KCTD15 Antikörper (AA 36-85)
Kurzübersicht für KCTD15 Antikörper (AA 36-85) (ABIN6747013)
Target
Alle KCTD15 Antikörper anzeigenReaktivität
Wirt
Klonalität
Konjugat
Applikation
-
-
Bindungsspezifität
- AA 36-85
-
Spezifität
- Human KCTD15
-
Homologie
- Percent identity by BLAST analysis: Mouse, Rat, Dog, Chicken, Zebrafish (100%).
-
Aufreinigung
- Immunoaffinity purified
-
Immunogen
-
Synthetic peptide located between aa36-85 of human KCTD15 (Q96SI1-2, NP_076981). Percent identity by BLAST analysis: Human, Chimpanzee, Gorilla, Gibbon, Monkey, Marmoset, Mouse, Rat, Elephant, Panda, Dog, Bovine, Bat, Rabbit, Horse, Guinea pig, Turkey, Chicken, Platypus, Xenopus, Zebrafish (100%), Stickleback (92%).
Type of Immunogen: Synthetic peptide
-
-
-
-
Applikationshinweise
-
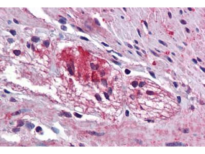
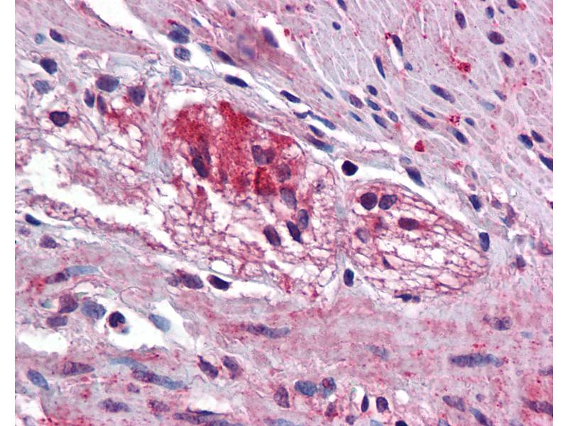
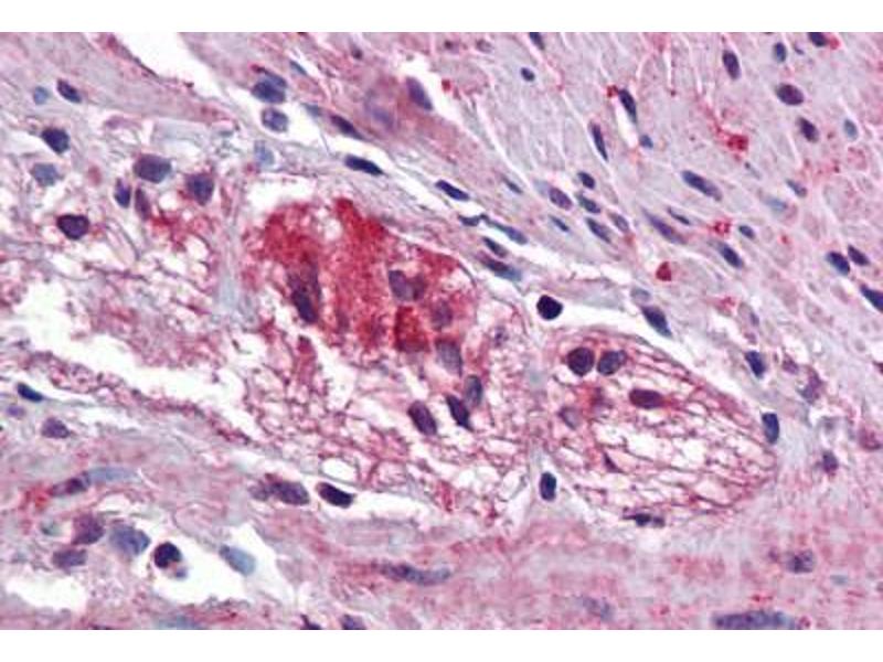
Approved: IHC, IHC-P (5 μg/mL), WB (0.2 - 1 μg/mL)
Usage: Western Blot: Suggested dilution at 1 μg/mL in 5 % skim milk / PBS buffer, and HRP conjugated anti-Rabbit IgG should be diluted in 1: 50,000 - 100,000 as secondary antibody. -
Kommentare
-
Target Species of Antibody: Human
-
Beschränkungen
- Nur für Forschungszwecke einsetzbar
-
-
-
Format
- Lyophilized
-
Rekonstitution
- Reconstitute with 50 μL sterile ddH2O.
-
Konzentration
- Lot specific
-
Buffer
- Lyophilized from PBS with 2 % sucrose
-
Handhabung
- Avoid repeat freeze-thaw cycles.
-
Lagerung
- 4 °C,-20 °C
-
Informationen zur Lagerung
-
Long term: -20°C, the use of 50% glycerol is recommended if storing aliquots in -20°C for long term use (up to 1 year)
Short term (less than 1 week): 4°C. Avoid freeze-thaw cycles.
-
-
-