Telefon:
+49 (0)241 95 163 153
Fax:
+49 (0)241 95 163 155
E-Mail:
orders@antikoerper-online.de

LDOC1 Antikörper (N-Term)

Der Kaninchen Polyklonal anti-LDOC1 Antikörper (ABIN462213) detektiert spezifisch LDOC1 in IHC, WB und IHC (p). Dieser Antikörper reagiert spezifisch mit Proben aus Human, Rind (Kuh), Hund, Meerschweinchen, Kaninchen und Schwein.
Produktnummer ABIN462213
610,95 €
Zzgl. Versandkosten 20,00 € und MwSt
50 μg
Lieferung nach: Deutschland
Lieferung in 15 bis 20 Werktagen

Kurzübersicht für LDOC1 Antikörper (N-Term) (ABIN462213)

Target

Alle LDOC1 Antikörper anzeigen
LDOC1 (Leucine Zipper, Down-Regulated in Cancer 1 (LDOC1))

Reaktivität

  • 36
  • 5
  • 3
  • 2
  • 1
  • 1
  • 1
  • 1
Human, Rind (Kuh), Hund, Meerschweinchen, Kaninchen, Schwein

Wirt

  • 33
  • 7
Kaninchen

Klonalität

  • 36
  • 4
Polyklonal

Konjugat

  • 20
  • 1
  • 1
  • 1
  • 1
  • 1
  • 1
  • 1
  • 1
  • 1
  • 1
  • 1
  • 1
  • 1
  • 1
  • 1
  • 1
  • 1
  • 1
  • 1
  • 1
Dieser LDOC1 Antikörper ist unkonjugiert

Applikation

  • 14
  • 13
  • 13
  • 10
  • 9
  • 7
  • 6
  • 3
  • 3
  • 2
  • 1
  • 1
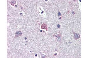
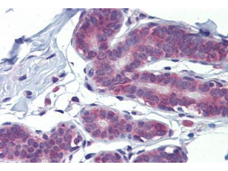
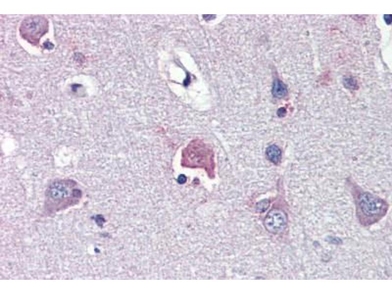
Immunohistochemistry (IHC), Western Blotting (WB), Immunohistochemistry (Paraffin-embedded Sections) (IHC (p))
  • Bindungsspezifität

    • 15
    • 4
    • 2
    • 1
    • 1
    • 1
    • 1
    • 1
    • 1
    • 1
    N-Term

    Spezifität

    Human LDOC1

    Homologie

    Percent identity by BLAST analysis: Human, Bovine, Rabbit, Pig, Guinea pig (100%) Dog (85%).

    Aufreinigung

    Immunoaffinity purified

    Immunogen

    Synthetic peptide from N-Terminus of human LDOC1 (O95751, NP_036449). Percent identity by BLAST analysis: Human, Chimpanzee, Gorilla, Gibbon, Galago, Marmoset, Panda, Bovine, Rabbit, Pig, Guinea pig (100%), Monkey, Bat, Horse (92%), Dog (85%).

    Type of Immunogen: Synthetic peptide

    Isotyp

    IgG
  • Applikationshinweise

    Approved: IHC, IHC-P (5 μg/mL), WB (0.2 - 1 μg/mL)

    Usage: Immunohistochemistry: This antibody was validated for use in immunohistochemistry on a panel of 21 formalin-fixed, paraffin-embedded (FFPE) human tissues after heat induced antigen retrieval in  pH 6.0 citrate buffer. After incubation with the primary antibody, slides were incubated with biotinylated secondary antibody, followed by alkaline phosphatase-streptavidin and chromogen. The stained slides were evaluated by a pathologist to confirm staining specificity. The optimal working concentration for this antibody was determined to be 5 μg/mL. Western Blot: Suggested dilution at 1 μg/mL in 5 % skim milk / PBS buffer, and HRP conjugated anti-Rabbit IgG should be diluted in 1:50000 - 100000 as second antibody. ELISA titer in peptide based assay: 1:12500.

    Kommentare

    Target Species of Antibody: Human

    Beschränkungen

    Nur für Forschungszwecke einsetzbar
  • Format

    Lyophilized

    Rekonstitution

    Reconstitute with 50 μL sterile ddH2O.

    Konzentration

    Lot specific

    Buffer

    Lyophilized from PBS with 2 % sucrose

    Handhabung

    Avoid repeat freeze-thaw cycles.

    Lagerung

    4 °C,-20 °C

    Informationen zur Lagerung

    Long term: -20°C, the use of 50% glycerol is recommended if storing aliquots in -20°C for long term use (up to 1 year)
    Short term (less than 1 week): 4°C. Avoid freeze-thaw cycles.
  • Target

    LDOC1 (Leucine Zipper, Down-Regulated in Cancer 1 (LDOC1))

    Andere Bezeichnung

    LDOC1

    Hintergrund

    Name/Gene ID: LDOC1

    Synonyms: LDOC1, Breast cancer, up-regulated 1, Mart7, BCUR1, Mar7, Protein LDOC1

    Gen-ID

    23641

    NCBI Accession

    NP_036449

    UniProt

    O95751
Sie sind hier:
Chat with us!