Telefon:
+49 (0)241 95 163 153
Fax:
+49 (0)241 95 163 155
E-Mail:
orders@antikoerper-online.de

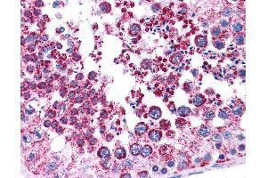
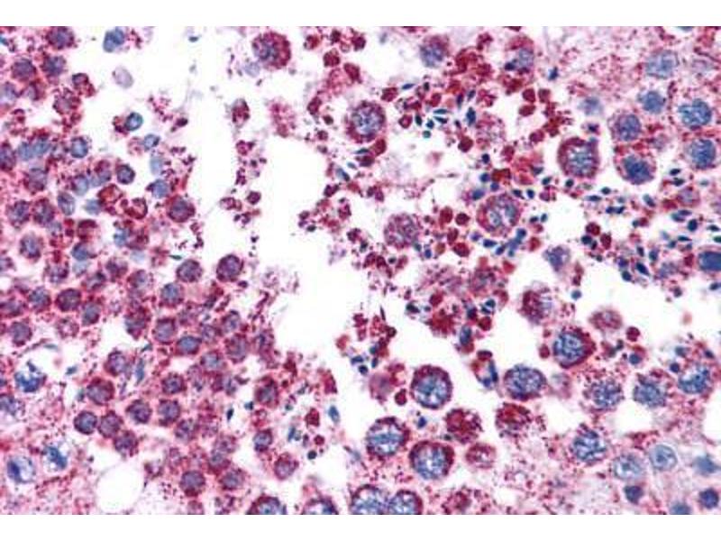
MAGEA3 Antikörper (AA 216-265)

Der Kaninchen Polyklonal anti-MAGEA3 Antikörper (ABIN604749) detektiert spezifisch MAGEA3 in WB, IHC und IHC (p). Dieser Antikörper reagiert spezifisch mit Proben aus Human.
Produktnummer ABIN604749
610,95 €
Zzgl. Versandkosten 20,00 € und MwSt
50 μg
Lieferung nach: Deutschland
Lieferung in 15 bis 20 Werktagen

Kurzübersicht für MAGEA3 Antikörper (AA 216-265) (ABIN604749)

Target

Alle MAGEA3 Antikörper anzeigen
MAGEA3 (Melanoma Antigen Family A, 3 (MAGEA3))

Reaktivität

  • 45
  • 1
  • 1
Human

Wirt

  • 30
  • 14
  • 1
Kaninchen

Klonalität

  • 31
  • 13
  • 1
Polyklonal

Konjugat

  • 30
  • 3
  • 2
  • 2
  • 1
  • 1
  • 1
  • 1
  • 1
  • 1
  • 1
  • 1
Dieser MAGEA3 Antikörper ist unkonjugiert

Applikation

  • 32
  • 20
  • 16
  • 13
  • 4
  • 3
  • 1
  • 1
  • 1
Western Blotting (WB), Immunohistochemistry (IHC), Immunohistochemistry (Paraffin-embedded Sections) (IHC (p))
  • Bindungsspezifität

    • 9
    • 6
    • 4
    • 3
    • 2
    • 2
    • 1
    • 1
    • 1
    AA 216-265

    Spezifität

    Human MAGEA3

    Homologie

    Percent identity by BLAST analysis: Human (100%).

    Aufreinigung

    Immunoaffinity purified

    Immunogen

    Synthetic peptide located between aa216-265 of human MAGEA3 (P43357, NP_005353). Percent identity by BLAST analysis: Human, Gorilla (100%), Gibbon (92%).

    Type of Immunogen: Synthetic peptide
  • Applikationshinweise

    Approved: IHC, IHC-P (5 μg/mL), WB (0.2 - 1 μg/mL)

    Usage: Western Blot: Suggested dilution at 1 μg/mL in 5 % skim milk / PBS buffer, and HRP conjugated anti-Rabbit IgG should be diluted in 1: 50,000 - 100,000 as secondary antibody.

    Kommentare

    Target Species of Antibody: Human

    Beschränkungen

    Nur für Forschungszwecke einsetzbar
  • Format

    Lyophilized

    Rekonstitution

    Distilled water

    Konzentration

    Lot specific

    Buffer

    Lyophilized from PBS with 2 % sucrose

    Handhabung

    Avoid repeat freeze-thaw cycles.

    Lagerung

    4 °C,-20 °C

    Informationen zur Lagerung

    Long term: -20°C, the use of 50% glycerol is recommended if storing aliquots in -20°C for long term use (up to 1 year)
    Short term (less than 1 week): 4°C. Avoid freeze-thaw cycles.
  • Target

    MAGEA3 (Melanoma Antigen Family A, 3 (MAGEA3))

    Andere Bezeichnung

    MAGEA3

    Hintergrund

    Name/Gene ID: MAGEA3

    Synonyms: MAGEA3, Antigen MZ2-D, Cancer/testis antigen 1.3, CT1.3, HYPD, MAGE-3 antigen, Melanoma-associated antigen 3, HIP8, MAGE3, Melanoma antigen family A, 3

    Gen-ID

    4102

    NCBI Accession

    NP_005353

    UniProt

    P43357
Sie sind hier:
Chat with us!