Telefon:
+49 (0)241 95 163 153
Fax:
+49 (0)241 95 163 155
E-Mail:
orders@antikoerper-online.de

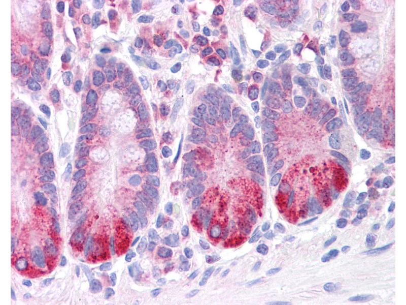
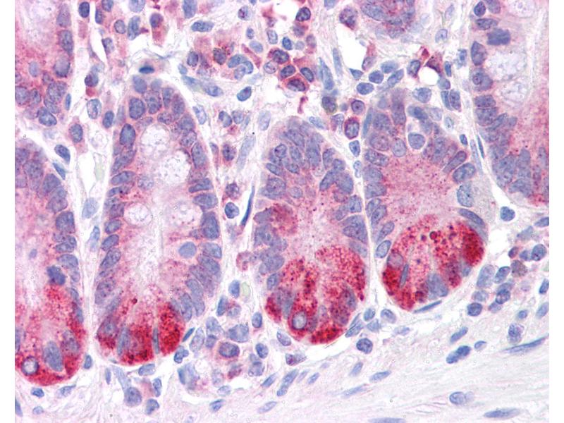
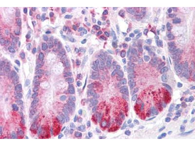
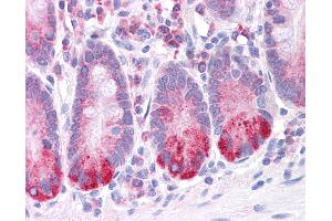
LRRC59 Antikörper (N-Term)

Dieser Kaninchen Polyklonal Antikörper detektiert spezifisch LRRC59 in WB, IHC und IHC (p). Es zeigt Reaktivität gegenüber Proben von Human, Maus, Ratte, Hund, Rind (Kuh), Meerschweinchen, Schwein, Affe und Fledermaus.
Produktnummer ABIN6745745
512,07 €
Zzgl. Versandkosten 20,00 € und MwSt
100 μL
Lieferung nach: Deutschland
Lieferung in 15 bis 20 Werktagen

Kurzübersicht für LRRC59 Antikörper (N-Term) (ABIN6745745)

Target

Alle LRRC59 Antikörper anzeigen
LRRC59 (Leucine Rich Repeat Containing 59 (LRRC59))

Reaktivität

  • 11
  • 9
  • 7
  • 3
  • 3
  • 2
  • 2
  • 2
  • 1
  • 1
Human, Maus, Ratte, Hund, Rind (Kuh), Meerschweinchen, Schwein, Affe, Fledermaus

Wirt

  • 12
Kaninchen

Klonalität

  • 12
Polyklonal

Konjugat

  • 12
Dieser LRRC59 Antikörper ist unkonjugiert

Applikation

  • 12
  • 5
  • 4
  • 2
  • 2
  • 2
  • 1
  • 1
  • 1
  • 1
  • 1
Western Blotting (WB), Immunohistochemistry (IHC), Immunohistochemistry (Paraffin-embedded Sections) (IHC (p))
  • Bindungsspezifität

    • 2
    • 1
    • 1
    • 1
    • 1
    • 1
    • 1
    • 1
    • 1
    N-Term

    Spezifität

    Human LRRC59

    Homologie

    Percent identity by BLAST analysis: Mouse, Dog, Pig, Guinea pig (100%) Rabbit (92%).

    Aufreinigung

    Immunoaffinity purified

    Immunogen

    Synthetic peptide from N-Terminus of human LRRC59 (Q5RJR8, NP_060979). Percent identity by BLAST analysis: Human, Chimpanzee, Gorilla, Gibbon, Monkey, Galago, Marmoset, Mouse, Rat, Panda, Dog, Bovine, Bat, Pig, Guinea pig (100%), Elephant, Rabbit (92%).

    Type of Immunogen: Synthetic peptide

    Isotyp

    IgG
  • Applikationshinweise

    Approved: IHC, IHC-P (5 μg/mL), WB

    Usage: ELISA titer using peptide based assay: 1:62500. Western Blot: Suggested dilution at 1 μg/mL in 5 % skim milk / PBS buffer, and HRP conjugated anti-Rabbit IgG should be diluted in 1:50000 - 100000 as second antibody.

    Kommentare

    Target Species of Antibody: Human

    Beschränkungen

    Nur für Forschungszwecke einsetzbar
  • Format

    Lyophilized

    Rekonstitution

    Distilled Water.

    Konzentration

    Lot specific

    Buffer

    Lyophilized from PBS with 2 % sucrose

    Handhabung

    Avoid repeat freeze-thaw cycles.

    Lagerung

    4 °C,-20 °C

    Informationen zur Lagerung

    Long term: -20°C, the use of 50% glycerol is recommended if storing aliquots in -20°C for long term use (up to 1 year)
    Short term (less than 1 week): 4°C. Avoid freeze-thaw cycles.
  • Target

    LRRC59 (Leucine Rich Repeat Containing 59 (LRRC59))

    Andere Bezeichnung

    LRRC59

    Hintergrund

    Name/Gene ID: LRRC59

    Synonyms: LRRC59, FLJ21675, p34, PRO1855

    Gen-ID

    55379

    NCBI Accession

    NP_060979

    UniProt

    Q96AG4
Sie sind hier:
Chat with us!