Telefon:
+49 (0)241 95 163 153
Fax:
+49 (0)241 95 163 155
E-Mail:
orders@antikoerper-online.de

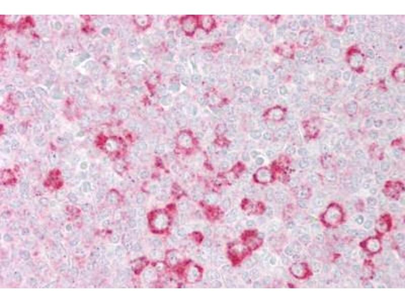
RHOD Antikörper (C-Term)

Der Kaninchen Polyklonal anti-RHOD Antikörper (ABIN6748594) detektiert spezifisch RHOD in WB, IHC und IHC (p). Dieser Antikörper reagiert spezifisch mit Proben aus Human, Ratte, Maus, Affe, Meerschweinchen, Rind (Kuh) und Hund.
Produktnummer ABIN6748594
512,07 €
Zzgl. Versandkosten 20,00 € und MwSt
100 μL
Lieferung nach: Deutschland
Lieferung in 15 bis 20 Werktagen

Kurzübersicht für RHOD Antikörper (C-Term) (ABIN6748594)

Target

Alle RHOD Antikörper anzeigen
RHOD (Ras Homolog Family Member D (RHOD))

Reaktivität

  • 34
  • 7
  • 6
  • 3
  • 2
  • 1
  • 1
  • 1
Human, Ratte, Maus, Affe, Meerschweinchen, Rind (Kuh), Hund

Wirt

  • 28
  • 6
Kaninchen

Klonalität

  • 28
  • 6
Polyklonal

Konjugat

  • 24
  • 2
  • 1
  • 1
  • 1
  • 1
  • 1
  • 1
  • 1
  • 1
Dieser RHOD Antikörper ist unkonjugiert

Applikation

  • 18
  • 12
  • 5
  • 4
  • 2
  • 2
  • 2
Western Blotting (WB), Immunohistochemistry (IHC), Immunohistochemistry (Paraffin-embedded Sections) (IHC (p))
  • Bindungsspezifität

    • 5
    • 3
    • 2
    • 2
    • 2
    • 2
    • 1
    • 1
    • 1
    • 1
    • 1
    C-Term

    Spezifität

    Human RHOD

    Homologie

    Percent identity by BLAST analysis: Human, Dog, Bovine, Guinea pig (100%) Mouse, Rat (81%).

    Aufreinigung

    Immunoaffinity purified

    Immunogen

    Synthetic peptide from C-Terminus of human RHOD (O00212, NP_055393). Percent identity by BLAST analysis: Human, Chimpanzee, Gorilla, Gibbon, Monkey, Galago, Marmoset, Dog, Bovine, Guinea pig (100%), Elephant, Bat, Horse (92%), Mouse, Rat (81%).

    Type of Immunogen: Synthetic peptide

    Isotyp

    IgG
  • Applikationshinweise

    Approved: IHC, IHC-P (5 μg/mL), WB (0.2 - 1 μg/mL)

    Usage: ELISA titer using peptide based assay: 1:312500. Western Blot: Suggested dilution at 1 μg/mL in 5 % skim milk / PBS buffer, and HRP conjugated anti-Rabbit IgG should be diluted in 1:50000 - 100000 as second antibody.

    Kommentare

    Target Species of Antibody: Human

    Beschränkungen

    Nur für Forschungszwecke einsetzbar
  • Format

    Lyophilized

    Rekonstitution

    Distilled Water.

    Konzentration

    Lot specific

    Buffer

    Lyophilized from PBS with 2 % sucrose

    Handhabung

    Avoid repeat freeze-thaw cycles.

    Lagerung

    4 °C,-20 °C

    Informationen zur Lagerung

    Long term: -20°C, the use of 50% glycerol is recommended if storing aliquots in -20°C for long term use (up to 1 year)
    Short term (less than 1 week): 4°C. Avoid freeze-thaw cycles.
  • Target

    RHOD (Ras Homolog Family Member D (RHOD))

    Andere Bezeichnung

    RHOD

    Hintergrund

    Name/Gene ID: RHOD
    Family: Ras GTPase superfamily IPR001806

    Synonyms: RHOD, ARHD, RHOHP1, Ras homolog D, Ras homolog family member D, RHOM, Rho-related protein HP1, Rho-related GTP-binding protein RhoD

    Gen-ID

    29984

    NCBI Accession

    NP_055393

    UniProt

    O00212
Sie sind hier:
Chat with us!