Telefon:
+49 (0)241 95 163 153
Fax:
+49 (0)241 95 163 155
E-Mail:
orders@antikoerper-online.de

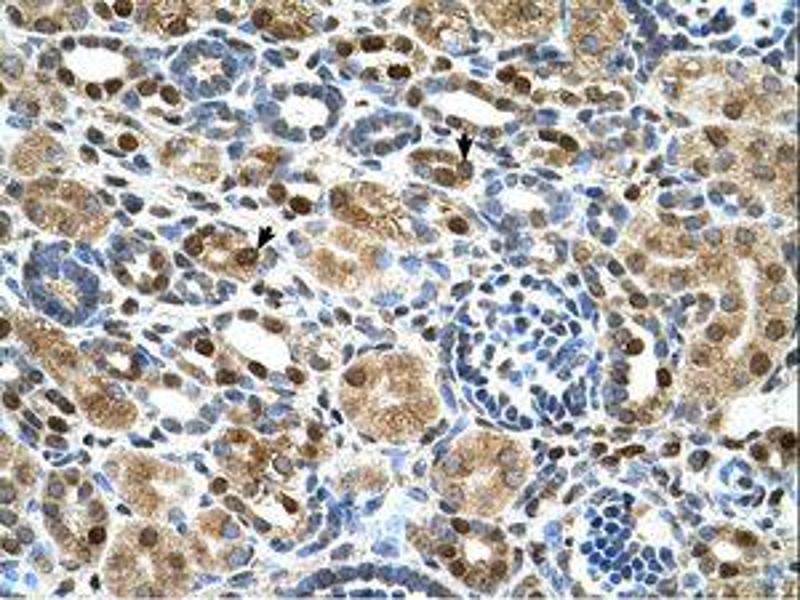
ZNF169 Antikörper (AA 252-301)

Der Kaninchen Polyklonal anti-ZNF169 Antikörper (ABIN6739214) detektiert spezifisch ZNF169 in WB, IHC und IHC (p). Dieser Antikörper reagiert spezifisch mit Proben aus Human und Pferd.
Produktnummer ABIN6739214
789,41 €
Zzgl. Versandkosten 20,00 € und MwSt
100 μL
Lieferung nach: Deutschland
Lieferung in 15 bis 20 Werktagen

Kurzübersicht für ZNF169 Antikörper (AA 252-301) (ABIN6739214)

Target

Alle ZNF169 Antikörper anzeigen
ZNF169 (Zinc Finger Protein 169 (ZNF169))

Reaktivität

  • 24
  • 6
  • 5
  • 4
  • 4
  • 2
  • 2
  • 2
  • 1
  • 1
  • 1
  • 1
Human, Pferd

Wirt

  • 22
  • 2
Kaninchen

Klonalität

  • 24
Polyklonal

Konjugat

  • 19
  • 1
  • 1
  • 1
  • 1
  • 1
Dieser ZNF169 Antikörper ist unkonjugiert

Applikation

  • 24
  • 10
  • 9
  • 5
  • 2
  • 1
Western Blotting (WB), Immunohistochemistry (IHC), Immunohistochemistry (Paraffin-embedded Sections) (IHC (p))
  • Bindungsspezifität

    • 8
    • 4
    • 2
    • 2
    • 2
    • 2
    • 2
    • 1
    • 1
    • 1
    AA 252-301

    Spezifität

    Human ZNF169

    Homologie

    Percent identity by BLAST analysis: Human, Horse (100%) Bovine (92%).

    Aufreinigung

    Immunoaffinity purified

    Immunogen

    Synthetic peptide located between aa252-301 of human ZNF169 (A2AGP5, NP_919301). Percent identity by BLAST analysis: Human, Chimpanzee, Gorilla, Gibbon, Monkey, Panda, Horse (100%), Orangutan, Galago, Marmoset, Mouse, Rat, Dog, Bovine, Rabbit, Pig, Opossum, Guinea pig, Turkey, Zebra finch, Chicken, Platypus, Lizard, Xenopus (92%), Hamster, Bat (91%).

    Type of Immunogen: Synthetic peptide

    Isotyp

    IgG
  • Applikationshinweise

    Approved: IHC, IHC-P, WB

    Usage: ELISA titer using peptide based assay: 1:312500. Western Blot: Suggested dilution at 0.25 μg/mL in 5 % skim milk / PBS buffer, and HRP conjugated anti-Rabbit IgG should be diluted in 1:50000 - 100000 as second antibody.

    Kommentare

    Target Species of Antibody: Human

    Beschränkungen

    Nur für Forschungszwecke einsetzbar
  • Format

    Lyophilized

    Rekonstitution

    Distilled Water.

    Konzentration

    Lot specific

    Buffer

    Lyophilized from PBS with 2 % sucrose

    Handhabung

    Avoid repeat freeze-thaw cycles.

    Lagerung

    4 °C,-20 °C

    Informationen zur Lagerung

    Long term: -20°C, the use of 50% glycerol is recommended if storing aliquots in -20°C for long term use (up to 1 year)
    Short term (less than 1 week): 4°C. Avoid freeze-thaw cycles.
  • Target

    ZNF169 (Zinc Finger Protein 169 (ZNF169))

    Andere Bezeichnung

    ZNF169

    Hintergrund

    Name/Gene ID: ZNF169
    Family: Zinc Finger

    Synonyms: ZNF169, Zinc finger protein 169

    Gen-ID

    169841

    NCBI Accession

    NP_919301

    UniProt

    Q14929
Sie sind hier:
Chat with us!