buffer

    Lyophilized from PBS with 2 % sucrose

    Handhabung

    Avoid repeat freeze-thaw cycles.

    Lagerung

    4 °C,-20 °C

    Informationen zur Lagerung

    Long term: -20°C, the use of 50% glycerol is recommended if storing aliquots in -20°C for long term use (up to 1 year)
    Short term (less than 1 week): 4°C. Avoid freeze-thaw cycles.
  • Target

    GSTT1 (Glutathione S-Transferase theta 1 (GSTT1))

    Andere Bezeichnung

    GSTT1

    Hintergrund

    Name/Gene ID: GSTT1

    Synonyms: GSTT1, GST class-theta-1, Glutathione transferase T1-1

    Gen-ID

    2952

    NCBI Accession

    NP_000844

    UniProt

    P30711
Sie sind hier:
Chat with us!