Telefon:
+49 (0)241 95 163 153
Fax:
+49 (0)241 95 163 155
E-Mail:
orders@antikoerper-online.de

HDAC8 Antikörper (C-Term)

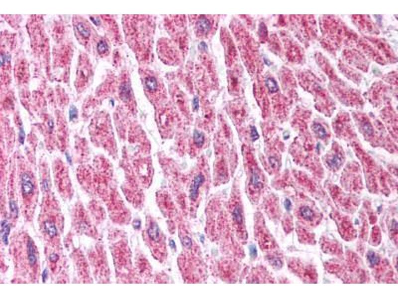
Der Kaninchen Polyklonal anti-HDAC8 Antikörper (ABIN6736397) detektiert spezifisch HDAC8 in WB, IHC und IHC (p). Dieser Antikörper reagiert spezifisch mit Proben aus Human, Maus, Ratte, Affe, Rind (Kuh), Kaninchen und Pferd.
Produktnummer ABIN6736397
512,07 €
Zzgl. Versandkosten 20,00 € und MwSt
100 μL
Lieferung nach: Deutschland
Lieferung in 15 bis 20 Werktagen

Kurzübersicht für HDAC8 Antikörper (C-Term) (ABIN6736397)

Target

Alle HDAC8 Antikörper anzeigen
HDAC8 (Histone Deacetylase 8 (HDAC8))

Reaktivität

  • 119
  • 57
  • 40
  • 7
  • 3
  • 3
  • 3
  • 3
  • 3
  • 2
  • 2
  • 1
  • 1
  • 1
Human, Maus, Ratte, Affe, Rind (Kuh), Kaninchen, Pferd

Wirt

  • 114
  • 5
  • 1
Kaninchen

Klonalität

  • 85
  • 35
Polyklonal

Konjugat

  • 52
  • 7
  • 5
  • 4
  • 4
  • 4
  • 4
  • 4
  • 4
  • 4
  • 2
  • 2
  • 2
  • 2
  • 2
  • 2
  • 2
  • 2
  • 2
  • 2
  • 2
  • 2
  • 2
  • 1
  • 1
Dieser HDAC8 Antikörper ist unkonjugiert

Applikation

  • 70
  • 38
  • 37
  • 27
  • 26
  • 25
  • 22
  • 21
  • 18
  • 18
  • 6
  • 2
  • 1
Western Blotting (WB), Immunohistochemistry (IHC), Immunohistochemistry (Paraffin-embedded Sections) (IHC (p))
  • Bindungsspezifität

    • 30
    • 15
    • 12
    • 8
    • 6
    • 2
    • 2
    • 2
    • 1
    • 1
    • 1
    • 1
    • 1
    • 1
    • 1
    C-Term

    Spezifität

    Human HDAC8

    Homologie

    Percent identity by BLAST analysis: Human, Mouse, Rat, Bovine, Rabbit, Horse (100%) Guinea pig, Chicken, Xenopus, Zebrafish (92%).

    Aufreinigung

    Immunoaffinity purified

    Immunogen

    Synthetic peptide from C-Terminus of human HDAC8 (Q9BY41, NP_060956). Percent identity by BLAST analysis: Human, Chimpanzee, Gorilla, Gibbon, Monkey, Galago, Marmoset, Mouse, Rat, Elephant, Panda, Bovine, Rabbit, Horse (100%), Opossum, Guinea pig, Turkey, Zebra finch, Chicken, Platypus, Xenopus, Stickleback, Zebrafish (92%).

    Type of Immunogen: Synthetic peptide
  • Applikationshinweise

    Approved: IHC, IHC-P (5 μg/mL), WB (0.2 - 1 μg/mL)

    Usage: Immunohistochemistry: This antibody was validated for use in immunohistochemistry on a panel of 21 formalin-fixed, paraffin-embedded (FFPE) human tissues after heat induced antigen retrieval in  pH 6.0 citrate buffer. After incubation with the primary antibody, slides were incubated with biotinylated secondary antibody, followed by alkaline phosphatase-streptavidin and chromogen. The stained slides were evaluated by a pathologist to confirm staining specificity. The optimal working concentration for this antibody was determined to be 5 μg/mL.

    Kommentare

    Target Species of Antibody: Human

    Beschränkungen

    Nur für Forschungszwecke einsetzbar
  • Format

    Lyophilized

    Rekonstitution

    Distilled water

    Konzentration

    Lot specific

    Buffer

    Lyophilized from PBS with 2 % sucrose

    Handhabung

    Avoid repeat freeze-thaw cycles.

    Lagerung

    4 °C,-20 °C

    Informationen zur Lagerung

    Long term: -20°C, the use of 50% glycerol is recommended if storing aliquots in -20°C for long term use (up to 1 year)
    Short term (less than 1 week): 4°C. Avoid freeze-thaw cycles.
  • Target

    HDAC8 (Histone Deacetylase 8 (HDAC8))

    Andere Bezeichnung

    HDAC8

    Hintergrund

    Name/Gene ID: HDAC8
    Family: Histone Deacetylase

    Synonyms: HDAC8, CDLS5, HD8, HDACL1, Histone deacetylase 8, MRXS6, RPD3, CDA07, Histone deacetylase-like 1, WTS

    Gen-ID

    55869

    NCBI Accession

    NP_060956

    UniProt

    Q9BY41

    Pathways

    Cellular Glucan Metabolic Process
Sie sind hier:
Chat with us!