AIFM2 Antikörper (C-Term)
Kurzübersicht für AIFM2 Antikörper (C-Term) (ABIN6745764)
Target
Alle AIFM2 Antikörper anzeigenReaktivität
Wirt
Klonalität
Konjugat
Applikation
-
-
Bindungsspezifität
- C-Term
-
Spezifität
- Human AIFM2 / AMID
-
Homologie
- Percent identity by BLAST analysis: Human (100%) Rabbit, Guinea pig (93%) Chicken (91%) Dog, Bovine (86%) Xenopus (83%) Mouse, Rat (80%).
-
Aufreinigung
- Immunoaffinity purified
-
Immunogen
-
Synthetic peptide from C-Terminus of human AIFM2 (Q9BRQ8, NP_116186). Percent identity by BLAST analysis: Human, Chimpanzee, Gorilla, Gibbon, Monkey, Elephant (100%), Galago, Bat, Rabbit, Guinea pig (93%), Chicken (91%), Marmoset, Panda, Dog, Bovine, Horse, Pig, Platypus (86%), Lizard, Xenopus (83%), Mouse, Rat, Opossum (80%).
Type of Immunogen: Synthetic peptide
-
-
-
-
Applikationshinweise
-
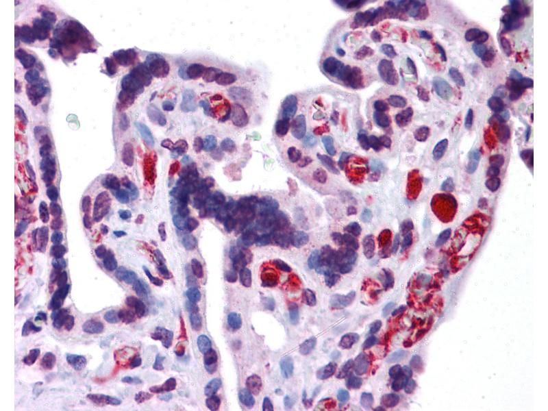
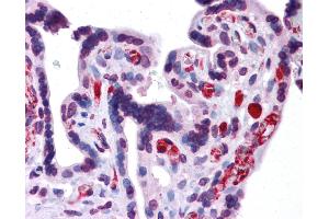
Approved: IHC, IHC-P (5 μg/mL), WB (0.2 - 1 μg/mL)
Usage: Western Blot: Suggested dilution at 1 μg/mL in 5 % skim milk / PBS buffer, and HRP conjugated anti-Rabbit IgG should be diluted in 1: 50,000 - 100,000 as secondary antibody. -
Kommentare
-
Target Species of Antibody: Human
-
Beschränkungen
- Nur für Forschungszwecke einsetzbar
-
-
-
Format
- Lyophilized
-
Rekonstitution
- Distilled water
-
Konzentration
- Lot specific
-
Buffer
- Lyophilized
-
Handhabung
- Avoid repeat freeze-thaw cycles.
-
Lagerung
- 4 °C,-20 °C
-
Informationen zur Lagerung
-
Long term: -20°C, the use of 50% glycerol is recommended if storing aliquots in -20°C for long term use (up to 1 year)
Short term (less than 1 week): 4°C. Avoid freeze-thaw cycles.
-
-
-