MAF Antikörper (N-Term)
Kurzübersicht für MAF Antikörper (N-Term) (ABIN6745717)
Target
Alle MAF Antikörper anzeigenReaktivität
Wirt
Klonalität
Konjugat
Applikation
-
-
Bindungsspezifität
- N-Term
-
Spezifität
- Human MAF
-
Homologie
- Percent identity by BLAST analysis: Human, Mouse, Rat, Dog, Bovine, Chicken (100%) Zebrafish (92%).
-
Aufreinigung
- Immunoaffinity purified
-
Immunogen
-
Synthetic peptide from N-Terminus of human MAF (O75444, NP_001026974). Percent identity by BLAST analysis: Human, Chimpanzee, Gorilla, Gibbon, Marmoset, Mouse, Rat, Elephant, Dog, Bovine, Opossum, Zebra finch, Chicken, Xenopus (100%), Zebrafish (92%), Stickleback (85%).
Type of Immunogen: Synthetic peptide
-
-
-
-
Applikationshinweise
-
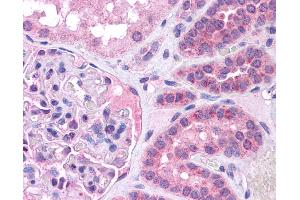
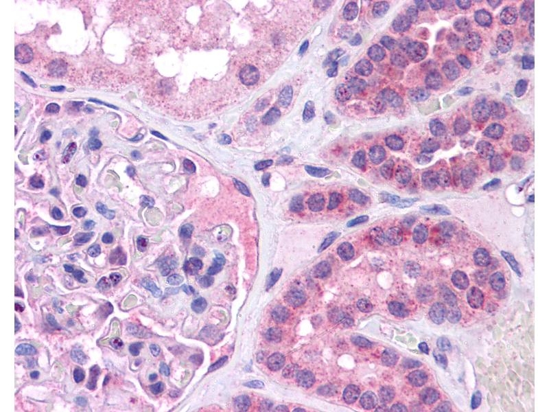
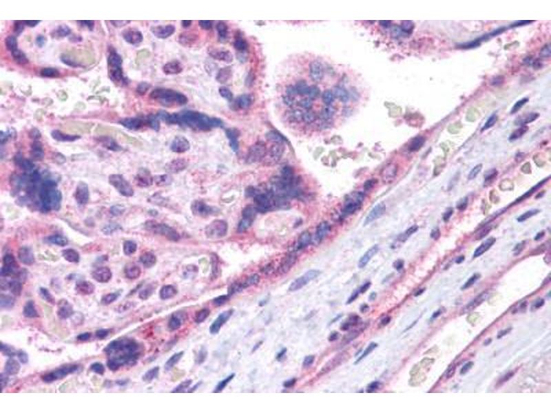
Approved: IHC, IHC-P (5 μg/mL), WB (0.2 - 1 μg/mL)
Usage: Western Blot: Suggested dilution at 1 μg/mL in 5 % skim milk / PBS buffer, and HRP conjugated anti-Rabbit IgG should be diluted in 1: 50,000 - 100,000 as secondary antibody. -
Kommentare
-
Target Species of Antibody: Human
-
Beschränkungen
- Nur für Forschungszwecke einsetzbar
-
-
-
Format
- Lyophilized
-
Rekonstitution
- Distilled water
-
Konzentration
- Lot specific
-
Buffer
- Lyophilized from PBS with 2 % sucrose
-
Handhabung
- Avoid repeat freeze-thaw cycles.
-
Lagerung
- 4 °C,-20 °C
-
Informationen zur Lagerung
-
Long term: -20°C, the use of 50% glycerol is recommended if storing aliquots in -20°C for long term use (up to 1 year)
Short term (less than 1 week): 4°C. Avoid freeze-thaw cycles.
-
-
- MAF (V-Maf Musculoaponeurotic Fibrosarcoma Oncogene Homolog (Avian) (MAF))
-
Andere Bezeichnung
- c-Maf
-
Hintergrund
-
Name/Gene ID: MAF
Synonyms: MAF, C-MAF, CCA4, C-maf proto-oncogene, Proto-oncogene c-Maf, T lymphocyte c-maf long form, Transcription factor Maf -
Gen-ID
- 4094
-
NCBI Accession
- NP_001026974
-
UniProt
- O75444
Target
-