Telefon:
+49 (0)241 95 163 153
Fax:
+49 (0)241 95 163 155
E-Mail:
orders@antikoerper-online.de

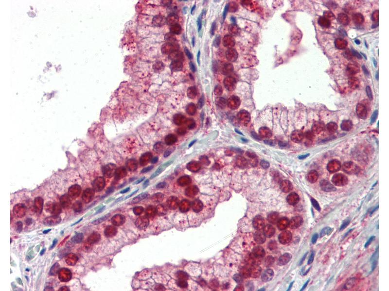
NFIX Antikörper (AA 181-230)

Der Kaninchen Polyklonal anti-NFIX Antikörper (ABIN6741545) detektiert spezifisch NFIX in WB, IHC und IHC (p). Dieser Antikörper reagiert spezifisch mit Proben aus Human, Ratte, Maus, Hund, Rind (Kuh), Meerschweinchen, Pferd, Kaninchen, Fledermaus, Hamster, Affe und Schwein.
Produktnummer ABIN6741545
512,07 €
Zzgl. Versandkosten 20,00 € und MwSt
100 μL
Lieferung nach: Deutschland
Lieferung in 15 bis 20 Werktagen

Kurzübersicht für NFIX Antikörper (AA 181-230) (ABIN6741545)

Target

Alle NFIX (MLZE) Antikörper anzeigen
NFIX (MLZE) (Nuclear Factor I/X (MLZE))

Reaktivität

Human, Ratte, Maus, Hund, Rind (Kuh), Meerschweinchen, Pferd, Kaninchen, Fledermaus, Hamster, Affe, Schwein

Wirt

  • 29
  • 5
Kaninchen

Klonalität

  • 30
  • 4
Polyklonal

Konjugat

  • 16
  • 3
  • 2
  • 2
  • 1
  • 1
  • 1
  • 1
  • 1
  • 1
  • 1
  • 1
  • 1
  • 1
  • 1
Dieser NFIX Antikörper ist unkonjugiert

Applikation

  • 28
  • 13
  • 13
  • 13
  • 5
  • 3
  • 3
  • 3
  • 3
  • 2
  • 1
  • 1
Western Blotting (WB), Immunohistochemistry (IHC), Immunohistochemistry (Paraffin-embedded Sections) (IHC (p))
  • Bindungsspezifität

    • 15
    • 5
    • 2
    • 2
    • 1
    • 1
    • 1
    • 1
    • 1
    • 1
    • 1
    AA 181-230

    Spezifität

    Human NFIX

    Homologie

    Percent identity by BLAST analysis: Human, Mouse, Rat, Dog, Bovine, Rabbit, Horse, Pig, Guinea pig (100%) Zebrafish (92%).

    Aufreinigung

    Immunoaffinity purified

    Immunogen

    Synthetic peptide located between aa181-230 of human NFIX (Q14938-3, NP_002492). Percent identity by BLAST analysis: Human, Chimpanzee, Gorilla, Gibbon, Monkey, Galago, Marmoset, Mouse, Rat, Hamster, Elephant, Dog, Bovine, Bat, Rabbit, Horse, Pig, Opossum, Guinea pig, Stickleback (100%), Lizard, Zebrafish (92%).

    Type of Immunogen: Synthetic peptide

    Isotyp

    IgG
  • Applikationshinweise

    Approved: IHC, IHC-P (5 μg/mL), WB (0.2 - 1 μg/mL)

    Usage: Immunohistochemistry: This antibody was validated for use in immunohistochemistry on a panel of 21 formalin-fixed, paraffin-embedded (FFPE) human tissues after heat induced antigen retrieval in  pH 6.0 citrate buffer. After incubation with the primary antibody, slides were incubated with biotinylated secondary antibody, followed by alkaline phosphatase-streptavidin and chromogen. The stained slides were evaluated by a pathologist to confirm staining specificity. The optimal working concentration for this antibody was determined to be 5 μg/mL.

    Kommentare

    Target Species of Antibody: Human

    Beschränkungen

    Nur für Forschungszwecke einsetzbar
  • Format

    Lyophilized

    Rekonstitution

    Distilled water

    Konzentration

    Lot specific

    Buffer

    Lyophilized from PBS with 2 % sucrose

    Handhabung

    Avoid repeat freeze-thaw cycles.

    Lagerung

    4 °C,-20 °C

    Informationen zur Lagerung

    Long term: -20°C, the use of 50% glycerol is recommended if storing aliquots in -20°C for long term use (up to 1 year)
    Short term (less than 1 week): 4°C. Avoid freeze-thaw cycles.
  • Target

    NFIX (MLZE) (Nuclear Factor I/X (MLZE))

    Andere Bezeichnung

    NF1A / NFIX

    Hintergrund

    Name/Gene ID: NFIX

    Synonyms: NFIX, CTF, NF1A, NFI-X, NF-I/X, Nuclear factor I/X, TGGCA-binding protein, Nuclear factor 1/X, MRSHSS, NF1-X, Nuclear factor 1 X-type, SOTOS2

    Gen-ID

    4784

    NCBI Accession

    NP_002492

    UniProt

    Q14938

    Pathways

    Skeletal Muscle Fiber Development
Sie sind hier:
Chat with us!